Haftanın Olgusu-214 (27 Ekim 2025)

Haftanın Olgusu

Editör
Dr. Burçak Çakır Peköz
Sağlık Bilimleri Üniversitesi Adana Şehir Eğitim ve Araştırma Hastanesi
Radyoloji Anabilim Dalı
27 Ekim 2025
ÖyküYanıtlarBulgularAyırıcı TanıTanıTartışmaKaynaklar
66 yaş, E
Kardiak arrest, 10 dk CPR öyküsü
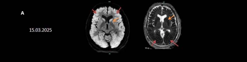
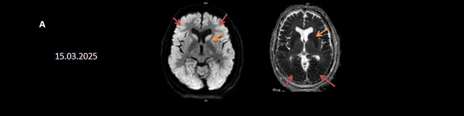
15.03.2025
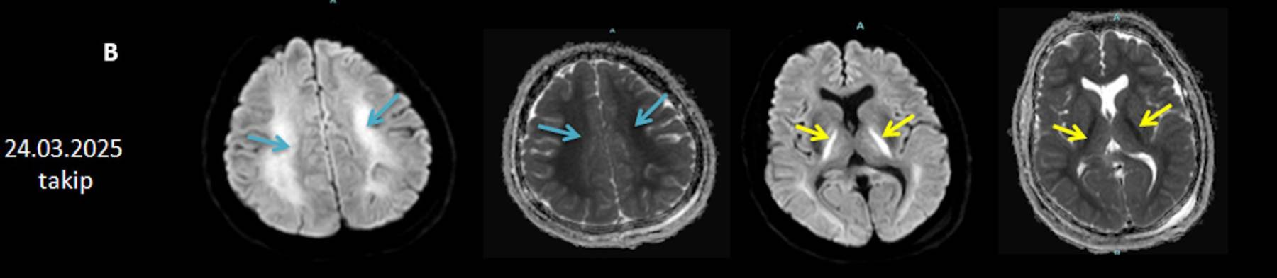
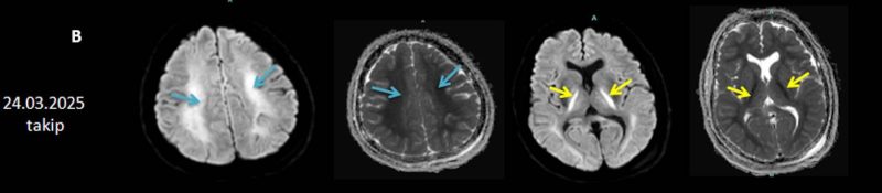
24.03.2025

Doç. Dr. Hediye Pınar Günbey
SBÜ Kartal Lütfi Kırdar Şehir Hastanesi
Radyoloji Anabilim Dalı
Olgu için verilen yanıtlar
- Hipoksik iskemik ensefalopati (15 kişi)
- Gecikmiş posthipoksik lökoensefalopati (4 kişi)
- PRES (1 kişi)
- Hipernatremik ensefalopati (1 kişi)
- Diffüz anoksik ensefalopati (1 kişi)
- Ağır hipoksik hasar (1 kişi)
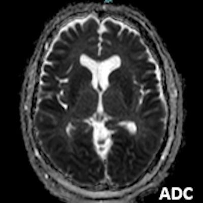
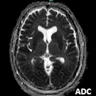
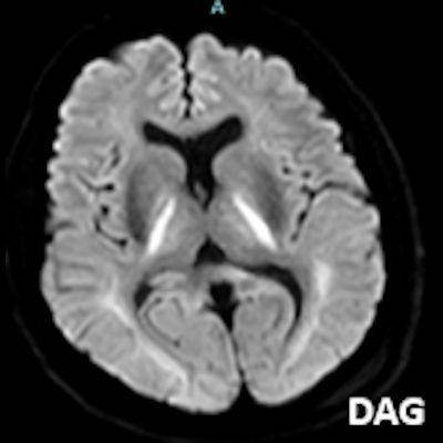
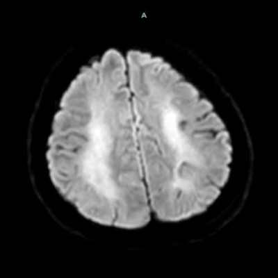
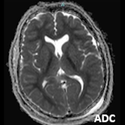
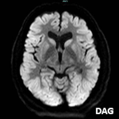
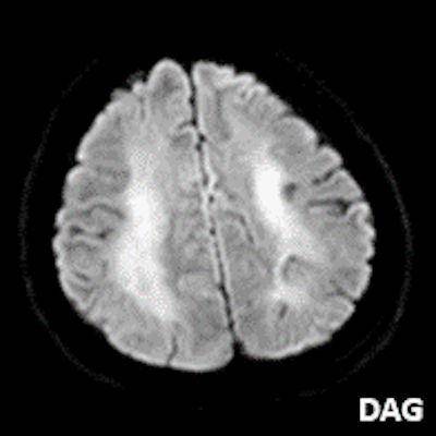
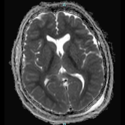
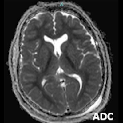
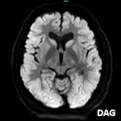
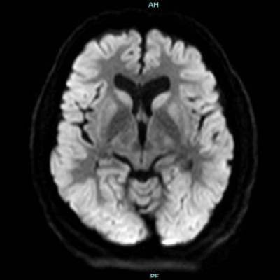
- A) Bilateral serebral kortekste (oklar) ve bazal ganglionlarda (oklar) yaygın DAG hiperintens, ADC hipointens difüzyon kısıtlamaları görülüyor.
- B) 9 gün sonraki difüzyon MR incelemede kortikal ve bazal ganglionlardaki difüzyon kısıtlamalarının gerilediği, bilateral serebral beyaz cevherde (oklar) ve internal kapsül arka bacağı- kortikospinal trakt boyunca (oklar) yaygın DAG hiperintens, ADC hipointens difüzyon kısıtlamalarının geliştiği izleniyor.
- Hipoksik iskemik ensefalopati
- Gecikmiş posthipoksik lökoensefalopati
Gecikmiş posthipoksik lökoensefalopati
Gecikmiş Posthipoksik Lökoensefalopati (DPHL)
- Gecikmiş posthipoksik lökoensefalopati (DPHL), hipoksik-iskemik bir ataktan iyileşmenin hemen ardından akut nörolojik bozulma olarak ortaya çıkan bir demiyelinizan sendromdur.
- Düşük sıklığı göz önüne alındığında, gecikmiş post-hipoksik lökoensefalopatinin yaygınlığı ve insidansı hakkında çok fazla veri bulunmamaktadır. Bildirilen vakaların çoğu karbon monoksit zehirlenmesine sekonder olarak ortaya çıkmıştır.
- Tanı, hastanın başlangıçta iyileştiği uzun ve şiddetli bir serebral hipooksijenasyon dönemini gerektirir. Genellikle birkaç hafta süren göreceli bir istikrar döneminden sonra, konfüzyon, anormal davranışlar, parkinsonizm, hareket bozuklukları ve bilişsel eksikliklerle karakterize nöropsikiyatrik defisitlerin oldukça hızlı bir başlangıcı olur . Sorumlu kesin mekanizma tam olarak anlaşılmamıştır ancak miyelin kılıfı hasarıyla ilişkili olduğuna inanılmaktadır. Bu, beyaz cevher tutulumunu ve U liflerinin (çok yavaş miyelin metabolizmasına sahip olan) nispeten korunmasını açıklamaktadır.
- Küratif tedavisi olmayıp destek tedavisi yapılmaktadır.
Görüntüleme Bulguları
- T2A / FLAIR serilerde beyaz cevherde özellikle sentrum semiovalede diffüz yüksek sinyal görülür. Subkortikal U lifleri sıklıkla korunur.
- DAG görüntülemede sıklıkla belirgin difüzyon kısıtlaması görülür.
- Etkilenen beyaz cevher T1A görüntülerde sıklıkla hipointens olup kontrast madde verilmesi sonrası kontrastlanma görülmez. MR spektroskopide kolin ve laktat piklerinde artış ,NAA pikinde azalma görülür.
- Gecikmiş posthipoksik lökoensefalopati tedavisinin temelini destekleyici bakım oluşturur, ancak sıklıkla ölümcüldür ve bildirilen vaka sayısının azlığı nedeniyle kanıt temeli sınırlıdır.
- Olgumuz hastanemizde yoğun bakımda 5 ay entübe takip edildikten sonra başka hastaneye nakli alınmıştır.
- Shprecher D & Mehta L. The Syndrome of Delayed Post-Hypoxic Leukoencephalopathy. NeuroRehabilitation. 2010;26(1):65-72. PMC2835522
- Zamora C, Nauen D, Hynecek R et al. Delayed Posthypoxic Leukoencephalopathy: A Case Series and Review of the Literature. Brain Behav. 2015;5(8):e00364. doi:10.1002/brb3.364
- Beeskow A, Oberstadt M, Saur D, Hoffmann K, Lobsien D. Delayed Post-Hypoxic Leukoencephalopathy (DPHL)-An Uncommon Variant of Hypoxic Brain Damage in Adults. Front Neurol. 2018;9:708. doi:10.3389/fneur.2018.00708
- Beeskow A, Oberstadt M, Saur D, Hoffmann K, Lobsien D. Delayed Post-Hypoxic Leukoencephalopathy (DPHL)-An Uncommon Variant of Hypoxic Brain Damage in Adults. Front Neurol. 2018;9:708. doi:10.3389/fneur.2018.00708

