Haftanın Olgusu-239 (20 Nisan 2026)

Haftanın Olgusu

Editörler
Dr. Özlem Alkan
Dr. Rahşan Göçmen
Dr. Nursel Yurttutan
Dr. Anıl Özgür
Dr. Burçak Çakır Peköz
20 Nisan 2026
ÖyküYanıtlarBulgularAyırıcı TanıTanıTartışmaKaynaklar
11 ay, K
Nöbet

Dr. Öğr. Üyesi Gözde Özer
Doç. Dr. Rahşan Göçmen
Hacettepe Üniversitesi Tıp Fakültesi
Radyoloji Anabilim Dalı
- Sarsılmış Bebek Sendromu (Shaken Baby Syndrome)
- Çocuk İstismarı
- Kaza Dışı Yaralanma (Non-accidental Trauma / NAI)
- Bebekte İstismara Bağlı Kafa Travması, Köprüleşen Ven Trombozu
- Kurbağa Yavrusu İşareti
- Bilateral Farklı Evrelerde Subdural Hematom (Child Abuse)
- Rickets
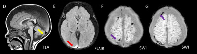
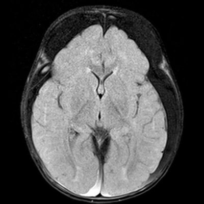
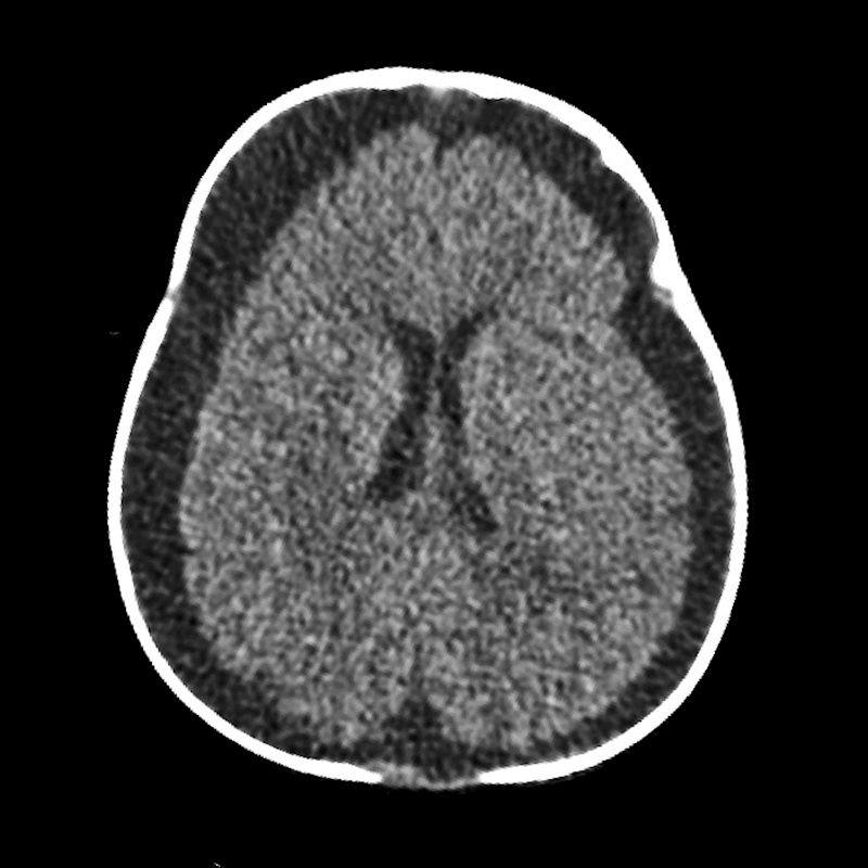
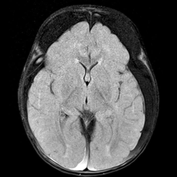
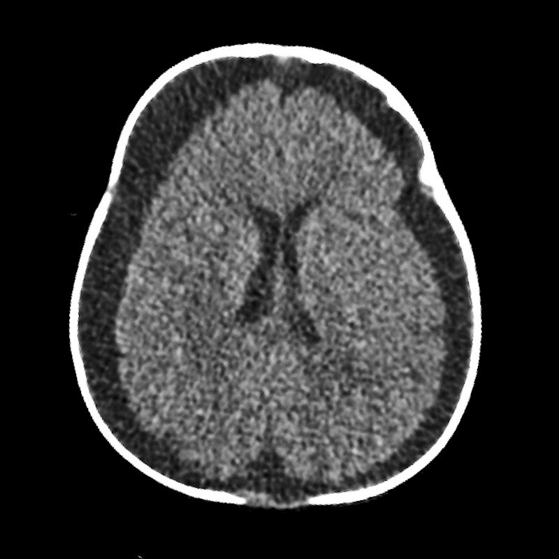
- A) Bilateral serebral konveksitede subdural higroma
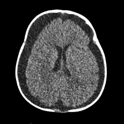
- B) Kemik pencerede frontal kemikte sağda nondeplase kırık
- C) Süturlarda ayrışma
- D) Posteriyor fossada subdural hemoraji
- E) Subdural hematohigroma ile uyumlu yoğun içerikli bileşenler
- F) Verteks düzeyinde lolipop/iribaş (tadpole) işareti
- G) Verteks düzeyinde köprü ven trombozuna/yaralanmasına ait duyarlılık artefaktı
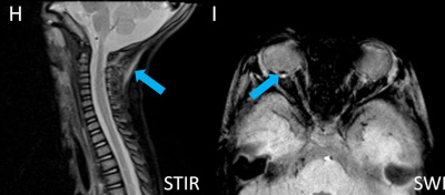
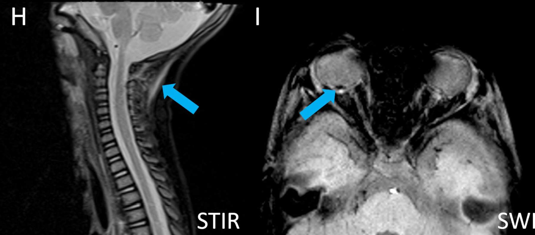
- H) Nukal bağda yaralanma lehine T2 sinyal artışı
- I) Sağ bulbus okulide retinal hemoraji
- İstismara bağlı kafa travması
- Travmatik yaralanma
- Benign genişlemiş subaraknoid mesafeler (BESS)
- Serebral sinus ven trombozu
- Glutarik asidüri Tip-1
İstismara Bağlı Kafa Travması
- Sarsılmış bebek sendromu veya kaza dışı travma olarak da adlandırılır. İstismara bağlı kafa travması için en yüksek riskli yaş grubu, yenidoğanlar ve iki yaşın altındaki çocuklardır. İstismar ilişkili kafa travmasının gerçek sıklığını belirlemek zor olsa da, yaklaşık olarak 1 yaş altındaki her 100.000 çocukta 30 olgu görülür ve bu oran yaşla birlikte azalır.
- Semptomlar nonspesifik olup; hafif vakalarda huzursuzluk, iştahsızlık ve halsizlik görülürken, ağır vakalarda nöbet, apne, kusma ve koma hali gelişebilir. Vakaların yaklaşık üçte birine ilk başvuruda tanı konulamadığı bildirilmiştir.
- Yaralanma genellikle sarsılmaya bağlıdır; bu süreçte hiperfleksiyon, hiperekstansiyon ve rotasyonel kuvvetler rol oynar. Daha nadiren ise darbe ile oluşan travma bulguları da görülebilir.
- Yenidoğanlarda ve küçük bebeklerde, kranyumun vücuda göre büyük olması, boyun kaslarının zayıflığı, ince ve esnek kafatası ile yüksek su içerikli, miyelinizasyonu tamamlanmamış beyin yapısı kraniyal yaralanma riskini artırır. Ayrıca kraniyovertebral bileşkenin yapısal özellikleri ve bağların gevşek yapısı, özellikle rotasyonel yaralanmalara yatkınlık oluşturur.
- Olgumuzun tanısı; öyküsü, klinik ve radyolojik bulguları değerlendirilerek Çocuk İstismarı Değerlendirme, Araştırma ve Tedavi Komisyonu (ÇİDAT) kararı ile konulmuştur.
Görüntüleme Bulguları
- İstismara bağlı kafa travmasında en sık saptanan radyolojik bulgular:
- Subdural hematom: En sık görülen radyolojik bulgudur, vakaların %83-90’ında saptanır. Genellikle bilateraldir ve farklı yaşlarda hemorajik elemanlar içerir.
- Subaraknoid kanama: Hastaların yaklaşık %30’unda saptanır. En sık frontal, parietal ve temporal bölgelerde görülür ve sıklıkla birden fazla bölgeyi ilgilendirir.
- Subdural higroma: Araknoid yırtıklara bağlı gelişir. Köprü ven yaralanması ile birlikte olduğunda hemorajik bileşenler içerebilir (hematohigroma).
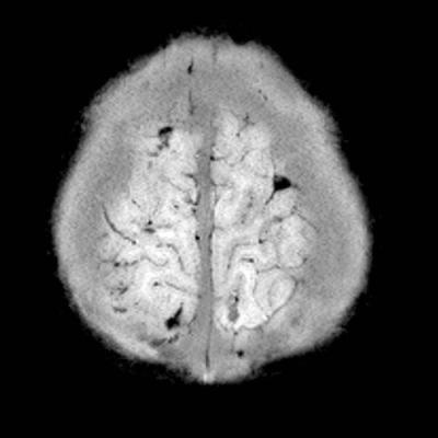
- Hipoksik-iskemik yaralanma: Vakaların yaklaşık üçte birinde görülür ve prognozu en kötü olan bulgudur.
- Köprü ven trombozu: Manyetik duyarlılık görüntülemede, kortikal ven trasesinde duyarlılık artefaktı olarak ya da “lolipop” ve “iribaş” (tadpole) işareti şeklinde görülür. Vakaların yaklaşık %30-45’inde saptanır.
- Kalvaryal kırıklar: Tek başına istismar ilişkili kafa travması açısından spesifik olmasa da çoklu kırıklar istismara bağlı travma şüphesini artırır.
- İstismara bağlı kafa travmasında daha nadir saptanan radyolojik bulgular:
- Subpial kanama
- Retroklival hematom
- Difüz aksonal yaralanma
- Epidural kanama
- Parankimal laserasyonlar
- Spinal yaralanmalar : Sanılandan daha yaygındır ve olguların yaklaşık %30-40’ında görülür. Genellikle gözden kaçar. En sık saptanan bulgular servikal spinal bağ yaralanmaları ve spinal subdural hematomdur.
- Retinal hemorajiler vakaların yaklaşık %85’inde görülür. Bilateral çok sayıda kanama olması istismar ilişkili yaralanma açısından kuvvetli şüphe oluşturmalıdır. Tanı temelde muayene bulguları ile konulur; ancak manyetik duyarlılığa dayalı görüntüleme (SWI) ve difüzyon görüntüleme de yararlı olabilir.
- Gunda D, Cornwell BO, Dahmoush HM, Jazbeh S, Alleman AM. Pediatric Central Nervous System Imaging of Nonaccidental Trauma: Beyond Subdural Hematomas. Radiographics. 2019;39:213-228. doi:10.1148/rg.2019180084
- Orman G, Kralik SF, Desai NK, et al. An In-Depth Analysis of Brain and Spine Neuroimaging in Children with Abusive Head Trauma: Beyond the Classic Imaging Findings. AJNR Am J Neuroradiol. 2022;43:764-768. doi:10.3174/ajnr.A7492
- Raissaki M, Adamsbaum C, Argyropoulou MI, et al. Benign enlargement of the subarachnoid spaces and subdural collections-when to evaluate for abuse. Pediatr Radiol. 2023;53:752-767. doi:10.1007/s00247-023-05611-y
- Kriss S, Foust A, Pruthi S, Little S, Sarma A. Pediatric abusive spine trauma: a review of whole-spine imaging essentials. Pediatr Radiol. Published online January 31, 2026. doi:10.1007/s00247-026-06520-6

