Ödüllü Olgu 60-4 (240)

Gelecek Haftanın Olgusu

Editörler
Dr. Özlem Alkan
Dr. Rahşan Göçmen
Dr. Nursel Yurttutan
Dr. Anıl Özgür
Dr. Burçak Çakır Peköz
Ayın
ÖDÜLLÜ OLGU
Kazananı
Ayın ödüllü olgu kazananı tercihine göre 2025 TNRD Yıllık Kongresi’ne ya da tercihe göre Türk Nöroradyoloji-Türk Pediatrik Nöroradyoloji Diploma kurslarından birine KAYIT HAKKI kazanmıştır.

Ayşenur Bolukçu
Hacettepe Üniversitesi

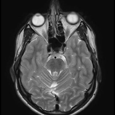
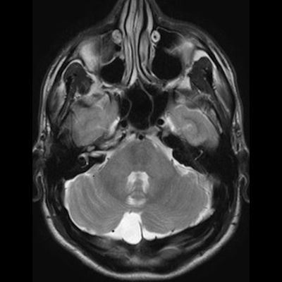
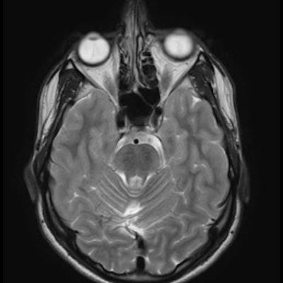
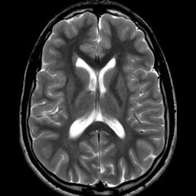
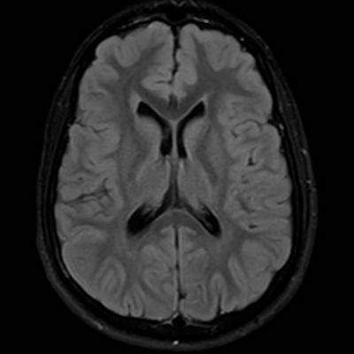
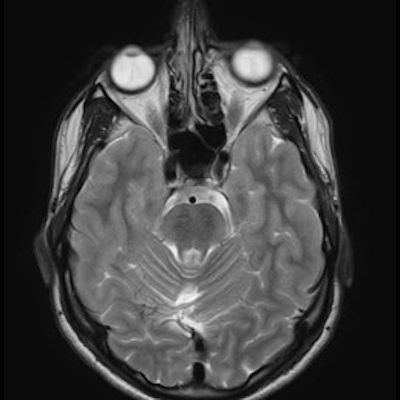
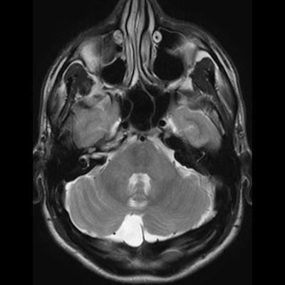
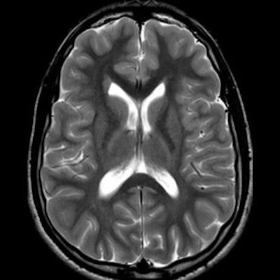
11 ay, Nöbet

Araş. Gör. Dr. Onur Ege TARI
Doç. Dr. Rahşan Göçmen
Hacettepe Üniversitesi Tıp Fakültesi
Radyoloji Anabilim Dalı


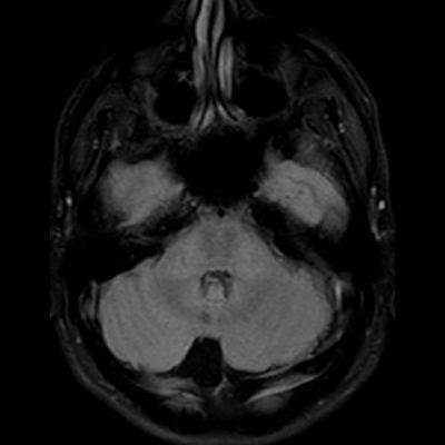
ARSACS
leigh sendromu
Autosomal recessive spastic ataxia of Charlevoix-Saguenay
Wernicke-Korsakoff sendromu
toxic metabolic ensefalopati
wernicke ensefalopatisi
toxic metabolic encephalopathy
ARSACS (Autosomal recessive spastic ataxia of Charlevoix-Saguenay)
Freidreich sendromu (FXTAS varyasyonu)
ARSACS
Charlevoix-Saguenay Otozomal Resesif Spastik Ataksisi (ARSACS)
Charlevoix-Saguenay Otozomal Resesif Spastik Ataksisi ARSACS
Arsacs sendromu
MRG-okült epilepsi (yapısal lezyon saptanmayan epilepsi)
Charlevoix-Saguenay Otozomal Resesif Spastik Ataksisi
KORTİKAL DİSPLAZİ
ARSACS
ARSACS (Charlevoix-Saguenay otozomal resesif spastik ataksisi) Sendromu
ARSACS
Autosomal recessive spastic ataxia of Charlevoix-Saguenay
Serebellar folya sinapsisi