Haftanın Olgusu-206 (1 Eylül 2025)

Haftanın Olgusu

Editör
Dr. Burçak Çakır Peköz
Sağlık Bilimleri Üniversitesi Adana Şehir Eğitim ve Araştırma Hastanesi
Radyoloji Anabilim Dalı
1 Eylül 2025
ÖyküYanıtlarBulgularAyırıcı TanıTanıTartışmaKaynaklar
72 yaş, K
Ekzoftalmus ve göz hareketlerinde kısıtlılık

Araş. Gör. Dr. Enes Karacan
Doç. Dr. Burçak Çakır Peköz
SBÜ, Adana Tıp Fakültesi, Adana Şehir Hastanesi
Olgu için verilen yanıtlar
- Karotikokavernöz fistül (3 kişi)
- Orbital venöz varis (2 kişi)
- Tolosa Hunt sendromu (2 kişi)
- Optik gliom (1 kişi)
- Orbital lenfoma (1 kişi)
- Graves oftalmopatisi (1 kişi)
- Oftalmik sinir kaynaklı periferal sinir kılıfı tümörü (1 kişi)
- Orbita metastazı (1 kişi)
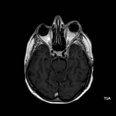
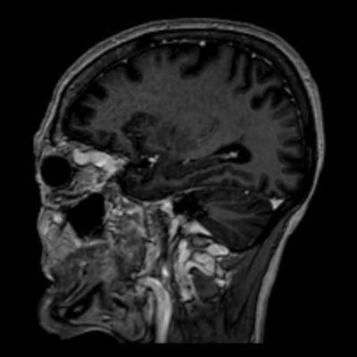
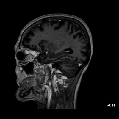
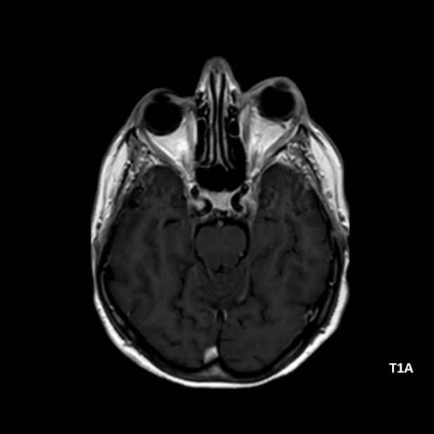
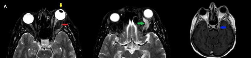
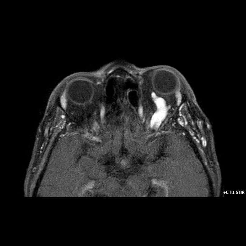
- A) Orbital MRG’de yağ baskılı T2A görüntülerde sol orbital globta ekzoftalmus (ok) izlenmiş olup retrobulbar yağlı dokuda kirlenmeler (ok) ve dilate superior oftalmik ven (ok) dikkati çekiyor. Beyin MRG’de kontrastlı T1A görüntüde sol kavernöz sinüste simetriğine oranla genişleme (ok) izleniyor.
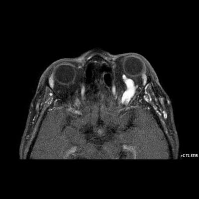
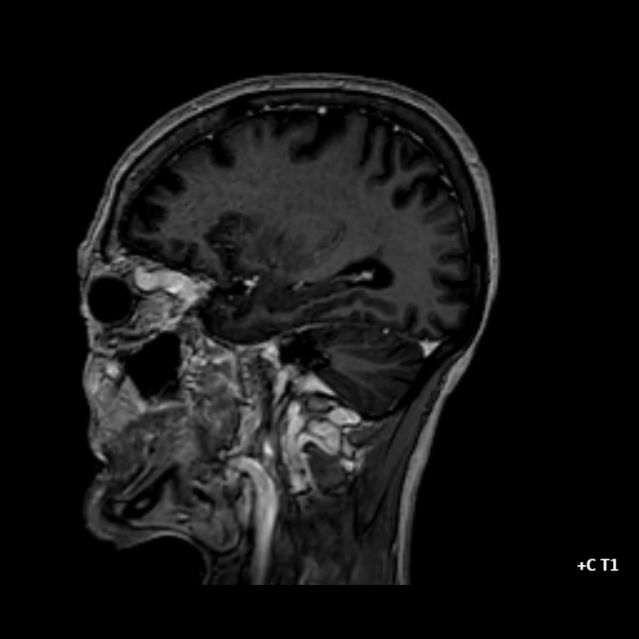
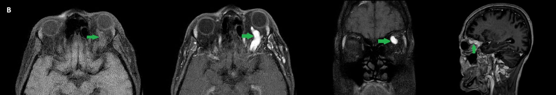
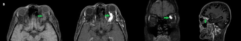
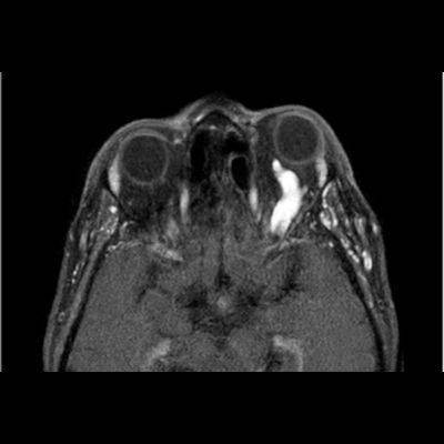
- B) Pre ve post-kontrast yağ basklılı T1A görüntüler incelendiğinde superior oftalmik venin (oklar) kontrast madde verildikten sonra homojen dolum gösterdiği, dilate ve tortiyoze görünümde olduğu izleniyor.
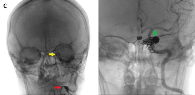
- C) DSA incelemelerinde sol eksternal karotid arter (ok) kateterizasyonunda kontrast maddenin kavernöz sinüse (ok) geçtiği izleniyor. Tedavi sonrası görüntüde kavernöz sinüs ile karotis arteriyel sistem arasında bulunan fistül traktına coil embolizasyon (ok) işlemi uygulandığı görülüyor.
- Karotikokavernöz fistül
- Orbital varis
- Orbital psödotümör
- Orbital AVM
- Kavernöz sinüs trombozu
Karotikokavernöz Fistül
Karotikokavernöz Fistül
- Karotikokavernöz fistül; internal karotis arter ve/veya eksternal karotis arter ya da dallarından biri ile kavernöz sinüs arasındaki patolojik bağlantılar nedeniyle oluşmuş anormal arteriyovenöz şantları ifade eder.
- Olguların dörtte üçü travmaya sekonder olmakla birlikte non-travmatik şekilde de ortaya çıkabilir.
- Travmaya sekonder fistüller akut olduğundan oküler üfürüm, kemozis ve propitozis ile karşımıza çıkarken, non-travmatik olgularda semptomlar yavaş gelişip nonpesifik ya da silik olabilir.
- Karotikokavernöz fistül tanısı için; tonometri ve pnömotonometri gibi klinik testler ile radyolojik görüntüleme yöntemlerinden yararlanılmaktadır. Altın standart görüntüleme olarak da Dijital Substraksiyon Anjiyografi (DSA) kullanılmaktadır.
- DSA incelemelerine göre fistüller direkt ve indirekt olarak sınıflandırılmaktadır.
Görüntüleme Bulguları:
- Renkli Doppler USG: Süperior oftalmik vende artmış kan akımı görülür. Tipik bulgu santral retinal arterde ipsilateral kan akış hızının patolojik olarak azalması ve direnç indeksinin artmasıdır.
- BT ve MRG: Propitozis, ekstraokuler kaslarda genişleme, superior oftalmik vende genişleme ve tortiyozite, ipsilateral kavernöz sinüste genişleme gösterilebilir. Serebral venöz konjesyonu olan ve intrakraniyal basınçları yükselen hastalarda serebral ödem, hemoraji, leptomeningeal ve kortikal venlerin dilastasyonunu görülebilir. Bunlara ek olarak travmaya sekonder olgularda BT ile eşlik eden fraktürler gösterilebilir.
- DSA: Fistülün akış hızını karakterize ederek direkt ve indirekt fistülleri net olarak ayırabilir. ICA defektinin tam anatomik yerini ve ICA veya ECA dural besleyicilerini gösterir. Ayrıca DSA ile endovasküler tedaviler yapılabilmektedir.
- Olgumuzun DSA incelemelerinde sol ICA ve ECA’dan kavernöz sinüse fistülöz bağlantı olduğu izlenmiş ve coil embolizasyon işlemi uygulanarak tedavi edilmiştir.
- Lee JY, Jung C, Ihn YK, Kim DJ, Seong SO, Kwon BJ. Multidetector CT angiography in the diagnosis and classification of carotid-cavernous fistula. Clin Radiol. 2016 Jan;71(1):e64-71. doi: 10.1016/j.crad.2015.10.018. Epub 2015 Nov 22. PMID: 26615454.
- Henderson AD, Miller NR. Carotid-cavernous fistula: current concepts in aetiology, investigation, and management. Eye (Lond). 2018 Feb;32(2):164-172. doi: 10.1038/eye.2017.240. Epub 2017 Nov 3. PMID: 29099499; PMCID: PMC5811734.
- Kim D, Choi YJ, Song Y, Chung SR, Baek JH, Lee JH. Thin-Section MR Imaging for Carotid Cavernous Fistula. AJNR Am J Neuroradiol. 2020 Sep;41(9):1599-1605. doi: 10.3174/ajnr.A6757. Epub 2020 Aug 20. PMID: 32819900; PMCID: PMC7583100.

