Haftanın Olgusu-225 (12 Ocak 2026)

Haftanın Olgusu

Editör
Dr. Burçak Çakır Peköz
Sağlık Bilimleri Üniversitesi Adana Şehir Eğitim ve Araştırma Hastanesi
Radyoloji Anabilim Dalı
12 Ocak 2026
ÖyküYanıtlarBulgularAyırıcı TanıTanıTartışmaKaynaklar
13 yaş, K
Gelişme geriliği, Baş ağrısı

Asist. Dr. Merve Gezgin
Doç. Dr. Başak Atalay
İstanbul Medeniyet Üniversitesi Tıp Fakültesi
Radyoloji Anabilim Dalı
Olgu için verilen yanıtlar
- MELAS (14 kişi)
- Leigh (4 kişi)
- Mitokondriyal hastalık (3 kişi)
- Wilson hastalığı (3 kişi)
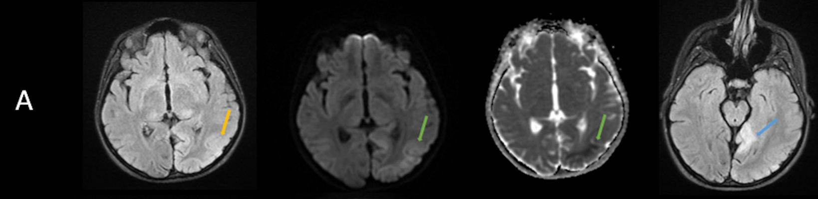
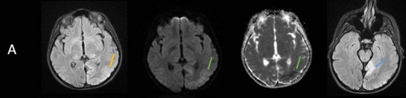
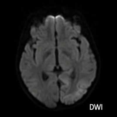
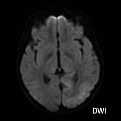
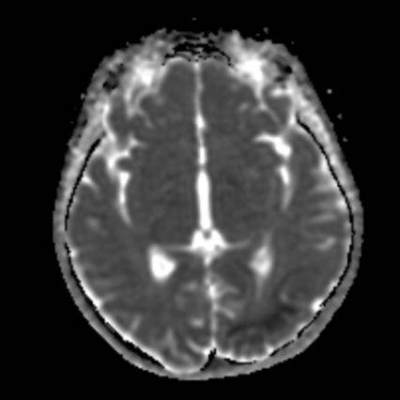
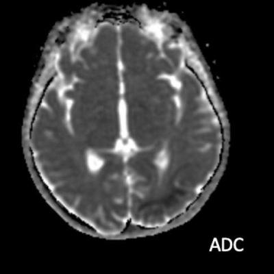
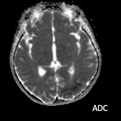
- A) Aksiyel FLAIR görüntülerde parietooksipital lobda kortikal hiperintensite (ok) ve difüzyon görüntülerde kısıtlanma alanları izleniyor (oklar). Ertesi gün çekilen kontrol MRG’de FLAIR serilerde yeni gelişen oksipital bölgede kortikal hiperintensite (ok) izlenmektedir.
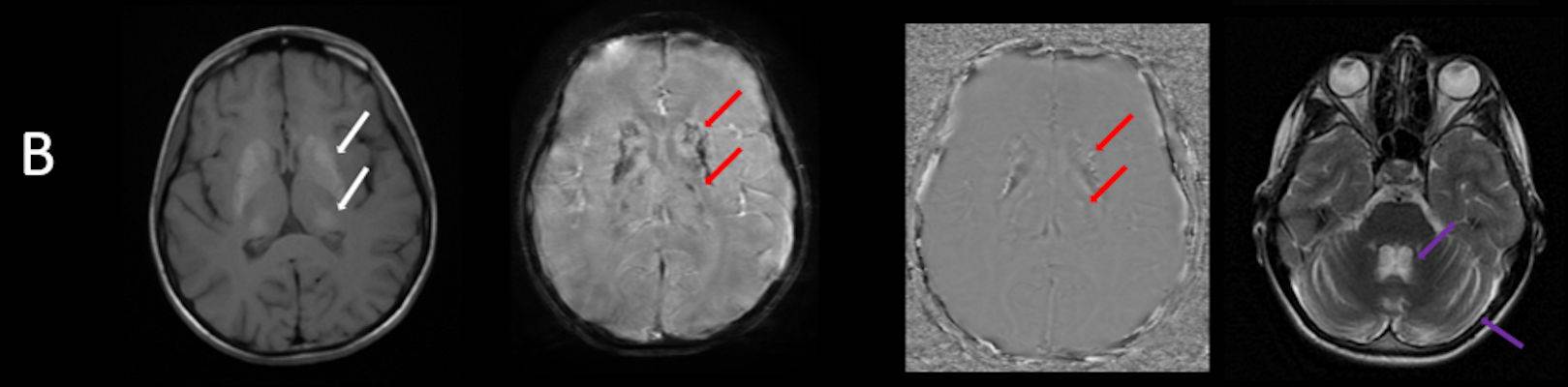
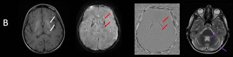
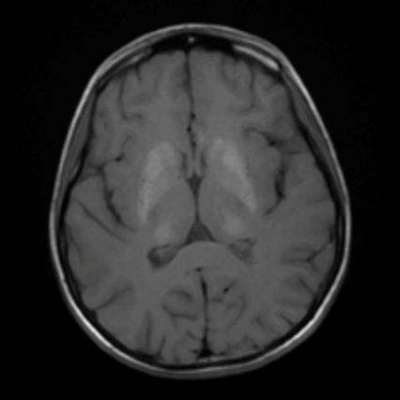
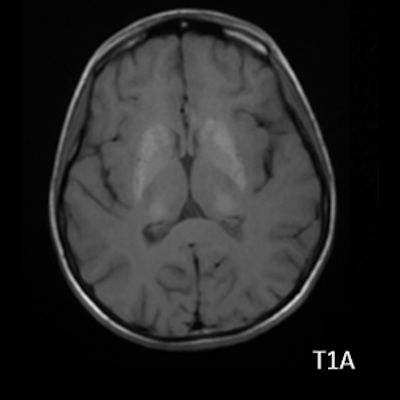
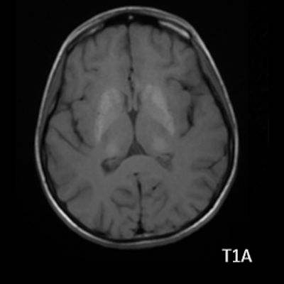
- B) Aksiyel T1A görüntülerde her iki lentiform ve kaudat nukleuslarda, talamuslarda simetrik hiperintensite (oklar) izleniyor. Bu düzeyde tariflenen sinyallerin SWI ve faz görüntülerde kalsifikasyon ile uyumlu olduğu görülmektedir (oklar). T2A görüntüde yaş ile uyumsuz serebellar atrofi ile uyumlu foliada derinleşme ve 4. ventrikül genişliğinde artış izlenmektedir (oklar).
- C) Multi-voksel TE 144 ms MR spektroskopide ters laktat piki izlenmektedir.
- Status epileptikus
- Viral ensefalit
- Serebral vaskülit
- İskemik inme
- MELAS
- Diğer mitokondrial hastalıklar (MERRF, Leigh sendromu, Kearns-Sayre sendromu)
MELAS
(Mitochondrial encephalomyopathy with lactic acidosis and stroke-like episodes)
MELAS
- MELAS mitokondriyal hastalıklar spektrumunda yer alan nörometabolik bir sendromdur. Mitokondrilerin kendi DNA’sı (mtDNA) bulunur ve maternal herediter bir hastalıktır.
- Klinik belirtiler en sık çocukluk–erken erişkinlik döneminde başlar.
MELAS çok değişken klinik bulgularla seyredebilir;
- Stroke-benzeri epizodlar (hemiparezi, hemianopsi vb.)
- Laktik asidoz
- Ensefalopati, nöbetler, migren benzeri baş ağrıları
- Kognitif bozulma / demans
- Miyopati
- Sensörinöral işitme kaybı
- Periferik nöropati görülebilir.
- Hastaların %80’inde m.3243A>G mutasyonu periferik kanda saptanabilir. Negatifse, diğer mtDNA mutasyonları için ileri testler veya kas biyopsisi gerekebilir.
- Hastamızın tanısı genetik olarak doğrulanmıştır.
Görüntüleme bulguları
- MELAS sendromunun radyolojik özellikleri, klasik iskemik inmeden farklı olarak vasküler sulama alanlarına uymayan ve migratuar stroke-benzeri lezyonlar ile karakterizedir.
- BT’de birden fazla lokalizasyonda multipl enfarkt benzeri odaklar ve özellikle ileri yaş hastalarda belirginleşen bazal gangliyon kalsifikasyonları izlenebilir. Lezyonlar çoğunlukla pariyeto-oksipital ve pariyeto-temporal bölgelerde yoğunlaşır ve serebral atrofi eşlik edebilir.
- MRG’de akut fazda T2/FLAIR hiperintensiteyle birlikte giral şişme ile karakterize enfarkt-benzeri lezyonlar ve subkortikal beyaz cevher tutulumu görülür. DWI’da artmış sinyal dikkat çekmekle birlikte ADC değerlerinin normal ya da hafif artmış olması, baskın sürecin vazojenik ödem olduğunu gösterir.
- Subakut dönemde kortikal laminar nekrozu temsil eden “Black toenail sign” bulgusu görülebilir.
- MR spektroskopide artmış laktat piki, hem lezyonlu bölgelerde hem de normal görünümlü parankimde mitokondriyal enerji bozukluğunu yansıtan önemli bir yardımcı bulgudur.
- Cheng W, Zhang Y, He L. MRI Features of Stroke-Like Episodes in Mitochondrial Encephalomyopathy With Lactic Acidosis and Stroke-Like Episodes. Front Neurol. 2022 Feb 9;13:843386.
- Wang Y & Le W. Progress in Diagnosing Mitochondrial Myopathy, Encephalopathy, Lactic Acidosis, and Stroke-Like Episodes. Chin Med J (Engl). 2015;128(13):1820-5
- Tetsuka S, Ogawa T, Hashimoto R, Kato H. Clinical Features, Pathogenesis, and Management of Stroke-Like Episodes Due to MELAS. Metab Brain Dis. 2021;36(8):2181-93.

