Haftanın Olgusu-229 (9 Şubat 2026)

Haftanın Olgusu

Editör
Dr. Burçak Çakır Peköz
Sağlık Bilimleri Üniversitesi Adana Şehir Eğitim ve Araştırma Hastanesi
Radyoloji Anabilim Dalı
9 Şubat 2026
ÖyküYanıtlarBulgularAyırıcı TanıTanıTartışmaKaynaklar
SAT: 37 hafta, BPD: 27 hafta, E
İntrauterin gelişme geriliği

Araş. Gör .Dr. Merve UÇAR
Uzm. Dr. Murat KAYA
Gaziantep Şehir Hastanesi Radyoloji Bölümü
Olgu için verilen yanıtlar
- Lizensefali (4 kişi)
- Serebellar hipoplazili lissensefali (1 kişi)
- Mega sisterna magna (2 kişi)
- Konjenital CMV enfeksiyonu (2 kişi)
- Vermian agenezi (1 kişi)
- Trizomi 18 (1 kişi)
- Alobar holoprozensefali (1 kişi)
- Pontosereballar hipoplazi (1 kişi)
- Joubert sendromu (1 kişi)
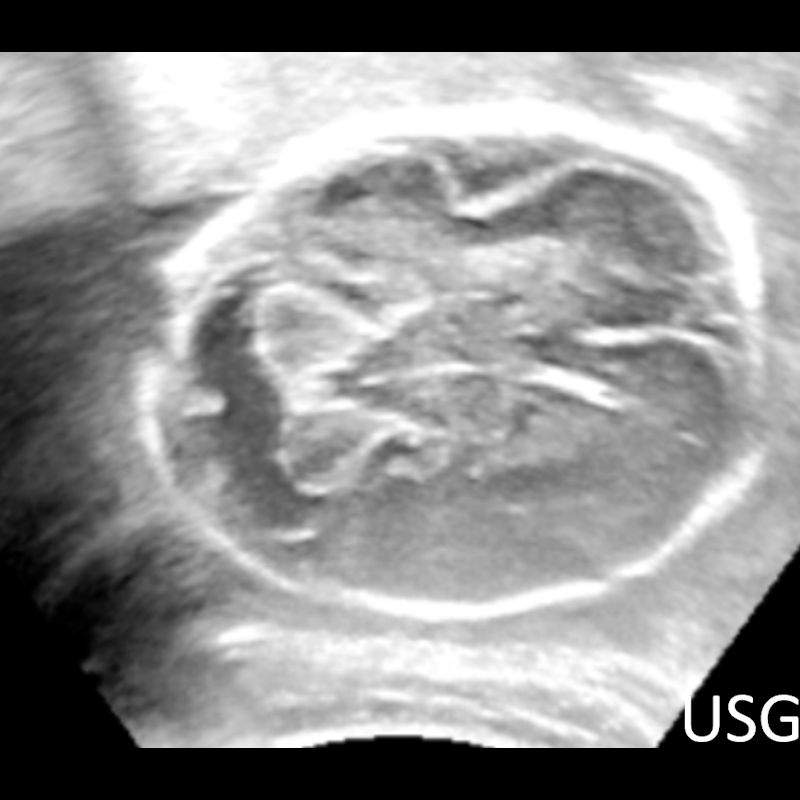
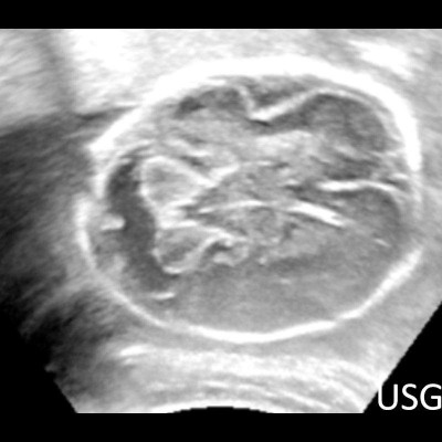
- A) USG incelemede serebral kortikal yapılar düzleşmiş (ok), gyrus sayısı azalmıştır (ok). Kalın ve ekojenik korteks mevcut olup korteks -beyaz cevher ayrımı silik görünümdedir. Posterior fossada ekstraaksiyel BOS mesafesi artmış görünümdedir (ok).
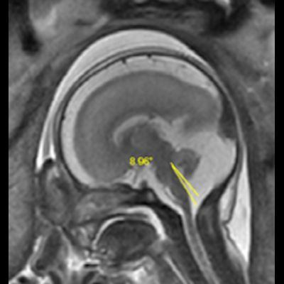
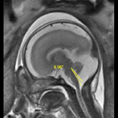
- B) Aksiyel ve sagittal T2A görüntülerde gyrus ve sulkuslarda azalma mevcut olup korteks kalınlaşmış görünümde ve operkulizasyon ayırt edilememiştir. Korteks beyaz cevher ayrımı zor seçilmektedir (ok) Ekstraaksiyel BOS mesafesi artmış görünümdedir (ok). Yapılan ölçümlerde; tegmentovermian açı :8 derece (ok) serebellar vermis boyutları kraniokaudal: 16 mm, aksiyel: 5,5×8,5 mm (ok) ölçülmüş olup BPD:27w ile uyumlu olan fetüste haftasıyla uygun olarak değerlendirilmiştir.
- Holoprozensefali
- Polimikrogri
- Lizensefali
- Kortikal displazi/heterotopi
- TORCH enfeksiyonları
- Dandy Walker malformasyonu
LİZENSEFALİ
Lizensefali
- Lizensefali kelime anlamıyla düz beyin anlamına gelmekte olup klinik pratikte mikrosefali ve anormal sulkasyon ile karakterizedir.
- Germinal matriksteki azalmış hücre proliferasyonu veya artmış hücre apoptozundan kaynaklanır.
- Lizensefali-pakigiri, tip I (klasik) ve tip II (kaldırım taşı) olarak ikiye ayrılabilir. Altta yatan genetik anormallikler ve makroskobik (görüntüleme dahil) bulgulardaki farklılıklarına göre sınıflandırılırlar.
- Tip I (klasik) lizensefali tipik olarak belirgin hipotoni ve hareket kısıtlılığı ile kendini gösterir.
- Tip II lizensefali, kas distrofisi benzeri sendromlarla ilişkilidir ve Walker-Warburg sendromu , Fukuyama sendromu ve muscle-eye-brain hastalığına sekonder gelişebilir.
Görüntüleme bulguları
- Lizensefalili olgularda MRG’de beyin korteks yüzeyi düz ve belirgin kalındır. Bazı olgularda orbito-frontal ve inferior temporal bölgelerde gyrus yapıları gelişmiş olabilir.
- Gri/beyaz cevher oranı beyaz cevher aleyhine azalmıştır.
- Operkulizasyon yokluğuna bağlı sylvian fissürün açık görünümü ve vertikal yerleşimi karakteristik bir bulgudur. Serebral yapılar; sığ ve vertikal yerleşimli sylvian fissür sebebiyle “8” görünümündedir. Ancak bu görünümün 26. gestasyonel haftaya kadar normal olduğu akılda tutulmalıdır.
- İnsula açıkta olup klastrum ve eksternal kapsül bulunmayabilir. Beynin gross görünümü fetüste sulkusların oluşmaya başladığı 20. gestasyonel haftayla benzer görünümdedir.
- Lizensefalili olgularına diğer serebral malformasyonlar da sıklıkla eşlik edebilir. Korpus kallozumda parsiyel veya total agenezisi izlenebilir.
- Ventrikül trigonu ile birlikte oksipital ve temporal hornlarda dilatasyon mevcut olup (kolposefali) herhangi bir obstrüksiyona bağlı değildir ve non- obstrüktif ventrikülomegaliyle uyumlu fetüs beynini yansıtır.
- Ayırıcı tanıda bulunan holoprozensefalide lizensefali gibi kortikal yüzeyde düzleşme olabilir ama asıl bulgu; tek ventrikül boşluğu, orta hat yapılarında (Korpus kallosum, falks, septum pellusidum) agenezi ya da hipoplazidir.
- Polimikrogride multipl küçük düzensiz serebral gyruslarla karakterize fokal beyin anormalliği mevcuttur. Serebral Korteks yüzeyi dalgalı bir görünüme sahiptir.
- Kortikal Displazi/Heterotopi: Fokal migrasyon bozukluğu olup lizensefali diffüz dağılım gösterir.
- TORCH enfeksiyonlarında ise patojene göre farklı lokalizasyonda yerleşim göstermekte olup intraparankimal-periventriküler kalsifikasyon, hemoroji ve meningoensefalit bulgularıyla seyreder.
- Dandy Walker Malformasyonu(DWM); posterior fossa ve serebellar vermiş gelişim bozukluğudur. Radyolojik incelemelerde vermisin hipoplazi/aplazisi, tentoryum serebellide superiora yer değiştirme , tegmentovermian açının 45 derecenin üstünde olması ile tanı konur. İntrauterin dönemde bu açı sınırı fetüs gestasyonel haftasına göre değişkenlik göstermektedir.
- Olgumuzda görüntüleme bulguları ve ayıcı tanı listesindeki hastalıkların dışlanması ile tanı konulmuştur.
- Abdel Razek AAK, Kandell AY, Elsorogy LG, Elmongy A, Basett AA. Disorders of cortical forma- tion: MR imaging features. AJNR Am J Neuroradiol. 2009; 30(1):4–11.
- Barkovich AJ, Raybaud CA. Neuroimaging in dis- orders of cortical development. Neuroimaging Clin N Am. 2004; 14(2):231–54, viii, vii.
- Leventer RJ, Pilz DT, Matsumoto N, Led- better DH, Dobyns WB. Lissencephaly and subcortical band heterotopia: molecular basis and diagnosis. Molecular Medicine Today 2000; 6:277-283.
- de Rijk-van Andel JF, Arts WFM, Barth PG, Loonen MCB. Diagnostic features and clinical signs of 21 patients with lissencep- haly type I. Dev Med Child Neurol 1990; 32:707-717.

