Ödüllü Olgu 58-2 (230)

Gelecek Haftanın Olgusu

Editör
Dr. Burçak Çakır Peköz
Sağlık Bilimleri Üniversitesi Adana Şehir Eğitim ve Araştırma Hastanesi
Radyoloji Anabilim Dalı
Ayın
ÖDÜLLÜ OLGU
Kazananı
Ayın ödüllü olgu kazananı tercihine göre 2025 TNRD Yıllık Kongresi’ne ya da tercihe göre Türk Nöroradyoloji-Türk Pediatrik Nöroradyoloji Diploma kurslarından birine KAYIT HAKKI kazanmıştır.

Ahmet Bozer
İzmir Şehir Hastanesi

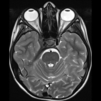
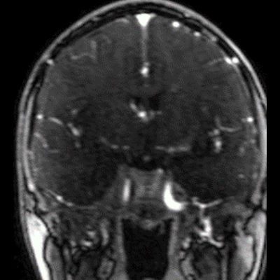
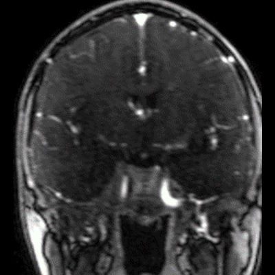
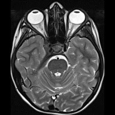
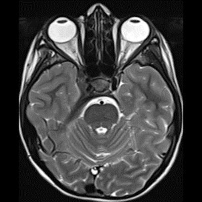
14 yaş, K
Baş ağrısı ve sağda abdusens felci

Prof. Dr. Özlem ALKAN
Başkent Üniversitesi Tıp Fakültesi
Adana Dr. Turgut Noyan Araştırma ve Uygulama Hastanesi


Sarkoidoz
Sarkoidoz
Bazal menenjit
Nörosarkoidoz
Talaso-hunt sendromu -nörosarkoidoza sekonder
Talosa hunt sendromu-nörosarkoidoza sekonder
Sağ kavernöz sinüs malign menenjiomu, akciğer metastazı
Hughes–Stovin sendromu
Behçet hastaligi ile ilişkili hipertrofik pakimenenjit
Neurosarcoidosis manifesting as cavernous sinus syndrome in systemic sarcoidosis
Nörotüberküloz
Behçet hastalığı
Sarkoidoz
Sarkoidoz
Sarkoidoz
sarkoidoz tutulumu
Nörosarkoidoz
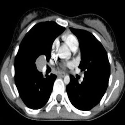
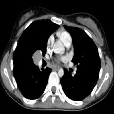
Sağ kavernoz sinüste kontrastlanan ICA yı çevreleyen daraltan yumuşak doku değerleri mevcuttur.Sağ parahiler bölgede lenfadenopati veya kitle lezyonu ile uyumlu olabilecek görünüm mevcuttur.Ayırıcı tanıda Nazofarink Ca metastazı,lenfoma,sarkaidoz,wegener granulomatozu düşünüle bilir.Çocuk hasta olduğu için daha çok lenfoma olarak düşündüm
Sarkoidoz
sarkoidoz
Sarkoidoz
sarkoidoz
nörosarkoidoz
Hipofiz adenomu