Ödüllü Olgu 59-1 (233)

Gelecek Haftanın Olgusu

Editörler
Dr. Özlem Alkan
Dr. Rahşan Göçmen
Dr. Nursel Yurttutan
Dr. Anıl Özgür
Dr. Burçak Çakır Peköz
Ayın
ÖDÜLLÜ OLGU
Kazananı
Ayın ödüllü olgu kazananı tercihine göre 2025 TNRD Yıllık Kongresi’ne ya da tercihe göre Türk Nöroradyoloji-Türk Pediatrik Nöroradyoloji Diploma kurslarından birine KAYIT HAKKI kazanmıştır.

Ahmet Bozer
İzmir Şehir Hastanesi

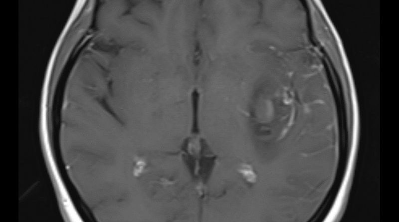
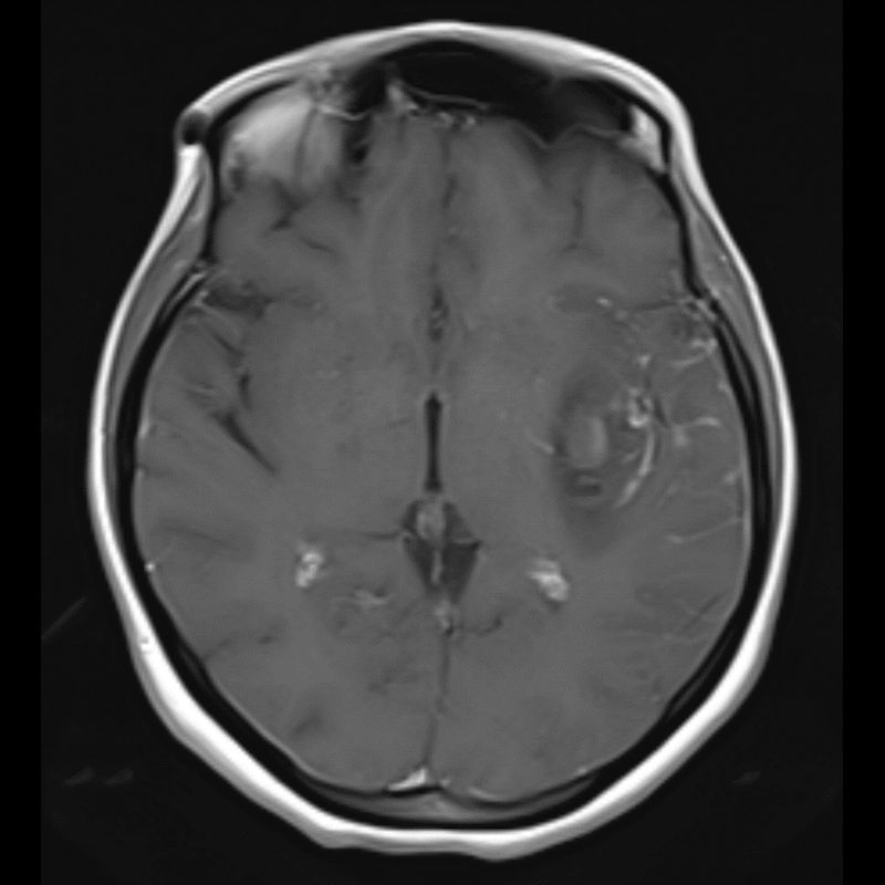
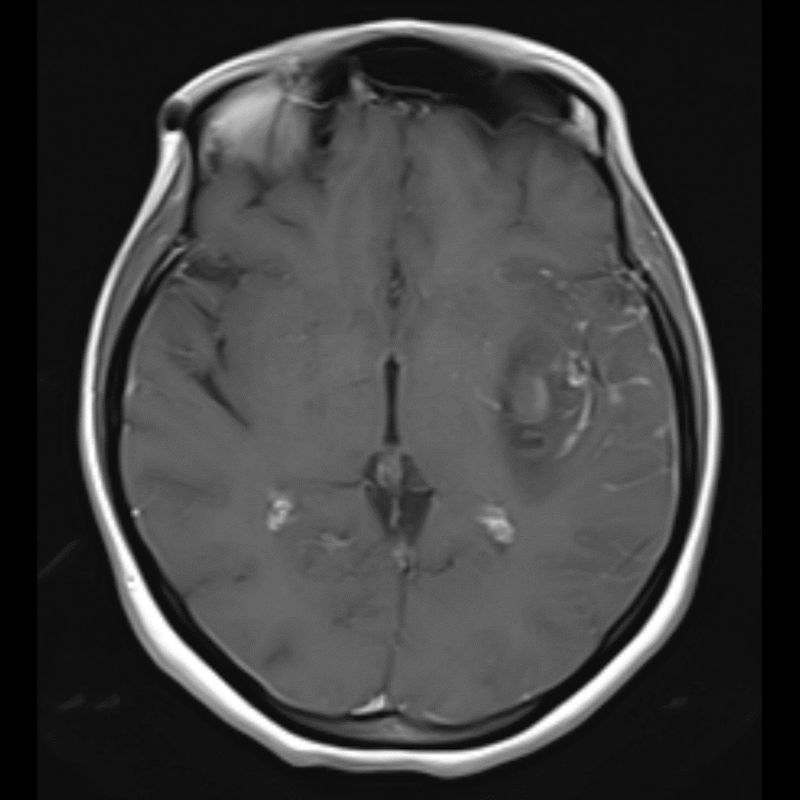
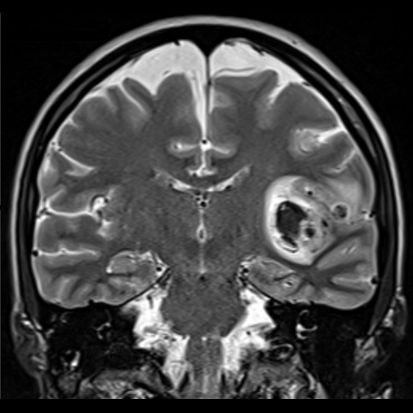
40 yaş, K
Ateş, bir haftadır artan baş ağrısı, yeni gelişen bilinç bulanıklığı

Arş. Gör. Dr. Ayşen Şansal Cömert
Prof. Dr. Anıl Özgür
Mersin Üniversitesi Tıp Fakültesi
Radyoloji Anabilim Dalı


Rüptüre mikotik anevrizma
Mikotik anevrizma
Mikotik anevrizma
Mikotik anevrizma
Enfekte mikotik anevrizma
Mikotik anevrizma
mikotik anevrizma
Mikotik serebral anevrizma (olası infektif endokardit zemininde)
MCA bifurkasyon anevrizma ve parankim hematom
Mikotik anevrizma
M2-3 düzeyinde mikotik anevrizma rüptürü
Sol MCA Segmet M2-3’te Sakküler Mikotik Anevrizma Rüptürü
mikotik anevrizma
Mikotik anevrizma
intrakraniyal enfekte anevrizma rüptürü
Enfekte intrakraniyal anevrizma rüptürü
Mikotik anevrizma
Mikotik anevrizma
enfektif anevrizma
Mikotik anevrizma
Rüptüre mikotik anevrizma
Arteriyovenöz malformasyon
Mitotik Anevrizma
Rüptüre mikotik anevrizma
İntrakranial mikotik anevrizma
Mitotik Anevrizma
Mikotik anevrizma
Mikotik anevrizma
Mikotik anevrizma
mikotik anevrizma