Haftanın Olgusu-208 (15 Eylül 2025)

Haftanın Olgusu

Editör
Dr. Burçak Çakır Peköz
Sağlık Bilimleri Üniversitesi Adana Şehir Eğitim ve Araştırma Hastanesi
Radyoloji Anabilim Dalı
15 Eylül 2025
ÖyküYanıtlarBulgularAyırıcı TanıTanıTartışmaKaynaklar
24 yaş, E
Baş ağrısı

Araş. Gör. Dr. Kübra Karaaslan Erişen
Doç. Dr. Burçak Çakır Peköz
SBÜ, Adana Tıp Fakültesi, Adana Şehir Hastanesi
Radyoloji Anabilim Dalı
Olgu için verilen yanıtlar
- Hemanjioblastom (8 kişi)
- Pilositik astrositom (4 kişi)
- Vestibbüler şıvannoma eşlik eden hemanjioblastom (1 kişi)
- Kistik menenjiom (1 kişi)
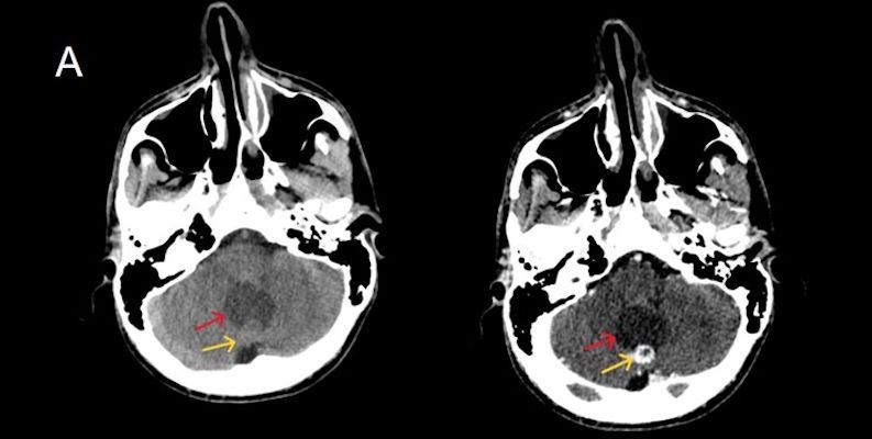
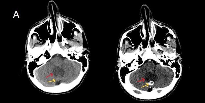
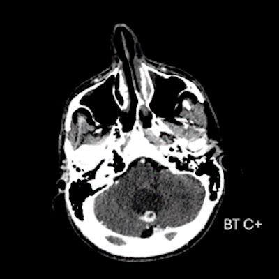
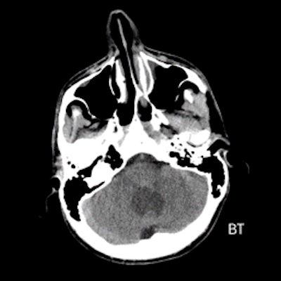
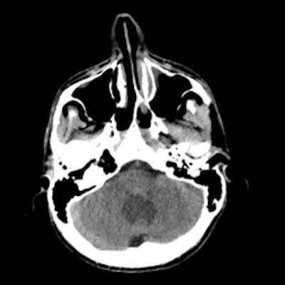
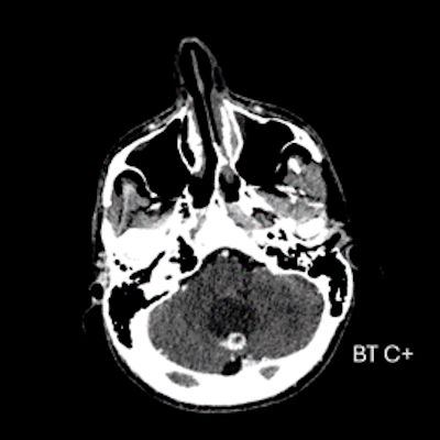
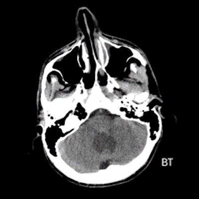
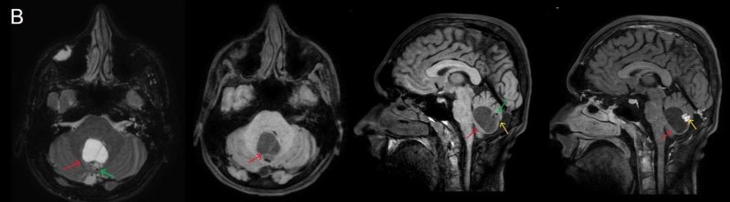
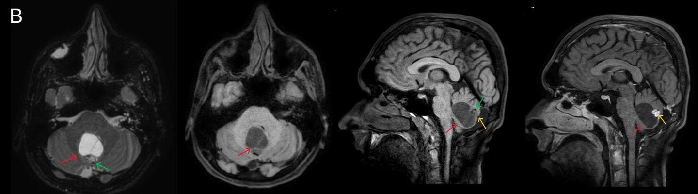
- A) Beyin BT incelemede; posterior fossada hipodens, düzgün sınırlı kistle beraber (oklar), posteriorunda 8 mm boyutunda, iyi sınırlı, kontrastsız BT’de parankim ile izodens, postkontrast görüntülerde yoğun kontrast tutulumu gösteren mural nodül komponenti (oklar) gözlenmektedir.
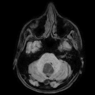
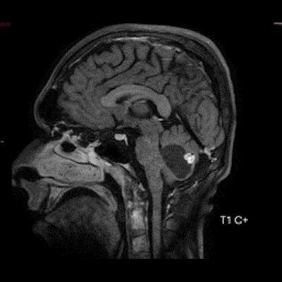
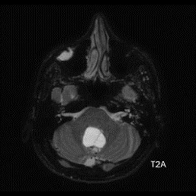
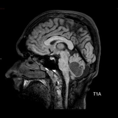
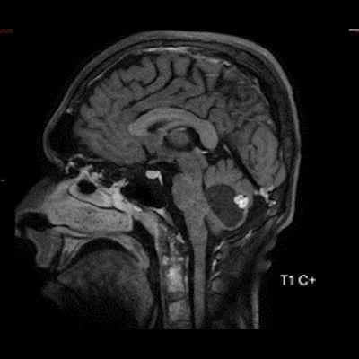
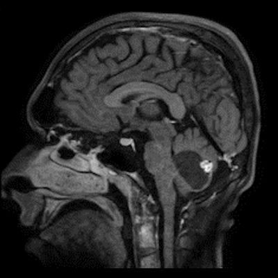
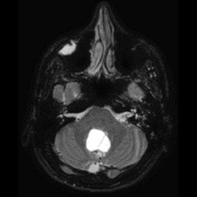
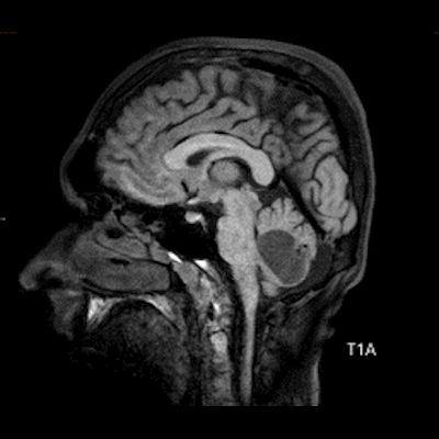
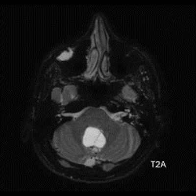
- B) Beyin MRG incelemesinde; 4. ventriküle bası etkisi oluşturan yaklaşık 3.5 cm boyutta, T2A hiperintens T1A hipointens kistik komponent (oklar) ve posteriorunda T1 ve T2A serilerde parankim ile izointens, içerisinde flow void alanların (oklar) izlendiği, post kontrast görüntülerde yoğun kontrast tutulumu gösteren mural nodül (oklar) barındıran düzgün sınırlı lezyon izlenmektedir.
- Hemanjioblastom
- Pilositik astrositom
- Metastaz
- Ependimom
- Medulloblastom
HEMANJİOBLASTOM
HEMANJİOBLASTOM
- Hemanjioblastomlar, öncelikli olarak santral sinir sistemini tutan nadir, iyi huylu vasküler kökenli WHO grade I tümörlerdir. Bu tümörler açık ara en sık serebellumda, ardından spinal kord ve beyin sapında gelişmektedir. Sporadik olabilir veya OD geçişli bir kanser sendromu olan von Hippel-Lindau (VHL) hastalığı ile ilişkili olabilir. Bu nedenle hemanjioblastom tanısında VHL açısından klinik, radyolojik ve genetik değerlendirme yapılması önerilmektedir.
- Tipik olarak 30 ila 60 yaşları arasında hafif erkek cinsiyetinde baskın olarak görülmektedir.
- Klinik seyir, tümörün lokalizasyonuna bağlı olarak değişiklik göstermektedir. Serebellar yerleşimli lezyonlarda baş ağrısı, bulantı-kusma ve intrakraniyal basınç artışı sık görülürken, spinal kord yerleşimlerde ağrı, motor defisit ve sfinkter disfonksiyonu ön plandadır.
- Cerrahi rezeksiyon, özellikle tam çıkarım sağlanabildiğinde küratif tedavi seçeneğidir. Ancak yoğun vaskülarite nedeniyle operasyon öncesi dikkatli planlama gerektirir. Gerekli olgularda preoperatif anjiyografi ve embolizasyon, cerrahi komplikasyonları azaltmada yararlı olabilir. Radyoterapi ve stereotaktik radyocerrahi, rezeksiyonun mümkün olmadığı veya rezidüel/rekürren tümörlerde alternatif tedavi seçenekleri olarak kullanılmaktadır.
- Hemanjioblastomlar nadir görülmekle birlikte, tipik radyolojik özellikleri sayesinde erken dönemde tanınabilir. VHL ile olan ilişkisi göz önünde bulundurularak, tanı alan hastaların multidisipliner yaklaşımla değerlendirilmesi ve yakın takibi büyük önem taşımaktadır.
Görüntüleme Bulguları:
- BT’de tipik olarak iyi sınırlı, hipodens kistik bir lezyon ve içinde belirgin şekilde kontrastlanan mural nodül izlenir.
- Tümör vaskülaritesine bağlı olarak intraserebral kanama eşlik edebilir ve T2*’de blooming görüntüsüne yol açar.
- Kalsifikasyon: Hemanjioblastomlarda kalsifikasyon çok nadirdir (oligodendrogliom ve ependimomlardan ayırt edici bir özellik).
- Kistik komponent: T1A hipointens, T2A hiperintens
- Mural nodül: T1A izo-hipointens, T2A orta derecede hiperintens olabilir.
- Kontrastlı incelemelerde mural nodül belirgin ve yoğun kontrast tutulumu gösterir. Ancak kist duvarında genellikle kontrastlanma beklenmez.
- T1 ve T2A görüntülerde flow voidler sıktır.
- Anjiografide en sık karşılaşılan görüntü; uzamış vasküler boyanma gösteren yoğun vasküler tümör nodülüdür. Erken drenaj venleri sıktır.
- Olgumuzda tanı histopatolojik olarak doğrulanmıştır.
- Khan MM, Hall WA, Belkhair S. Hemangioblastoma. 2025 Jun 16. In: StatPearls [Internet]. Treasure Island (FL): StatPearls Publishing; 2025 Jan–. PMID: 39163468.
- Anne G. Osborn, Luke L. Linscott, Karen L. Salzman: Osborn’s Brain: Imaging, Pathology and Anatomy, 3rd Edition. Elsevier, 2024, (ISBN 9780443109379)
- Baker KB, Moran CJ, Wippold FJ 2nd, Smirniotopoulos JG, Rodriguez FJ, Meyers SP, Siegal TL. MR imaging of spinal hemangioblastoma. AJR Am J Roentgenol. 2000 Feb;174(2):377-82. doi: 10.2214/ajr.174.2.1740377. PMID: 10658709.
- Lahkim M, Andour H, Laamrani FZ, Allaoui M, Saouab R, El Fenni J, En-Nouali H. Cerebellar hemangioblastoma: Case report with review of the literature. Radiol Case Rep. 2021 Aug 14;16(10):3109-3112. doi: 10.1016/j.radcr.2021.07.027. PMID: 34429813; PMCID: PMC8367806.

