Ödüllü Olgu 53-4 (212)

Gelecek Haftanın Olgusu

Editör
Dr. Burçak Çakır Peköz
Sağlık Bilimleri Üniversitesi Adana Şehir Eğitim ve Araştırma Hastanesi
Radyoloji Anabilim Dalı
Ayın
ÖDÜLLÜ OLGU
Kazananı
Ayın ödüllü olgu kazananı tercihine göre 2025 TNRD Yıllık Kongresi’ne ya da tercihe göre Türk Nöroradyoloji-Türk Pediatrik Nöroradyoloji Diploma kurslarından birine KAYIT HAKKI kazanmıştır.

Mehmet Salih Karaca
Gazi Yaşargil Eğitim ve Araştırma Hastanesi

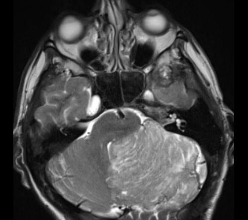
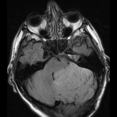
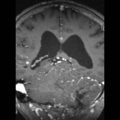
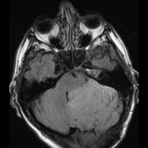
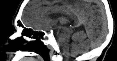
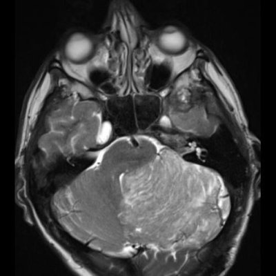
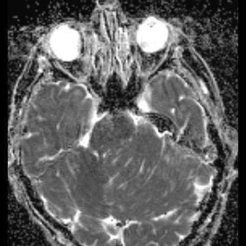
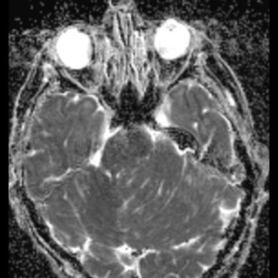
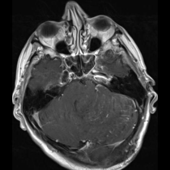
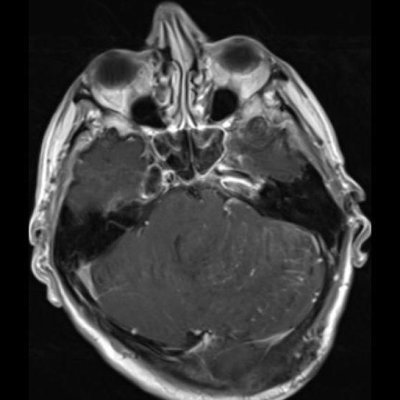
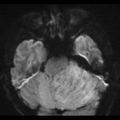
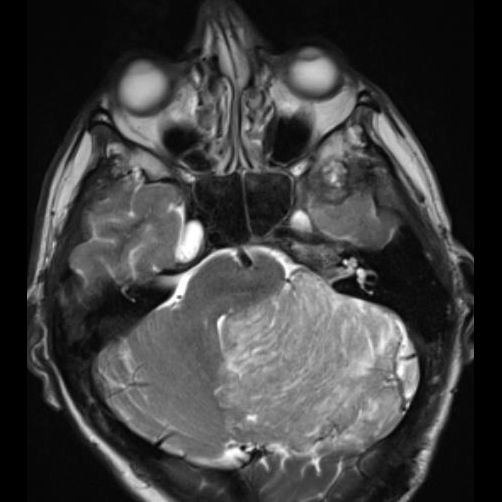
24 yaş, E
Baş ağrısı

Uzm. Dr. Umut Asfuroğlu
Ankara Etlik Şehir Hastanesi
Doç. Dr. Emetullah Cindil
Gazi Üniversitesi Tıp Fakültesi
Radyoloji Anabilim Dalı


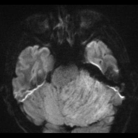
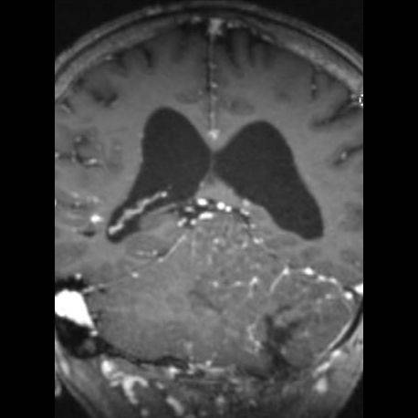
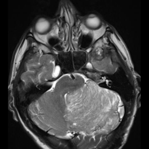
Lhermitte duclos
Lhermitte-Duclos hastalığı (Dysplastic cerebellar gangliocytoma)
Dysplastic cerebellar gangliocytoma(Lhermitte-Duclos hastalığı)
Lhermitte-Duclos hastalığı
Displastik serebellar gangliositoma
Lhermitte-Duclos disease
Dysplastic cerebellar gangliocytoma(Lhermitte-Duclos hastalığı)
Lhermitte-Duclos Hastalığı
Lhermitte Duclos Hastalığı
Lhermitte duclos
Lehrmitte duclos
Lhermitte Duclos hastalığı
Displastik serebellar gangliositoma( Lhermitte-Duclos hastalığı)
Lhermitte-Duclos
LHermitte Duclos
Lhermitte-Duclos disease
Displastik serebellar gangliositoma
Lhermitte duclos
Lhermitte Duclos hastalığı (Displastik serebellar gangliositom)
Lhermitte duclos
Lhermitte-Duclos hastalığı
Ependimoma
Displastik serebellar gangliositom (Lhermitte Duclos)
Lhermitte-Duclos hastalığı