Ödüllü Olgu 52-4 (208)

Gelecek Haftanın Olgusu

Editör
Dr. Burçak Çakır Peköz
Sağlık Bilimleri Üniversitesi Adana Şehir Eğitim ve Araştırma Hastanesi
Radyoloji Anabilim Dalı
Ayın
ÖDÜLLÜ OLGU
Kazananı
Ayın ödüllü olgu kazananı tercihine göre 2025 TNRD Yıllık Kongresi’ne ya da tercihe göre Türk Nöroradyoloji-Türk Pediatrik Nöroradyoloji Diploma kurslarından birine KAYIT HAKKI kazanmıştır.

Elif Öykü Yeşiloğlu
Koç Üniversitesi Hastanesi

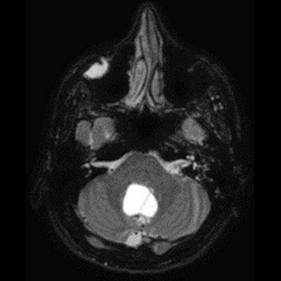
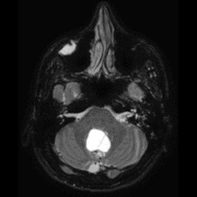
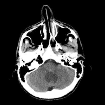
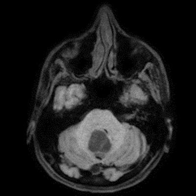
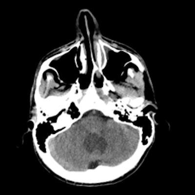
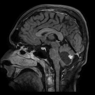
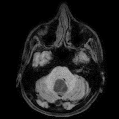
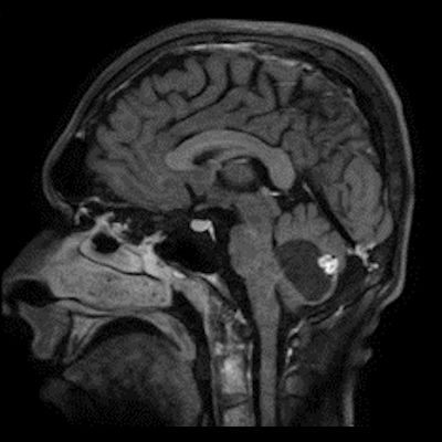
24 yaş, E
Baş ağrısı

Araş. Gör. Dr. Kübra Karaaslan Erişen
Doç. Dr. Burçak Çakır Peköz
SBÜ, Adana Tıp Fakültesi, Adana Şehir Hastanesi
Radyoloji Anabilim Dalı


Heamangiblastom
Hemangioblastom
4.ventrikül tabanına oturmuş posterior fossada hemanjioblastoma
Hemanjioblastom
bilateral vestibuler schwannoma ve kist duvarı kontrastlanmaması nedeniyle hemangioblastom ancak yeri itibariyle pilositik astrositom ayırıcı tanısı
Pilositik Astrositom
Hemangioblastoma
Pilositik astrositom
Pilositik astrositom
Pilositik astrositom
Hemanjiyoblastom
Hemanjioblastom
hemanjiyoblastom
Hemanjioblastom
Kistik menenjiom
PİLOSİTİK ASTROSİTOMA
pilositik astrositom