Ödüllü Olgu 58-3 (231)

Gelecek Haftanın Olgusu

Editör
Dr. Burçak Çakır Peköz
Sağlık Bilimleri Üniversitesi Adana Şehir Eğitim ve Araştırma Hastanesi
Radyoloji Anabilim Dalı
Ayın
ÖDÜLLÜ OLGU
Kazananı
Ayın ödüllü olgu kazananı tercihine göre 2025 TNRD Yıllık Kongresi’ne ya da tercihe göre Türk Nöroradyoloji-Türk Pediatrik Nöroradyoloji Diploma kurslarından birine KAYIT HAKKI kazanmıştır.

Ahmet Bozer
İzmir Şehir Hastanesi

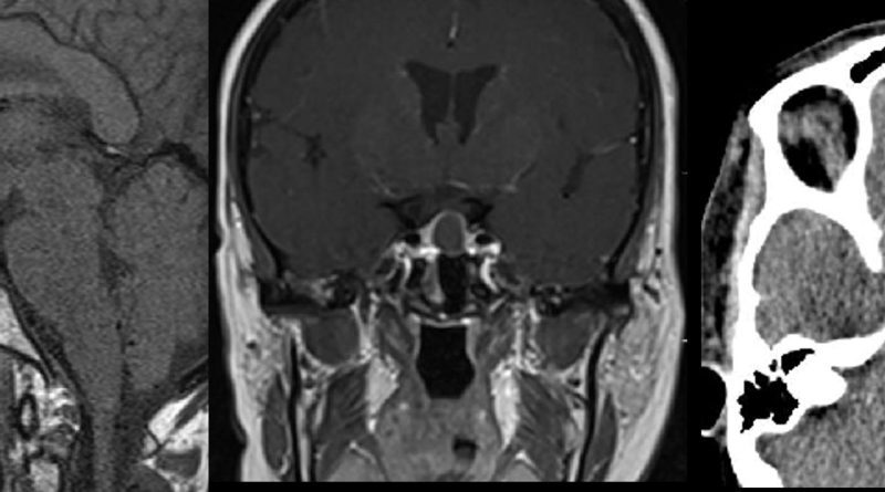
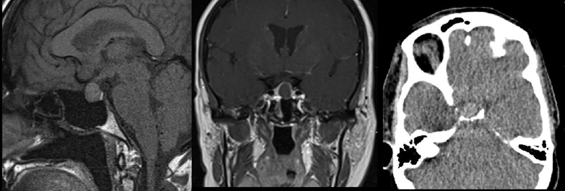
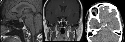
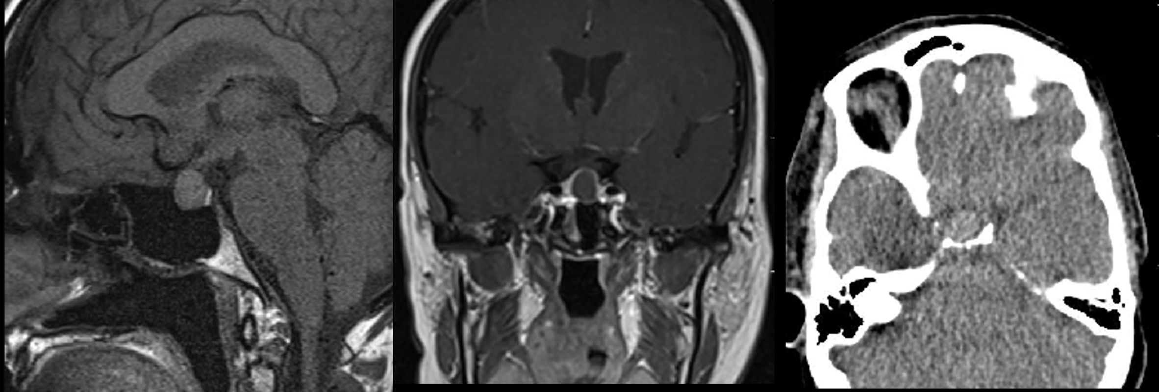
61 yaş, K
15-20 yıldır süren baş ağrıları, sağ göz görme alanında tam kayıp

Uzm. Dr. Cenk PARLATAN
Başkent Üniversitesi
Adana Dr. Turgut Noyan Araştırma ve Uygulama Hastanesi
Radyoloji Bölümü


Rathke kleft kisti
Tuberculum sella menengiomu
rathe kleft kisti
Tuberkulum sella meningiomu
Optik aparat basısı- hipofiz makroadenom
ratke kleft kisti
kistik makroadenom
Rathke kleft kisti
Ratke kleft kisti
Rathke kleft kisti
Kraniyofarengiom
Rathke kleft kisti
Rathke kleft kisti
Hipofiz apopleksisi
Hipofiz Makroadenomu(PitNET)
Hipofiz adenomu
Rathke kleft kisti
Rathke kleft kisti
Tuberculum sella meningiomu
Rathke kleft kist
Pituicytoma
Hipofizer apopleksi
Hipofizer apopleksi
Pituiter makroadenom
Kraniofarenjioma