Ödüllü Olgu 59-2 (234)

Gelecek Haftanın Olgusu

Editörler
Dr. Özlem Alkan
Dr. Rahşan Göçmen
Dr. Nursel Yurttutan
Dr. Anıl Özgür
Dr. Burçak Çakır Peköz
Ayın
ÖDÜLLÜ OLGU
Kazananı
Ayın ödüllü olgu kazananı tercihine göre 2025 TNRD Yıllık Kongresi’ne ya da tercihe göre Türk Nöroradyoloji-Türk Pediatrik Nöroradyoloji Diploma kurslarından birine KAYIT HAKKI kazanmıştır.

Ahmet Bozer
İzmir Şehir Hastanesi

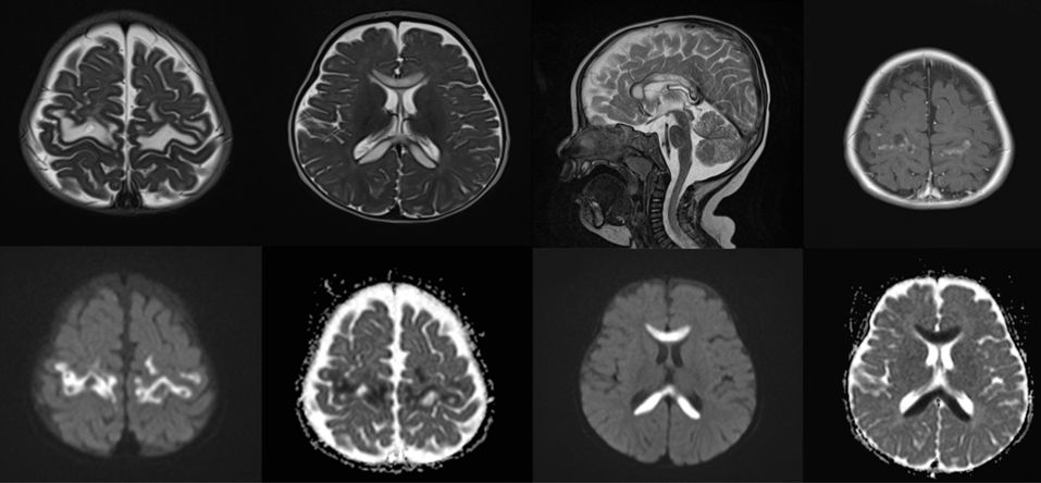
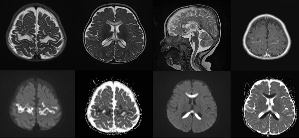
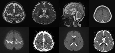
1 yaş erkek, hipotoni, beslenme güçlüğü ve gelişimsel gerilik

Arş. Gör. Dr. Ilgın Karaali
Prof. Dr. Anıl Özgür
Mersin Üniversitesi Tıp Fakültesi
Radyoloji Anabilim Dalı


Myotonic distrofi
Hipoksik iskemik ensefaltopati
Akçaağaç şurubu idrar hastalığı (MSUD)
POLG ilişkili mitokondriyal hastalık spektrumu
PolG ilişkili hastalık ( mitokondriyal)
MSUD (Akçaağaç Şurubu Hastalığı)
polg related disorders
Lizensefali(pakigria spektrumu)
POLG ilişkili hastalıklar
Alpers Sendromu (Polg mutasyonu)
Pelizaeus-Merzbacher hastalığı
POLG- related disorder
POLG ilişkili mitokondrial hastalık
Molibden Kofaktör Eksikliği
Üre siklus defekti
Hipoksik iskemik beyin hasarı
Akçaağaç şurubu idrar hastalığı (MSUD)
Alpers-Huttenlocher sendromu (POLG ilişkili mitokondriyal hastalık)
POLG-related disorder
MSUD
POL-G İlişkili Mitokondriyal Hastalık
krabbe hastalığı
POLG-related disorder
Tümefaktif ms lezyonları