Haftanın Olgusu-233 (9 Mart 2026)

Haftanın Olgusu

Editörler
Dr. Özlem Alkan
Dr. Rahşan Göçmen
Dr. Nursel Yurttutan
Dr. Anıl Özgür
Dr. Burçak Çakır Peköz
9 Mart 2026
ÖyküYanıtlarBulgularAyırıcı TanıTanıTartışmaKaynaklar
40 yaş, K
Ateş, bir haftadır artan baş ağrısı, yeni gelişen bilinç bulanıklığı

Arş. Gör. Dr. Ayşen Şansal Cömert
Prof. Dr. Anıl Özgür
Mersin Üniversitesi Tıp Fakültesi
Radyoloji Anabilim Dalı
Olgu için verilen yanıtlar
- Mikotik anevrizma
- Rüptüre mikotik anevrizma
- Enfekte mikotik anevrizma
- Mikotik anevrizma (olası infektif endokardit zemininde)
- Sakküler anevrizma
- Anevrizma ve parankimal hematom
- Arteriyovenöz malformasyon
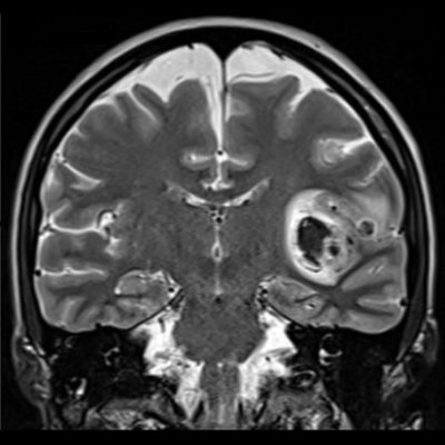
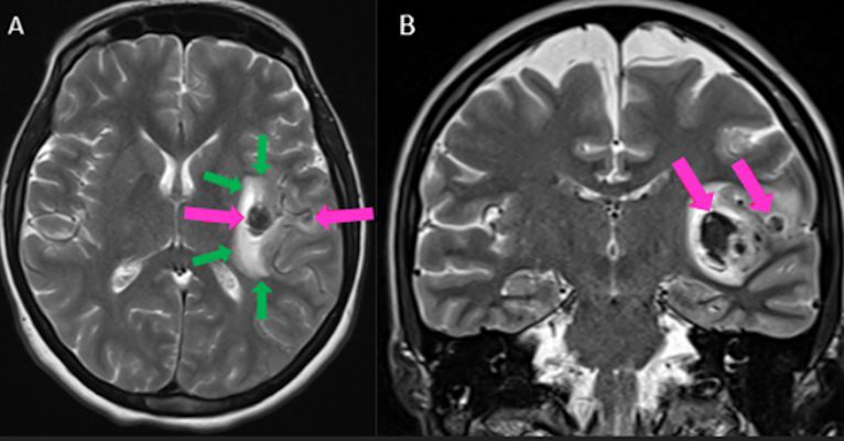
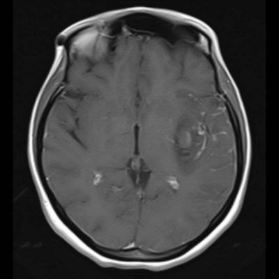
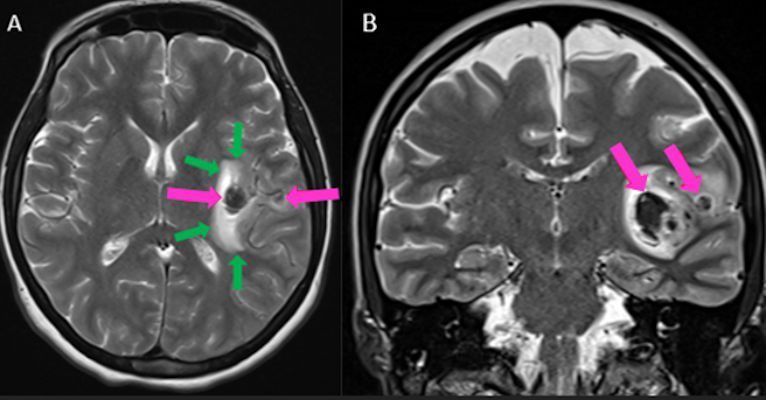
- Aksiyel (A) ve koronal (B) T2A görüntülerde sol insüler bölgede MCA M2 segmenti düzeyinde nodüler düşük sinyalli alanlar (oklar) ve vazojenik ödem ile uyumlu hiperintens alanlar (yeşil oklar) izleniyor.
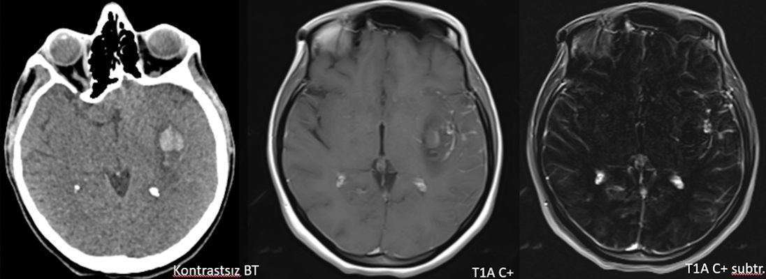
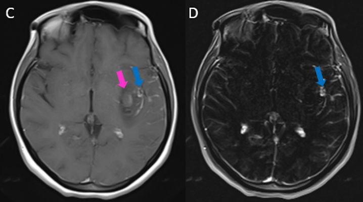
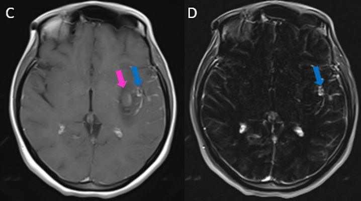
- Kontrastlı T1A görüntüde (C) ve kontrastlı T1A çıkarma görüntüde (D) medialde bulunan alanda kontrastlanma izlenmezken (ok), lateralde bulunan boyutça daha küçük alanda kontrastlanma izleniyor (ok). Ayrıca anevrizma komşuğunda silvian fissürde leptomeningeal kontrastlanma görülüyor.
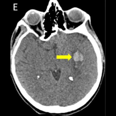
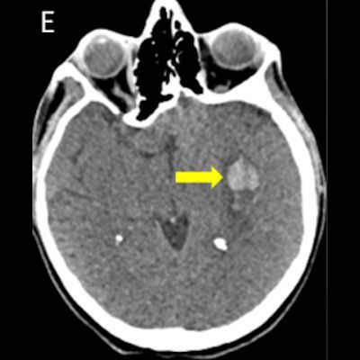
- Kontrastsız BT görüntülemede (E) bu düzeyde intraparankimal kanama ile uyumlu hiperdens alan gözleniyor (ok).
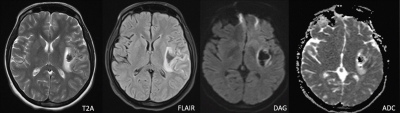
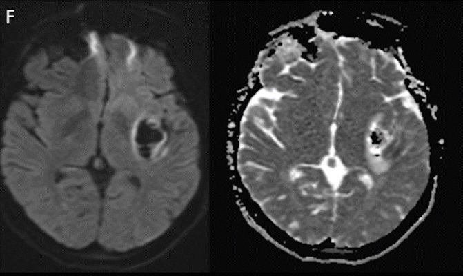
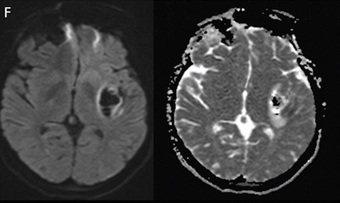
- Difüzyon ağırlıklı görüntülemede (F) difüzyon kısıtlanması izlenmiyor.
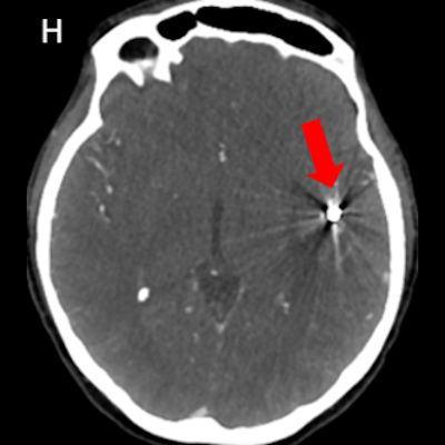
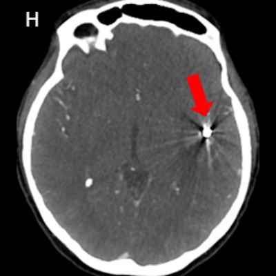
- DSA görüntülemede (G) sol MCA M2 segmentinde anevrizmatik dolum fazlalığı izleniyor (ok). Bu anevrizmaya eş zamanlı koil işlemi yapılıyor (oklar) ve işlem sonrası kontrol BT anjiografi görüntüsünde (H) metalik koil materyali izleniyor (ok).
- Sakküler beyin anevrizması (berry anevrizması)
- Serebral apse
- Serebral hemorajik infarkt
- Serebral mikotik anevrizma
- Serebral metastaz
Serebral mikotik anevrizma
Serebral mikotik anevrizma
- Serebral mikotik anevrizma (SMA), damar çeperinin bakteriyel, fungal veya viral patojenlerle enfeksiyonu sonucu oluşur.
- İntrakraniyal anevrizmaların %5’inden daha azını oluşturur.
- Enfektif endokarditin iyi bilinen bir komplikasyonu olup septisemi, HIV/AIDS tanılı hastalarda, IV ilaç bağımlısı olan hastalarda da görülebilir.
- Enfektif endokardit tanılı hastaların yaklaşık % 1-10’unda SMA görülürken, SMA bulunan hastaların yaklaşık %65’inde enfektif endokardit tanısı bulunmaktadır. Hastamız enfektif endokardit olarak tanı almıştır.
- Ateş, kilo kaybı, baş ağrısı ve geçici fokal nörolojik defisitler izlenebilir.
- Kontrastsız bilgisayarlı tomografi (BT) tetkikinde anevrizma komplikasyonları (subaraknoid kanama vb.) görüntülenebilirken kontrastlı BT anjiografi tetkikiyle anevrizma gösterilebilir. Manyetik rezonans görüntüleme (MRG), BT’ye göre daha sensitif olup duyarlılık ağırlıklı görüntüler kanamayı gösterebilir. Dijital subtraksiyon anjiografi (DSA) altın standart tanı yöntemi olup DSA’da 3 mm’ye kadar küçük anevrizmalar saptanabilir.
- Mikotik anevrizmalar, berry anevrizmalara göre daha distalde yerleşim eğiliminde olurlar ancak leptomeningeal kontrastlanma/enfeksiyon varlığında proksimal yerleşim görülebilir.
- Rüptüre olmamış, hemodinamik olarak stabil ve küçük anevrizmalarda sadece antibiyotikle konservatif yaklaşım uygulanabilir. Olgumuzda da olduğu gibi antibiyotik tedavisine rağmen mikotik anevrizmada rüptür/kanama gelişirse veya boyut artışı izlenirse minimal invaziv tedavi veya cerrahi tedavi ihtiyacı doğar.
- Endovasküler tedavi yöntemleri arasında anevrizma koilleme, parent arter oklüzyonu ve embolizan ajanlar bulunur. Minimal invaziv olması, hızlı kanama kontrolü sağlanması ve cerrahiye göre daha az invaziv olması avantajlarıdır.
- Cerrahi tedavi yöntemleri arasında anevrizma klipleme, parent arter ligasyonu, anevrizma rezeksiyonu gibi seçenekler bulunur.
- Allen LM, Fowler AM, Walker C, et. al Cross DT 3rd, Moran CJ. Retrospective review of cerebral mycotic aneurysms in 26 patients: focus on treatment in strongly immunocompromised patients with a brief literature review. AJNR Am J Neuroradiol. 2013 Apr;34(4):823-7. doi: 10.3174/ajnr.A3302. Epub 2012 Oct 11. PMID: 23064596; PMCID: PMC7964493.
- Ducruet AF, Hickman ZL, Zacharia BE, et al. Intracranial infectious aneurysms: a comprehensive review. Neurosurg Rev. 2010 Jan;33(1):37-46. doi: 10.1007/s10143-009-0233-1. Epub 2009 Oct 16. PMID: 19838745.
- Zanaty M, Chalouhi N, Starke RM, et al. Endovascular treatment of cerebral mycotic aneurysm: a review of the literature and single center experience. Biomed Res Int. 2013;2013:151643. doi: 10.1155/2013/151643. Epub 2013 Dec 9. PMID: 24383049; PMCID: PMC3872026.

