Haftanın Olgusu-207 (8 Eylül 2025)

Haftanın Olgusu

Editör
Dr. Burçak Çakır Peköz
Sağlık Bilimleri Üniversitesi Adana Şehir Eğitim ve Araştırma Hastanesi
Radyoloji Anabilim Dalı
8 Eylül 2025
ÖyküYanıtlarBulgularAyırıcı TanıTanıTartışmaKaynaklar
16 yaş, E
Baş dönmesi

Araş. Gör. Dr. Cansu Tekin Abuş
Doç. Dr. Burçak Çakır Peköz
SBÜ, Adana Şehir Eğitim ve Araştırma Hastanesi
Radyoloji Anabilim Dalı
Olgu için verilen yanıtlar
- Herpes simpleks ensefaliti (4 kişi)
- Glial tümör (2 kişi)
- Düşük dereceli gliom
- Difüz astrositom
- DNET
- Limbik ensefalit
- Meckel cave menenjiomu
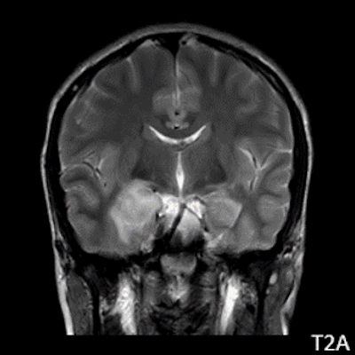
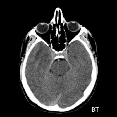
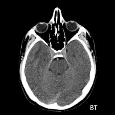
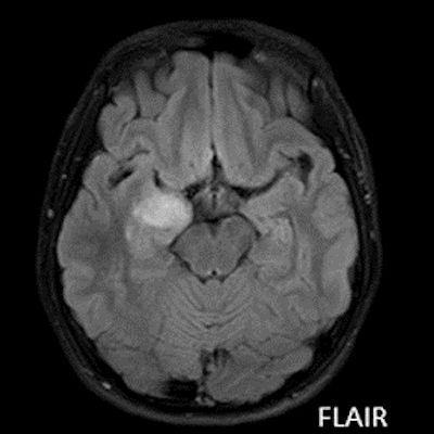
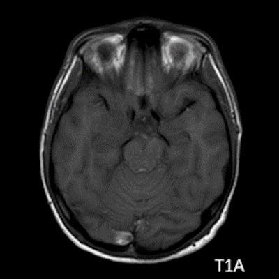
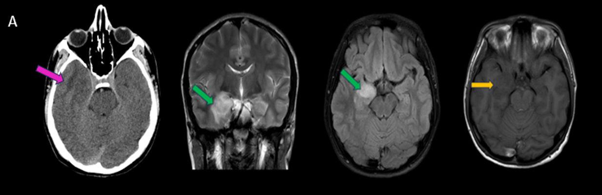
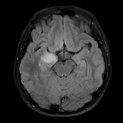
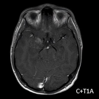
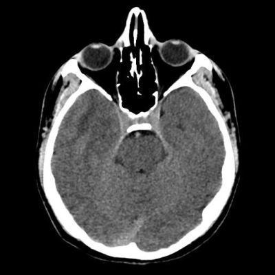
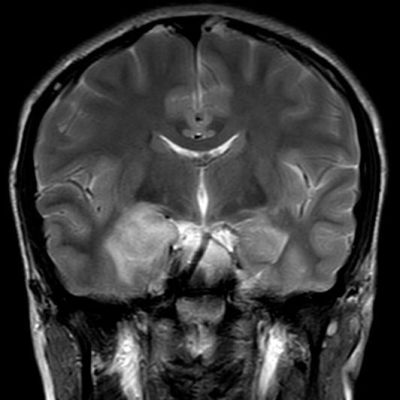
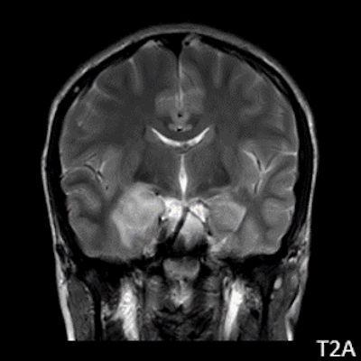
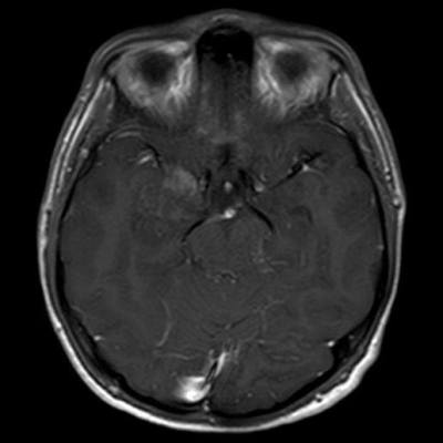
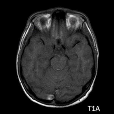
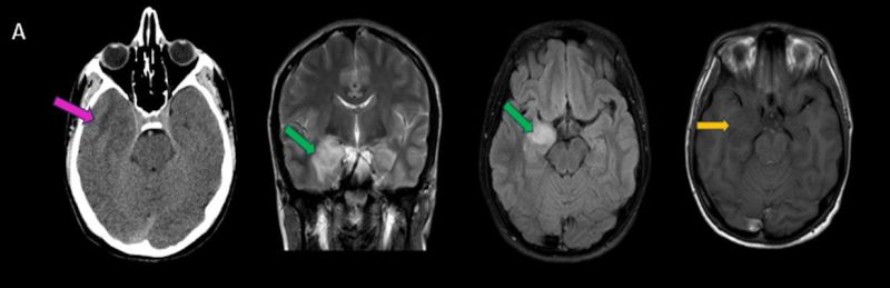
- A) Sağ temporal lob anteromedialinde silik sınırlı BT’de hipodens (ok), MRG’de T2AG ve FLAIR hiperintens (oklar), T1AG izo-hipointens (ok) sinyal özelliğinde ekspansil kitlesel lezyon izlenmektedir.
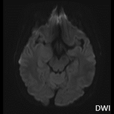
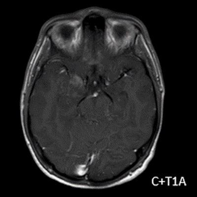
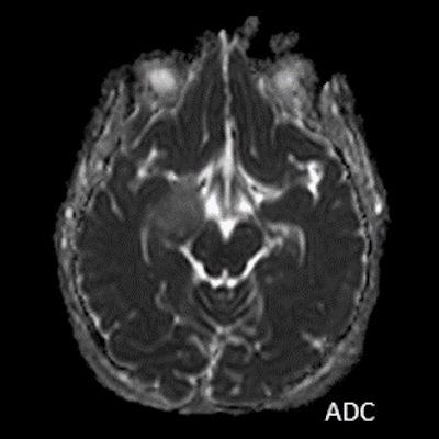
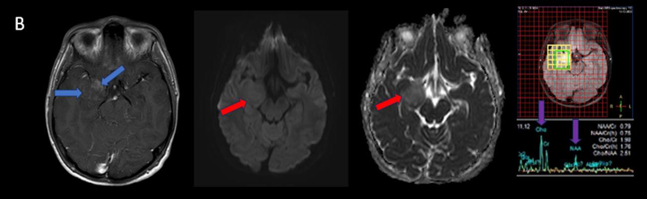
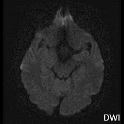
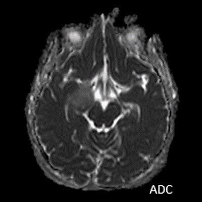
- B) Lezyon difüzyon görüntüde izo-hiperintens, ADC haritalamada hafif hiperintens izlenmiş olup (oklar) diffüzyon kısıtlılığı göstermemektedir. Lezyonun anterior kesiminde kontrastlı serilerde yamalı kontrast tutulumları (oklar) mevcuttur. MR spektroskopide lezyon düzeyinden elde olunan multivoksel görüntülerde kolin pikinde artış ve NAA da azalma (oklar) dikkati çekmektedir. Kolin/kreatinin oranı 1.76 olarak ölçülmüştür.
- Gangliogliom
- Disembriyoplastik Nöroepitelyal Tümör (DNET)
- Oligodendrogliom
- Pleomorfik ksantoastrositom
- Pilositik astrositom
Gangliogliom (grade 1)
Gangliogliom
- Gangliogliomlar, nadir görülen, genellikle düşük dereceli santral sinir sistemi tümörleridir. Uzun süreli epilepsiyle ilişkili tümörler olarak kabul edilirler ve tedaviye dirençli epilepsi yaygın bir klinik tablosudur. Bu tümörler çoğunlukla temporal loblarda görülür, ancak santral sinir sisteminin diğer bölgelerinde de görülebilir.
- Genellikle çocuklar ve genç erişkinler etkilenir ve cinsiyete bağlı bir ayrım söz konusu değildir.
- En sık görülen klinik tablo temporal lob epilepsisidir. Çoğunluğu yavaş progresyon gösterir ve WHO- SSS tümörlerinin 2021 sınıflandırmasında grade 1 tümörler olarak belirlenmiştir, ancak olguların bir kısmında (%5) daha yüksek dereceli özellikler mevcuttur.
- Lokal rezeksiyon tercih edilen tedavi yöntemidir ve prognozu belirler. Tam rezeksiyon ile prognoz oldukça iyidir.
Görüntüleme Bulguları:
- Görüntüleme bulguları değişkendir.
- Olguların %45’inde kontrast tutan bir mural nodül ile birlikte kısmen kistik bir kitle görülür.
- Girusu genişleten solid bir kitle olarak da ortaya çıkabilirler.
- Kontrast tutulumu da değişkenlik gösterebilmektedir.
- BT: Spesifik olmayan kitle bulgularıdır. İzo-hipodens olarak izlenir. Kitle %35 oranında kalsifikasyon gösterebilir. Olgumuzda kalsifikasyon izlenmemiştir. Kemik remodelasyonu da eşlik edebilir.
- MRG: T1A serilerde solid komponent izo-hipointens, T2A serilerde genellikle hiperintens sinyalde görülür. Peritümöral T2/FLAIR hiperintens kitle ödemi oldukça nadirdir. T1 C+ görüntülerde solid komponentte değişken oranda kontrastlanma ,T2*(SWI) serilerde eğer kalsifikasyon eşlik etmekteyse buna bağlı blooming artefaktları görülebilir.
- Olgumuzda tanı histopatolojik olarak doğrulanmıştır.
- Provenzale J, Ali U, Barboriak D, Kallmes D, Delong D, McLendon R. Comparison of Patient Age with MR Imaging Features of Gangliogliomas. AJR Am J Roentgenol. 2000;174(3):859-62. doi:10.2214/ajr.174.3.1740859
- An imaging review of the hippocampus and its common pathologies Min Lang , Samantha Colby , Christian Ashby-Padial , Monika Bapna , Camilo Jaimes , Sandra P Rincon , Karen Buch 2024 Jan-Feb;34(1):5-25 Epub 2023 Oct 23. PMID: 37872430 DOI: 10.1111/jon.13165
- Multifocal Intracranial Ganglioglioma in a Sexagenarian: Case Report and Review of the Current Literature. Mansour S, Luther E, Eichberg DG, Shah A, Echeverry N, Humayun Gultekin S, Ivan M, Komotar R. World Neurosurg. 2020 Jun;138:498-503. doi: 10.1016/j.wneu.2019.12.084. Epub 2019 Dec 24. PMID: 31877395
- Major Changes in 2021 World Health Organization Classification of Central Nervous System Tumors Ryo Kurokawa , Mariko Kurokawa , Akira Baba , Yoshiaki Ota , Emile Pinarbasi , Sandra Camelo-Piragua , Aristides A Capizzano , Eric Liao , Ashok Srinivasan , Toshio Moritani 2022 Sep-Oct;42(5):1474-1493. Epub 2022 Jul 8. PMID: 35802502 DOI: 10.1148/rg.210236
- Osborn AG. Essentials of Osborn’s Brain Philadelphia:Elsevier,2020. p1666-1669

