Ödüllü Olgu

Ödüllü Olgu 57-2 (226)

Gelecek Haftanın Olgusu

Editör

Dr. Burçak Çakır Peköz
Sağlık Bilimleri Üniversitesi Adana Şehir Eğitim ve Araştırma Hastanesi
Radyoloji Anabilim Dalı

Ayın
ÖDÜLLÜ OLGU
Kazananı

Ayın ödüllü olgu kazananı tercihine göre 2025 TNRD Yıllık Kongresi’ne ya da tercihe göre Türk Nöroradyoloji-Türk Pediatrik Nöroradyoloji Diploma kurslarından birine KAYIT HAKKI kazanmıştır.

Fatih Kaya
Samsun Ondokuz Mayıs Üniversitesi

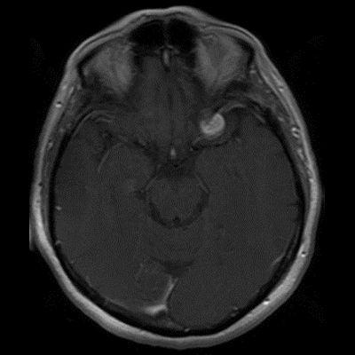
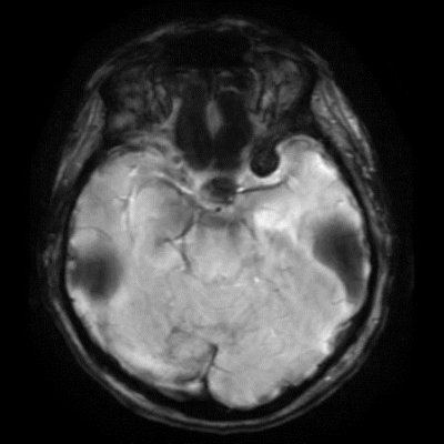
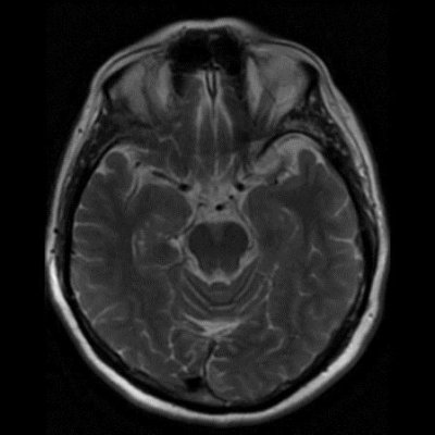
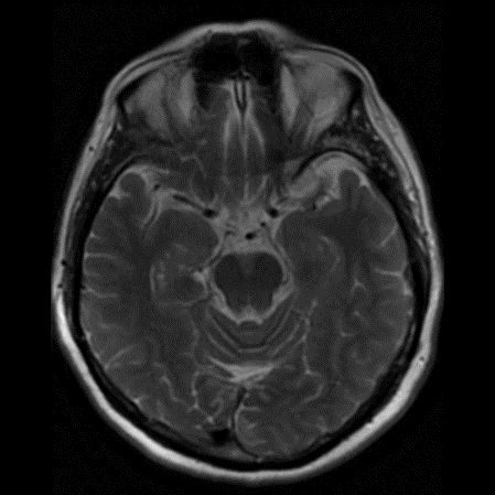
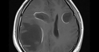
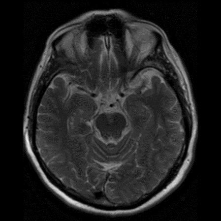
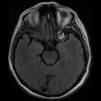
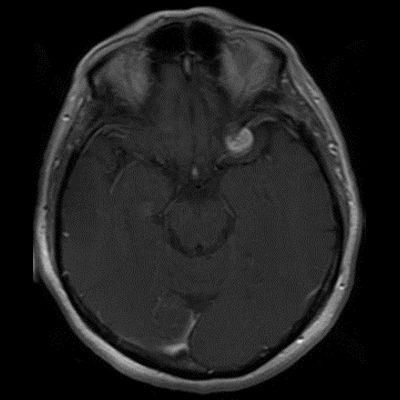
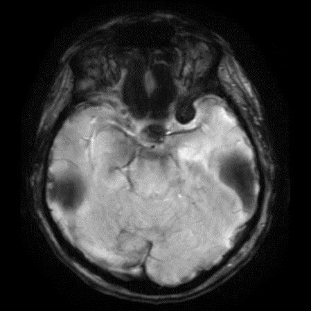
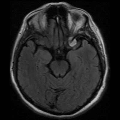
60 yaş, K
Baş ağrısı

Asist. Dr. Ertuğrul Gülay
Doç. Dr.  Başak Atalay
İstanbul Medeniyet Üniversitesi Tıp Fakültesi
Radyoloji Anabilim Dalı

Tanınız nedir?

Cahit Güçlü

TNRD

21 thoughts on “Ödüllü Olgu 57-2 (226)

  • Ahmet Bozer

    anterior klinoid hemanjiom

  • Elif Pelinsu Ekici

    menenjiom

  • İzzet Ökçesiz

    sfenoid kanat menengiomu

  • Nurdamla Arslan

    Menenjiom

  • Meltem Kurşun

    Sfenoid kanat menenjioma

  • Ahmetcan Sevim

    Menenjiom

  • YUNUS TANRIVERDİ

    HSV ENSEFALİTİ

  • Esra Yıldırım

    Kavernöz malformasyon

  • Onur Çetin

    Kavernom

  • Hulusi Ferhat Apaydın

    Kalsifik menenjiom

  • YUSUF ALP SUBAŞI

    Anterior Klinoid Hemanjiyom

  • Fahrettin Yusuf Altıntaş

    İntraosseöz hemanjiom

  • Banu Solak

    Melanom metastazı

  • Tayfun Uzunaslan

    Komplet tromboze dev anevrizma

  • serap sarı

    komplet tromboze dev intrakraniyal anevrizma

  • Ferhat Kurt

    Sfenoid kanat menengiomu

  • Ferhat Kurt

    Menengioma

  • İbrahim Menken

    Anjiomatöz menenjiom

  • Selma Gençer

    Sol MCA bifurkasyon anevrizması

  • UMIT TUZUN

    Anterior klinoid meningiomu

  • Serpil Kurtcan

    Sfenoid kanat menengiom

Bir yanıt yazın