Ödüllü Olgu

Ödüllü Olgu 54-1 (213)

Gelecek Haftanın Olgusu

Editör

Dr. Burçak Çakır Peköz
Sağlık Bilimleri Üniversitesi Adana Şehir Eğitim ve Araştırma Hastanesi
Radyoloji Anabilim Dalı

Ayın
ÖDÜLLÜ OLGU
Kazananı

Ayın ödüllü olgu kazananı tercihine göre 2025 TNRD Yıllık Kongresi’ne ya da tercihe göre Türk Nöroradyoloji-Türk Pediatrik Nöroradyoloji Diploma kurslarından birine KAYIT HAKKI kazanmıştır.

Fatih Ahmet Ateş
İnönü Üniversitesi

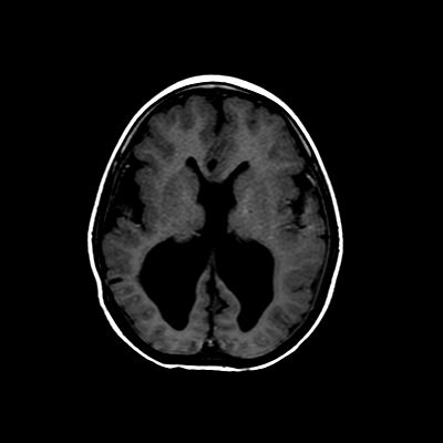
5 yaş, E
Gecikmiş motor ve mental gelişim, hipotoni, nöbet, sağ gözde glokom

Doç. Dr. Hediye Pınar Günbey
SBÜ Kartal Lütfi Kırdar Şehir Hastanesi
Radyoloji Anabilim Dalı

Tanınız nedir?

Cahit Güçlü

TNRD

29 thoughts on “Ödüllü Olgu 54-1 (213)

  • hüseyin ayvaz

    Konjenital Kuşçular distrofi ayırıcı tanı genetik ama kas göz beyin tutulumu olması muscle eye brain düşündürüyor

  • mehmet salih karaca

    Walker Warburg

  • tarık sağlam

    Muscle eye brain disease

  • Elif Pelinsu Ekici

    Alfa distroglikanopati

  • Fatih Ahmet Ateş

    Konjenital muskuler distrofi( walker warburg sendromu?)

  • Murat Şahin

    muscle-eye-brain disease

  • Esra Yıldırım

    alfa distroglikanopati

  • Begüm TURGUTLUGİL

    Konjenital muskuler distrofi distroglikanopati

  • Fatih Taşcı

    Alfa distroglikanopati

  • Ayşenur Özkan Alp

    Walker-Walburg Sendromu

  • Betül Çalışkan

    Walker-Warburg Sendromu

  • Meltem Kurşun

    Muscle eye brain disease

  • Deniz

    Walker warburg sendromu

  • Serdar Balsak

    Kinkleşmiş beyin sapı. Walker warburg sendromu

  • Faruk Bulut

    Korpus kallosum disgenezisi ve kolposefali

  • serap sarı

    Walker–Warburg sendromu (WWS)

  • enes şahin

    konjenital musküler distrofi– walker warburg

  • UMIT TUZUN

    KAS GÖZ BEYİN Hastalığı

  • Fahrettin Yusuf Altıntaş

    Walker–Warburg sendromu

  • Özge Coşkun

    Muscle-eye-brain disease (Kas-göz-beyin hastalığı)

  • Ömer Çetin

    Muscle-Eye-Brain Hastalığı

  • YUNUS TANRIVERDİ

    Walker–Warburg sendromu (Lizensefali tip II)

  • Nada HAROUN

    Aicardi sendromu

  • Murat CAN

    Septo-optik Displazi

  • Ülkünur Fikriye Özdemir

    Parsiyel korpus kallosum agenezisi

  • Muhammet İkbal IŞIK

    Dandy-Walker Malformasyonu?

  • sema aksoy

    L1CAM Sendromu

  • tuba selçuk can

    walker-warburg sendromu

  • Betül Çalışkan

    walker warburg sendromu

Bir yanıt yazın