Haftanın Olgusu

Haftanın Olgusu-218 (24 Kasım 2025)

Haftanın Olgusu

Editör

Dr. Burçak Çakır Peköz
Sağlık Bilimleri Üniversitesi Adana Şehir Eğitim ve Araştırma Hastanesi
Radyoloji Anabilim Dalı

24 Kasım 2025

ÖyküYanıtlarBulgularAyırıcı TanıTanıTartışmaKaynaklar

10 yaş, E
Vertekste ele gelen şişlik

Dr. Öğretim Üyesi Serdar Balsak
Prof. Dr. Alpay Alkan
Asistan Dr. Zeynep Dönmez
Bezmialem Vakıf Üniversitesi Radyoloji ABD

Olgu için verilen yanıtlar

  1. Sinüs perikrani (19 kişi)
  2. Skalp arteriovenous malformasyonu (cirsoid aneurysm) (1 kişi)
  3. Atretik parietal sefalosel (1 kişi)
  4. Subgaleal BOS kaçağı/fistülü (1 kişi)
  5. Süperior sagittal sinüse drene olan arteriovenöz malformasyon (1 kişi)
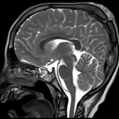
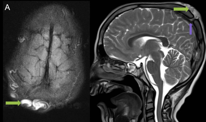
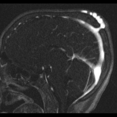
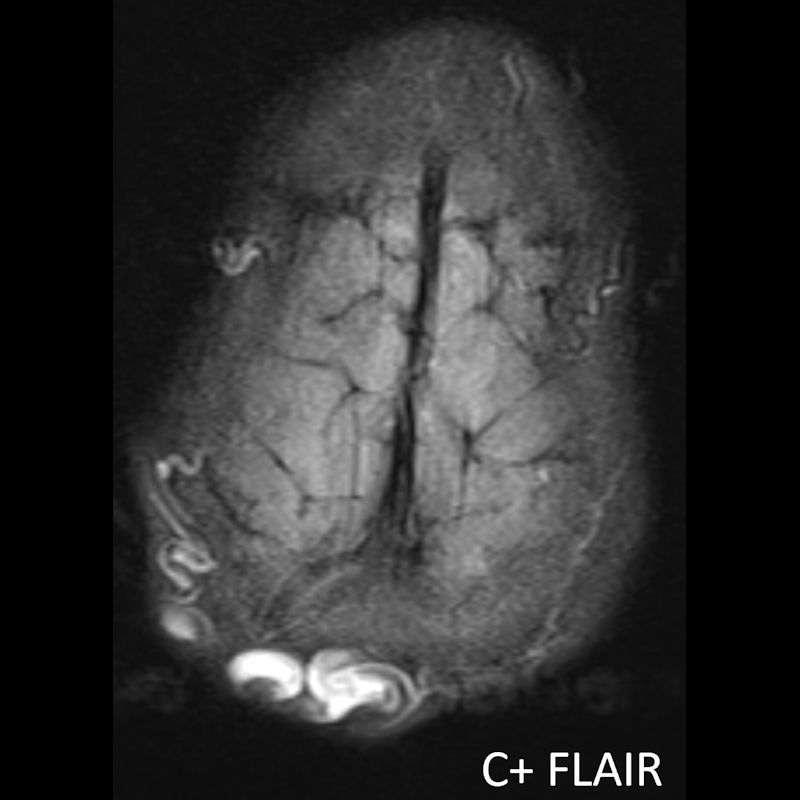
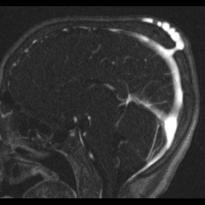
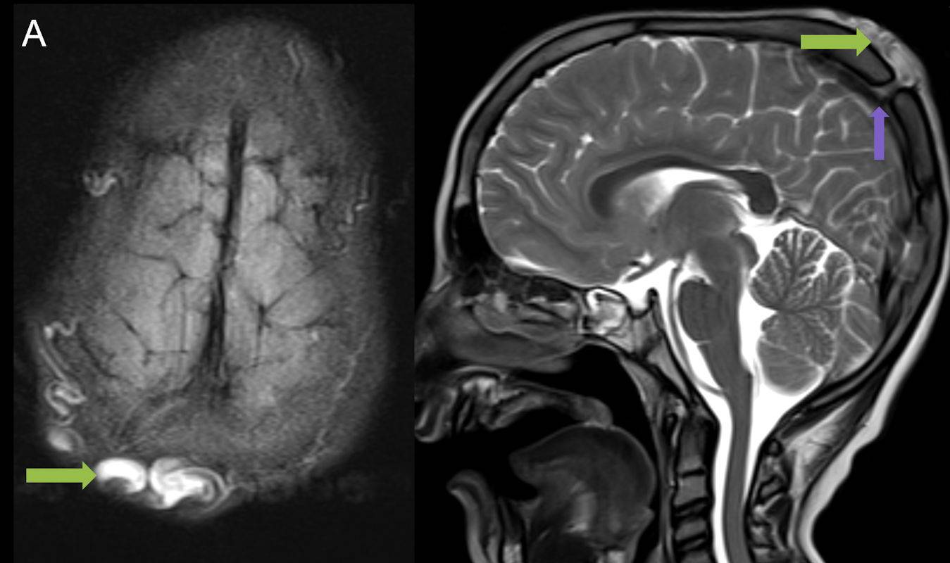
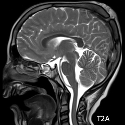
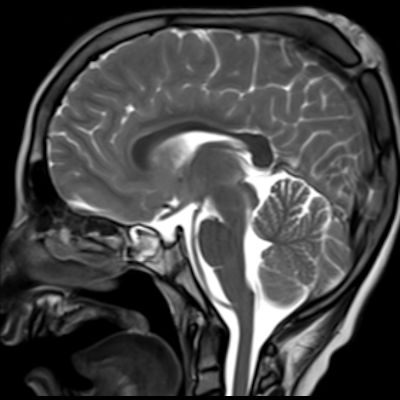
  1. A) Kontrastlı FLAIR aksiyel görüntüde ve sagital T2A görüntüde vertekste orta hatta cilt altında dilate tortiyoze vasküler kollateraller (oklar). Paryetal kemikte orta hatta defekt (ok) ve defekt ile ilişkili vasküler yapıların cilt altı yumuşak dokulara uzanımı izlenmektedir.
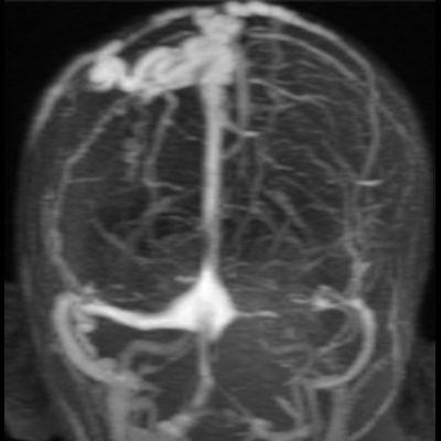
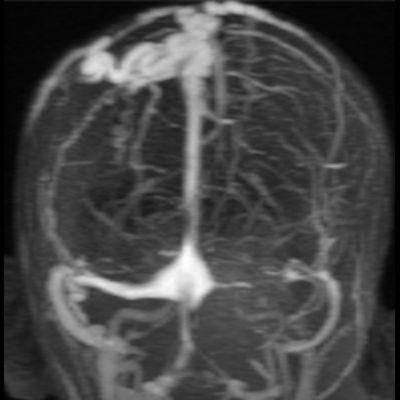
  2. B) Kontrastlı MR venografide orta hatta cilt altı dilate (oklar), tortiyoze emisserian vaskuler yapıların superior sagital sinus ile ilişkisi ve devamlılığı (ok) izlenmektedir.
  1. AV fistül
  2. Sinüs trombozu
  3. Sinüs perikrani

Sinüs perikrani

Sinüs perikrani

  1. Genellikle çocukluk çağında saptanan, venöz bir malformasyondur. Kafatasının dış yüzeyinde yer alan emisserian venlerin, orta hatta kalvaryal defektten intrakraniyal dural venöz sinüslerle anormal bağlantısı olan, komünikan venöz yapılarla karakterize kranial venöz anomalidir.
  2. Genellikle orta hatta yer alır ve yumuşak, valsalva manevrasıyla büyüyebilen bir şişlik olarak kendini gösterir.
  3. Lezyon, genellikle süperior sagittal sinüs gibi büyük venöz sinüslerle bağlantı gösterir.
  4. Bu bağlantılar kemikteki bir defekt veya ince kortikal pencere yoluyla olur.
  5. MRG’de hızlı venöz akıma bağlı “flow void” (sinyal kaybı) alanları gözlenebilir.
  6. En tanımlayıcı görüntüleme yöntemi MR venografidir.
  7. İntrakraniyal ve ekstrakraniyal venöz yapıların ilişkisi net şekilde gösterilir.
  8. Lezyonun süperior sagittal sinüs veya diğer venöz sinüslerle bağlantısı doğrulanır.
  9. Olgumuzda tanı tipik MRG bulguları ile konulmuştur.
  • Paiva ARA, Monteiro EMR, Nogueira TS, Oliveira MC, Campos PF, Silva RCCA. Sinus pericranii: a case report and literature review. Braz J Otorhinolaryngol. 2023;89(5):101305. doi:10.1016/j.bjorl.2023.101305
  • Akella SS, Shah J, Barmettler A. Sinus pericranii in the upper eyelid: diagnosis and management guidelines. Orbit. 2020;39(6):422-425. doi:10.1080/01676830.2019.1692874

Cahit Güçlü

TNRD