Ödüllü Olgu

Ödüllü Olgu 44-2 (174)

Gelecek Haftanın Olgusu

Editör

Dr. Nursel Yurttutan
Kahramanmaraş Sütçü İmam Üniversitesi, Tıp Fakültesi, Radyoloji Anabilim Dalı
Kahramanmaraş

Ayın
ÖDÜLLÜ OLGU
Kazananları

Merve Dur İnce
SBÜ Gülhane Eğitim ve Araştırma Hastanesi

Mizgin Yamer
Prof. Dr. Süleyman Yalçın Şehir Hastanesi

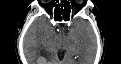
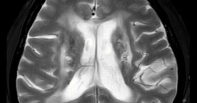
36 yaş, K
Renal transplantasyon, DM+, ateş ve nöbet

Araş. Gör. Dr. Metin Türkmen
Doç. Dr. Adil Doğan
Kahramanmaraş Sütçü İmam Üniversitesi
Radyoloji Anabilim Dalı

Tanınız nedir?

Cahit Güçlü

TNRD

36 thoughts on “Ödüllü Olgu 44-2 (174)

  • Tahsin Benlice

    Graft versus host hastalığı

  • Berkay Yılmaz

    tüberkülom

  • Hüseyin Özdemir

    Nörotoksoplazmozis

  • Begüm TURGUTLUGİL

    Nocardia sss enf

  • serap sarı

    Toxoplasmaya bağlı multipl beyin apseleri

  • Muhammet Berk CAN

    Nodulisporium beyin absesi

  • tarık sağlam

    Post transplantasyon lenfoproliferatif hastalık

  • sema aksoy

    Multiple abse

  • mehmet salih karaca

    Septik emboli, abse

  • Murat Şahin

    fungal abse (Cladophialophora bantiana phaeohyphomycosis)

  • Merve Gezgin

    Beyin abseleri – Nokardiozis veya toxoplazmozis

  • Abdullah Enes Berksoy

    fungal cerebral abscesses

  • Hasan Bulut

    PTLD

  • Meltem Kurşun

    Ebv ensafaliti

  • Meltem Kurşun

    Ebv ensefaliti

  • Buğra Kaan Aşılıoğlu

    Nokardiozis

  • Fatih Padalı

    Fungal Brain Abscess

  • Şeyda Güven

    Toxoplasmosis

  • Enes Muhammed Cantürk

    tüberkuloma

  • Muhammet Berk CAN

    Toksoplazmozis beyin absesi

  • Hasan Abbasguliyev

    posttransplant lymphoproliferative disorder (PTLD)

  • Muhyettin Tay

    Tbc -tüberkülom

  • Hulusi Ferhat Apaydın

    Fungal abse

  • Hulusi Ferhat Apaydın

    Pyojenik abse

  • Mehmet Doğmuş

    Nörotoxoplasmosis

  • Nazmi Toprak

    Toxoplazma’ya bağlı multipl beyin apseleri

  • Nazmi Toprak

    Toxoplazmaya bağlı çoklu beyin apsesi

  • Ayşe Almula Ünüvar

    nöro toksoplazmozis

  • Hacı ibrahim Ekinci

    Multiple beyin apsesi. İmmunsupresyona bağlı mantar enfeksiyonlari (Aspergillus, cryptococcus), nocardia düşünülebilir

  • Mustafa Konakçı

    Multiple serebral ve serebellar apse. İmmunsupresyona bağlı ön planda fungal enfeksiyonlar, fırsatçı patojenler düşünülebilir.

  • Muhammet İkbal IŞIK

    Nocardiosis

  • ZEYNEP KAPAĞAN

    Nocordia etkenli multiple beyin absesi

  • fati gözde şebnem tokmak

    Multipl beyin absesi Nokardiazis

  • özge yıldırım

    Streptococcus intermedius a bağlı beyin absesi

  • UMIT TUZUN

    Toksoplasmosis

  • UMIT TUZUN

    nörotoksoplazmozis

Bir yanıt yazın