Ödüllü Olgu 51-3 (203)

Gelecek Haftanın Olgusu

Editör
Dr. Burçak Çakır Peköz
Sağlık Bilimleri Üniversitesi Adana Şehir Eğitim ve Araştırma Hastanesi
Radyoloji Anabilim Dalı
Ayın
ÖDÜLLÜ OLGU
Kazananı
Ayın ödüllü olgu kazananı tercihine göre 2025 TNRD Yıllık Kongresi’ne ya da tercihe göre Türk Nöroradyoloji-Türk Pediatrik Nöroradyoloji Diploma kurslarından birine KAYIT HAKKI kazanmıştır.

Zeynep Celile Elmacı Akın
Ondokuz Mayıs Üniversitesi

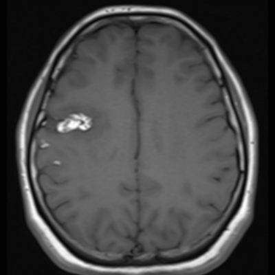
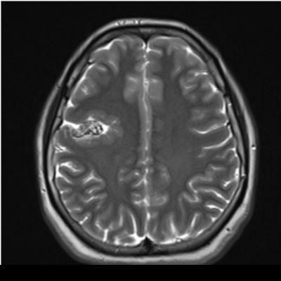
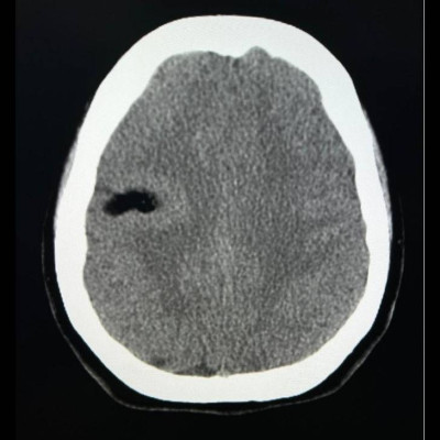
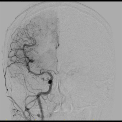
29 yaş, K
Baş ağrısı

Araş. Gör. Dr. Furkan KAVAK
Doç. Dr. Mehmet ONAY
Gaziantep Şehir Hastanesi
Radyoloji Anabilim Dalı


Lipomatöz menenjiom
Moyamoya
Heterotopik adipoz doku içeren arteriovenöz malformasyon ve eşlik eden açık tip şizensefali, polimikrogri
Kavernöz Malformasyon (Kavernom)
Dural avm
Şizensefali kleftinde gelişen kompleks gelişimsel malformasyon
Anjiolipom
Sağda frontalde dermoid kist ve posteriorunda rüptür ile uyumlu olabilecek t1 de milimetrik hiperintensiteler(yağ damlacığı)
Kortikal yerleşimli, muhtemelen tromboze sakküler anevrizma
Arteriyovenöz Malformasyon
AVM
AVMMM
Vasküler anomali, lipom, şizensefali ilişkili polimikrogri