Haftanın Olgusu-211 (6 Ekim 2025)

Haftanın Olgusu

Editör
Dr. Burçak Çakır Peköz
Sağlık Bilimleri Üniversitesi Adana Şehir Eğitim ve Araştırma Hastanesi
Radyoloji Anabilim Dalı
6 Ekim 2025
ÖyküYanıtlarBulgularAyırıcı TanıTanıTartışmaKaynaklar
35 yaş, K
Bilateral ekstremitelerde güçsüzlük ve görmede bulanıklık

Uzm. Dr. Umut Asfuroğlu
Ankara Etlik Şehir Hastanesi
Doç. Dr. Emetullah Cindil
Gazi Üniversitesi Tıp Fakültesi
Radyoloji Anabilim Dalı
Olgu için verilen yanıtlar
- Nöromiyelitis optika spektrum bozukluğu (17 kişi)
- (A) Torakal MRG’de sagital görüntülerde üst-orta torakal düzeyde T2A hiperintens (oklar), T1A izo-hipointens (ok) uzun segment ekspansil sinyal değişikliği izlenmekte olup sagital postkontrast T1A’da kontrast tutulumu mevcuttur (oklar). Bulgular longitudinal ekstensif transvers miyelit (LETM) ile uyumludur.
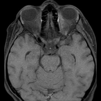
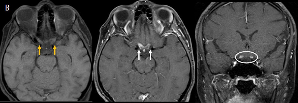
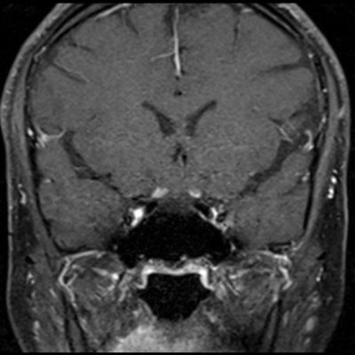
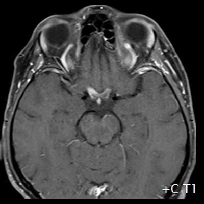
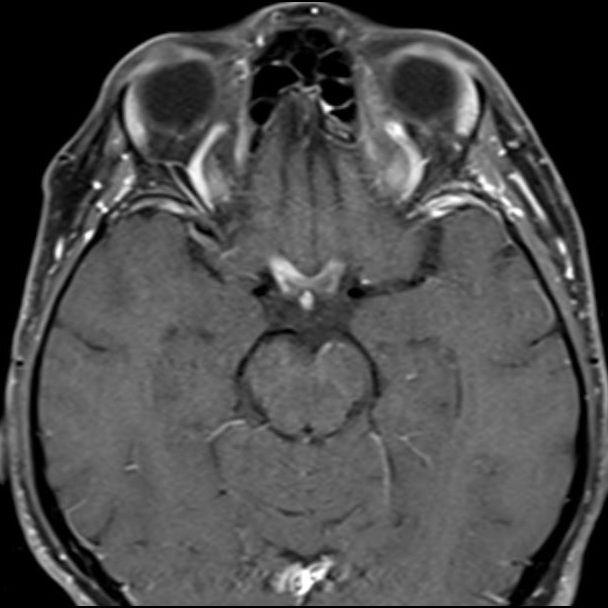
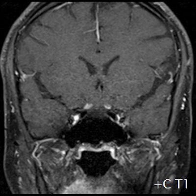
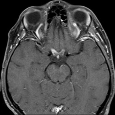
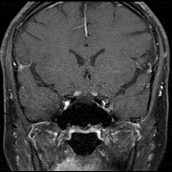
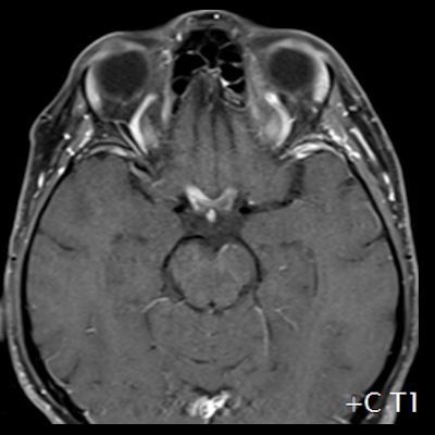
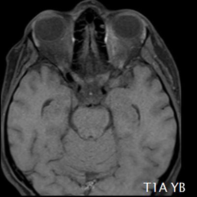
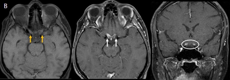
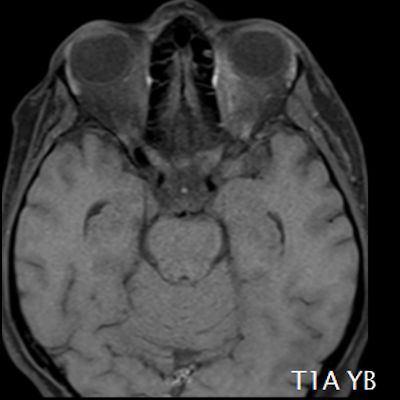
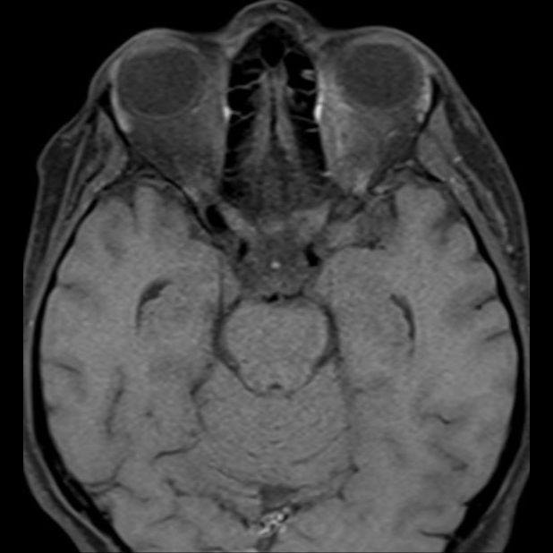
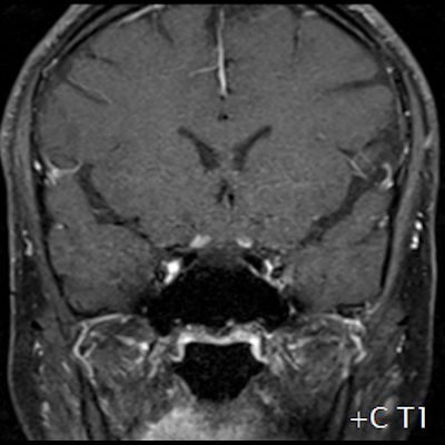
- (B) Orbita MRG’de aksiyel yağ baskılı T1A’da optik sinir prekiazmatik segmenti (oklar) gösterilmiş olup sırası ile aksiyel ve koronal post-kontrast yağ baskılı T1A görüntülerde bilateral optik sinir prekiazmatik segmentte kontrast tutulumu dikkati çekmektedir (oklar ve daire).
- Nöromiyelitis Optika (NMO) spektrum bozukluğu
- Multiple skleroz (MS)
- Miyelin oligodendrosit glikoprotein antikor-ilişkili hastalık (MOGAD)
Nöromiyelitis Optika (NMO) spektrum bozukluğu
Nöromiyelitis Optika (NMO) spektrum bozukluğu
- Kronik enflamatuar otoimmün bir santral sinir sistemi hastalığıdır. Demiyelinizasyon ve nörodejenerasyon ile sonuçlanan antikor aracılı otoimmün astrositopatidir.
- Aquaporin-4 immünoglobulin (AQP4-IgG) antikoru pozitifliği karakteristiktir. AQP4 kan-beyin bariyerindeki astrosit ayak çıkıntılarında distroglikan protein kompleksinin bir bileşeni olarak tanımlanabilir. Özellikle optik sinirlerde, omurilikte ve beyinde yaygın bulunan bir membran su kanalıdır.
- Tipik olarak şiddetli ve tekrarlayan optik nörit ve uzun segment miyelit ile karakterizedir.
- NMO spektrum bozukluğu tanısı klinik, serolojik ve radyolojik bulguların bir arada değerlendirilmesi ile konulur.
- Temel klinik özellikler optik nörit, akut miyelit, area postrema sendromu, beyin sapı sendromları, semptomatik narkolepsi, akut diensefalik sendrom ve serebral sendromlardır.
- NMO spektrum bozukluğu olgularının çoğunluğu tekrarlayan bir seyir izler.
- Atak dönemlerinde, beyin omurilik sıvısı analizinde, genellikle nötrofil ağırlıklı, 50-1000 hücre/mm3 kadar yüksek olabilen pleositoz görülebilmektedir.
- Hastaların %20-30’unda oligoklonal bantlar görülür.
- Anti-Aqp4 antikorlarının seropozitiflik oranı farklı çalışmalarda %70-80 arasında değişmektedir.
- 2015 Uluslararası NMO Spektrum Bozukluğu Tanı Kriterleri’ne göre;
Seropozitif NMO spektrum bozukluğu için:- Temel klinik özelliklerden en az biri
- Anti-AQP4-IgG pozitifliği
- Alternatif tanıların dışlanması
Seronegatif NMO spektrum bozukluğu için: - Uzayda dağılım gösteren iki veya daha fazla temel klinik özellik (en az bir optik nörit, akut transvers miyelit veya area postrema sendromu) ve ek MR bulguları
- Anti-AQP4-IgG için negatif testler
- Alternatif tanıların dışlanması
- Olgumuzda tanı anti-AQP4-IgG pozitifliği, klinik ve MR bulguları ile konmuştur.
Görüntüleme Bulguları
- Optik nörit varlığında özellikle optik kiazma ve posterior optik sinir tutulumu görülür ve bilateral olabilir.
- Transvers miyelit sıklıkla santral gri cevheri etkileyen ve üç veya daha fazla vertebral gövde uzunluğunu etkilemektedir (LETM).
- 4. ventrikülün komşuluğundaki emetik refleks merkezinde lezyon varlığında inatçı hıçkırık veya bulantı-kusma ortaya çıkar (area postrema sendromu).
- Periependimal beyin sapı lezyonları (akut beyin sapı sendromu).
- MOGAD hastalarında optik sinir ödemi diğer optik nörit tiplerine göre daha belirgin görülmektedir.
- MS’de optik nörit radyolojik tutulumu daha fokal iken NMO spektrum bozukluğu ve MOGAD’de genellikle daha yaygındır. MOGAD, NMO’ya kıyasla daha anterior kısmı etkileme eğilimindedir.
- Olgularının %15’i MS’e benzer şekilde kısa transvers miyelit ile karşımıza çıkabilir.
- Transvers kesitlerde, santral kordu tutma eğilimindedir.
- Omurilik atrofisi ve ekspansiyon/ödem MS’e göre daha fazla görülür.
- Kontrast madde enjeksiyonu sonrasında neredeyse tüm akut NMO lezyonları, yamalı, düzensiz veya periferik olarak kontrastlanma gösterir.
- Tamanini JVG, Sabino JV, Cordeiro RA, Mizubuti V, Villarinho LL, Duarte JÁ, et al. The role of MRI in differentiating demyelinating and inflammatory (not Infectious) Myelopathies.Semin Ultrasound CT MR.2023; 44: 469-88.
- Wingerchuk DM, Lennon VA, Pittock SJ, Lucchinetti CF, Weinshenker BG. Revised diagnostic criteria for neuromyelitis optica. Neurology 2006;66:1485–1489.
- Hung SC. Imaging of neuromyelitis optica spectrum disorders.Semin Ultrasound CT MR.2020; 41: 319-31.
- Hyun JW, Kim SH, Jeong IH, Lee SH, Kim HJ. Bright spotty lesions on the spinal cord: an additional MRI indicator of neuromyelitis optica spectrum disorder? J Neurol Neurosurg Psychiatry.2015; 86: 1280-2.
- Winter, A., & Chwalisz, B. (2020, November). MRI characteristics of NMO, MOG and MS related optic neuritis. In Seminars in Ophthalmology (Vol. 35, No. 7-8, pp. 333-342). Taylor & Francis.

