Haftanın Olgusu-232 (2 Mart 2026)

Haftanın Olgusu

Editörler
Dr. Özlem Alkan
Dr. Rahşan Göçmen
Dr. Nursel Yurttutan
Dr. Anıl Özgür
Dr. Burçak Çakır Peköz
2 Mart 2026
ÖyküYanıtlarBulgularAyırıcı TanıTanıTartışmaKaynaklar
77 Y, E
1 aydır sol kol ve bacakta güçsüzlük, konfüzyon
Enfeksiyon markerları negatif

Prof. Dr. Şenay Demir Kekeç
Başkent Üniversitesi
Adana Doktor Turgut Noyan Uygulama ve Araştırma Merkezi
Radyoloji AD
Olgu için verilen yanıtlar
- Yüksek dereceli glial tümör
- Diffüz infiltratif gliom
- Inflamatuar serebral amiloid anjiopati
- Venöz enfarkt
- Lenfoma
- Progressif multifokal lökoensefalopati
- Lemfomatozis serebri
- Glioblastoma
- Primer santral sinir sistemi vaskuliti
- Meningeoensefalit
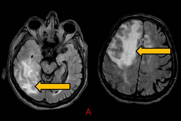
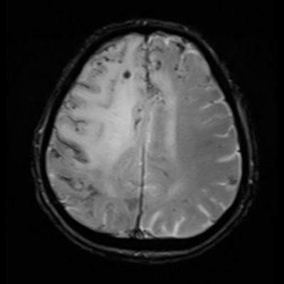
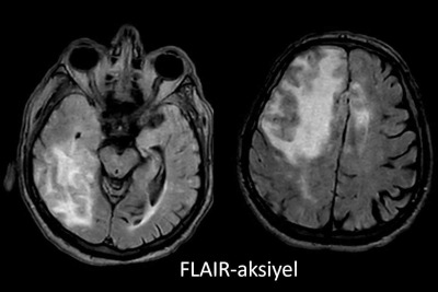
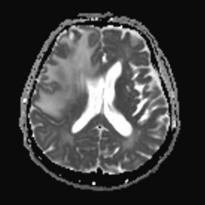
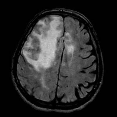
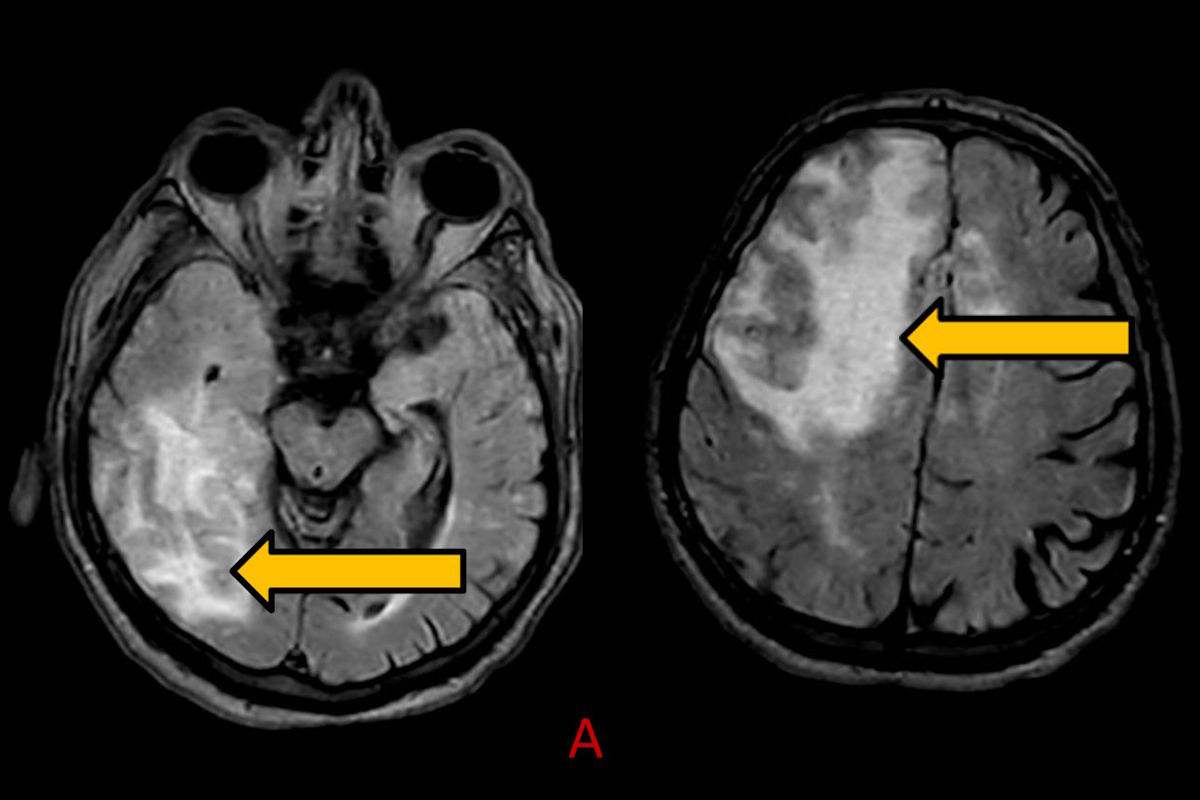
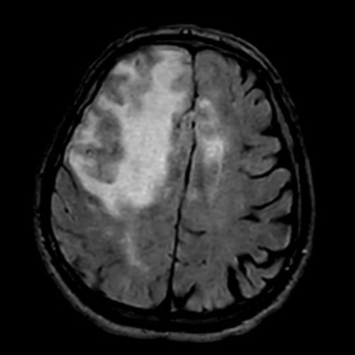
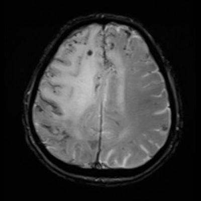
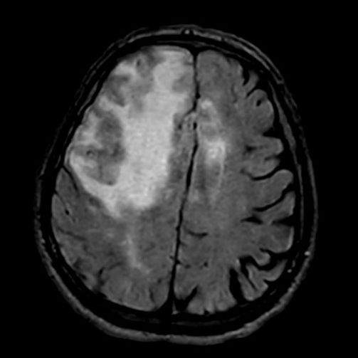
- A) Aksiyel planda FLAIR sekansta asimetrik kortiko-subkortikal vazojenik ödemi düşündüren yüksek sinyalli hafif ekspansil lezyonlar (turuncu ok).
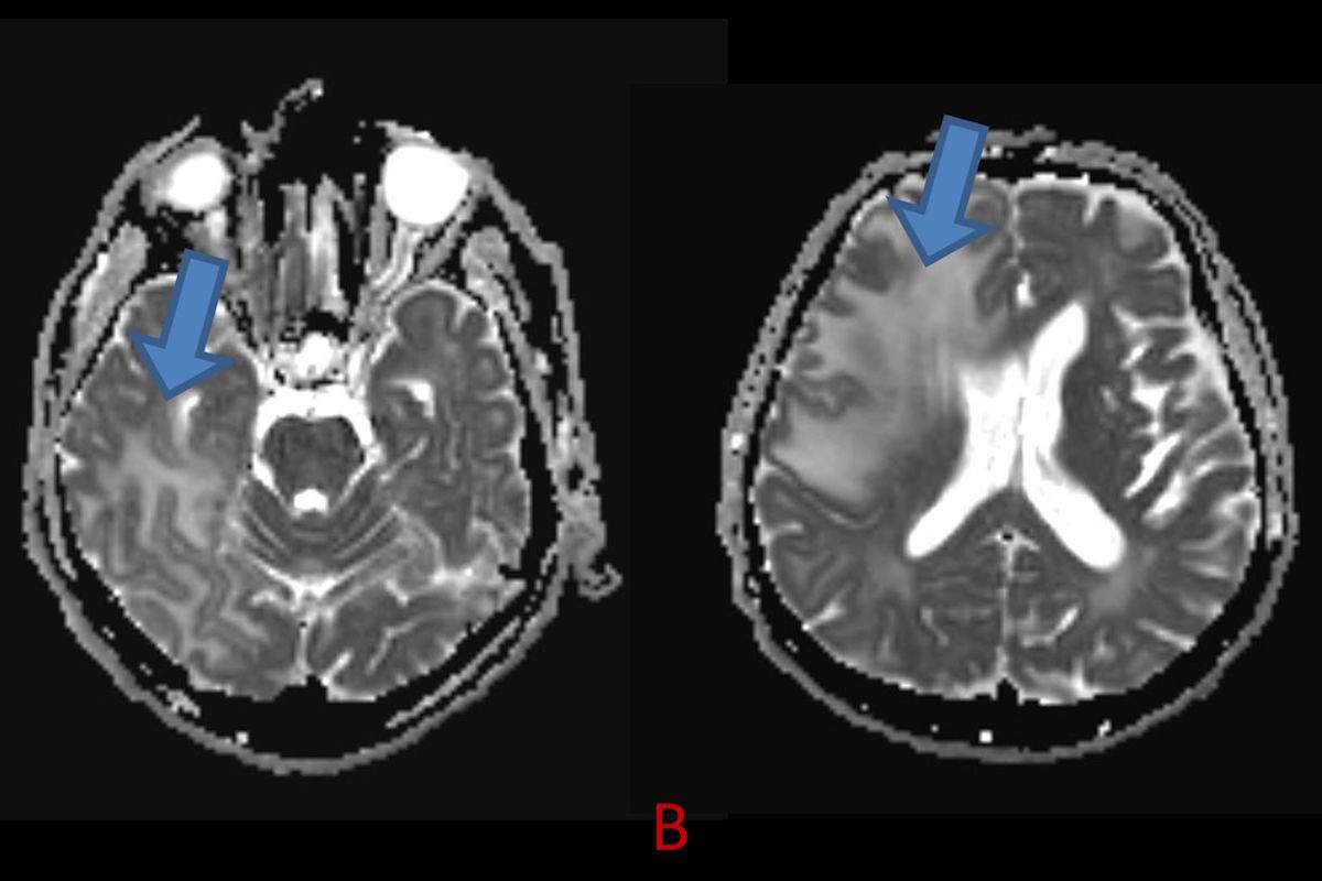
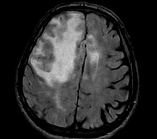
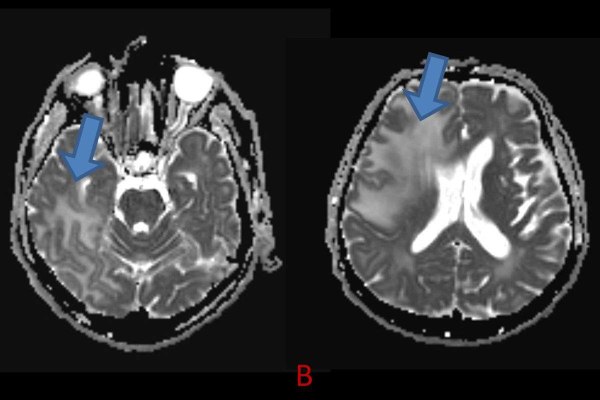
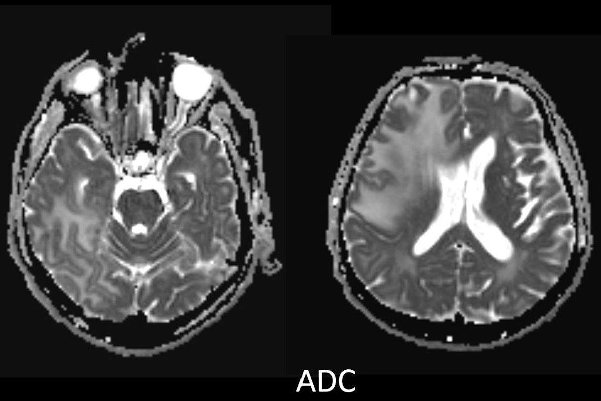
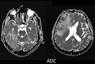
- B) ADC haritasında kolaylaşmış difüzyon (mavi ok).
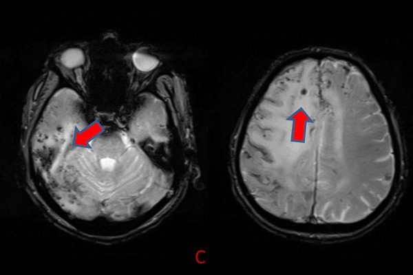
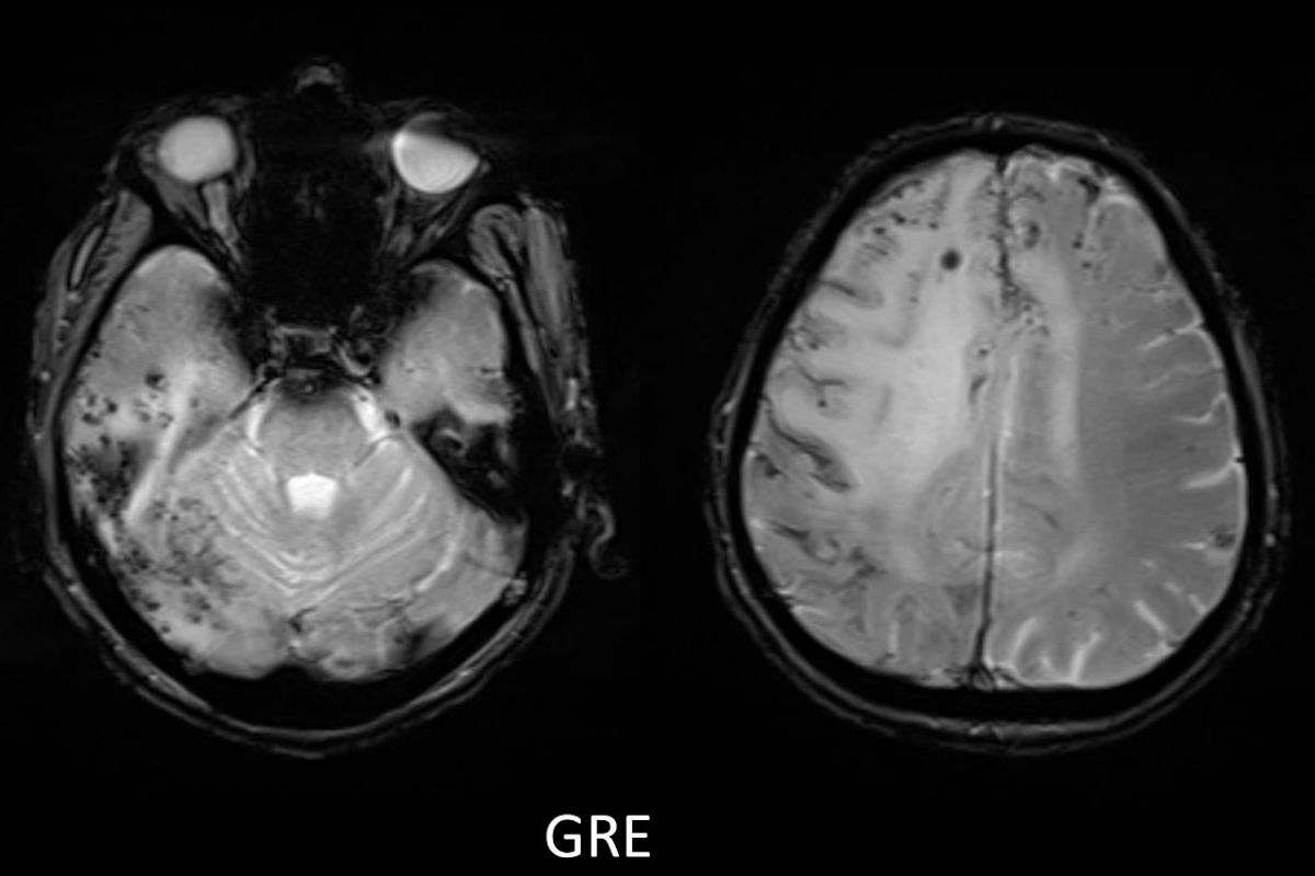
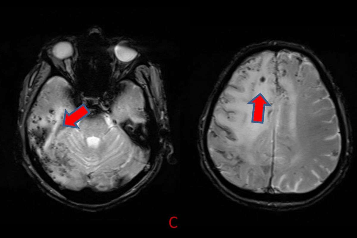
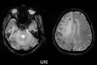
- C) Gradient seride milimetrik hemosiderin kalıntıları ve süperfisyal siderozis (kırmızı ok)
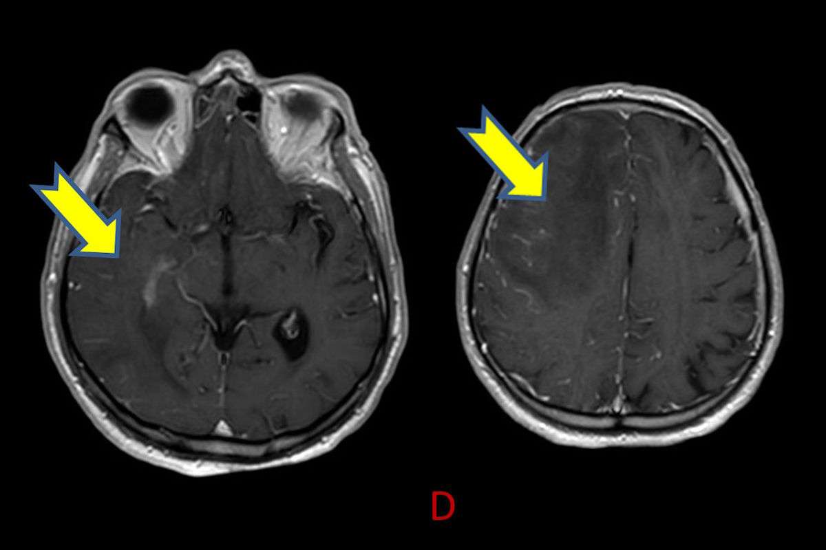
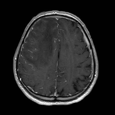
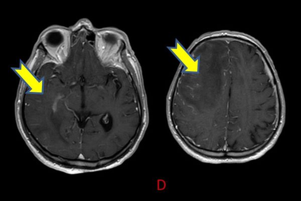
- D) Kontrastlı T1A sekansta hafif leptomeningeal boyanma (sarı ok).
- İnflamatuar amiloid anjiopati
- Primer SSS anjitis (PACNS)
- PRES
- Gliomatozis serebri
- ADEM
- Enfeksiyöz ensefalit
İnflamatuar Amiloid Anjiopati
(CAA-related inflammation)
İnflamatuar amiloid anjiopati
- CAA zemininde gelişen otoimmün vasküler inflamasyondur.
- Perivasküler veya transmural inflamasyon ile karakterizedir.
- Subakut başlangıçlı olup steroidlere dramatik yanıt verir.
- Difüzyon kısıtlılığının olmaması, leptomeningeal kontrastlanma, FDG-PET’te düşük aktivite, GRE sekansta yaygın hemosiderin kalıntılarının eşlik etmesi ile karakterizedir.
- BOS bulgularında protein yüksekliği, lökosit varlığı ve beta-amilod’e karşı oluşan otoantikorlar gösterilebilir.
- 40 yaş üzeri bilinç bozukluğu, davranış değişikliği, fokal nörolojik bulgular, bulguların akut intrakraniyal kanama ile doğrudan ilişkilendirilmemesi, subkortikal beyaz cevhere uzanan asimetrik unifokal ya da multifokal kortiko-subkortikal ödemli lezyonlara serebral mikro/makrokanama, superfisiyal siderozisin eşlik etmesi halinde mutlaka düşünülmelidir.
- Erken tanı ve immünsüpresyon prognozu belirgin iyileştirir.
Radyolojik olarak AT
- PACNS: Derin gri cevher ve damar daralmaları
- PRES: Simetrik posterior ödem
- Gliomatozis: İnfiltratif progresyon,
ile karakterizedir. - ADEM ve enfeksiyöz ensefalit klinik olarak çok farklıdır.
- Chung KK, Anderson NE, Hutchinson D, et al. Cerebral amyloid angiopathy related inflammation: three case reports and a review. Journal of Neurology, Neurosurgery & Psychiatry 2011;82:20-26.
- Auriel, Eitan, and Steven Mark Greenberg. “The pathophysiology and clinical presentation of cerebral amyloid angiopathy.” Current atherosclerosis reports 14.4 (2012): 343-350.
- Scolding, Neil J, Kirby PA, et al. “Aβ-related angiitis: primary angiitis of the central nervous system associated with cerebral amyloid angiopathy.” Brain 128.3 (2005): 500-515.

