Haftanın Olgusu-205 (25 Ağustos 2025)

Haftanın Olgusu

Editör
Dr. Burçak Çakır Peköz
Sağlık Bilimleri Üniversitesi Adana Şehir Eğitim ve Araştırma Hastanesi
Radyoloji Anabilim Dalı
25 Ağustos 2025
ÖyküYanıtlarBulgularAyırıcı TanıTanıTartışmaKaynaklar
34 yaş, E
Baş ağrısı

Araş. Gör. Dr. Büşra Paşaoğlu
Doç. Dr. Burçak Çakır Peköz
SBÜ, Adana Tıp Fakültesi, Adana Şehir Hastanesi
Olgu için verilen yanıtlar
- IDH mutant astrositom (7 kişi)
- Oligodendrogliom (1 kişi)
- DNET (1 klişi)
- Yüksek dereceli glial tümör (1 kişi)
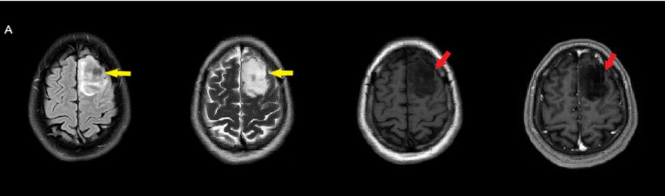
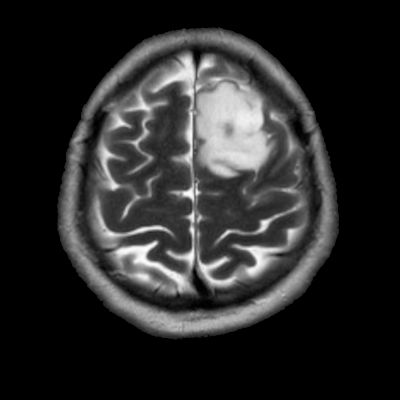
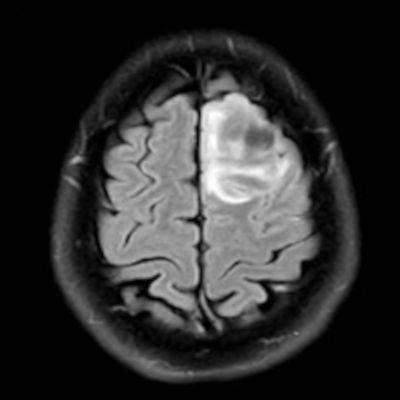
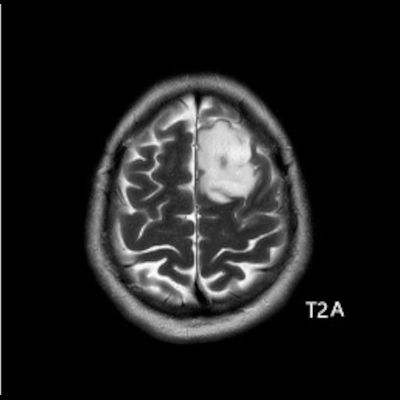
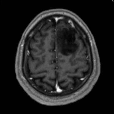
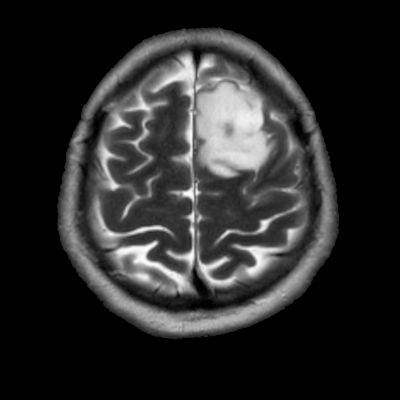
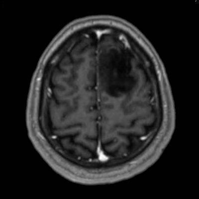
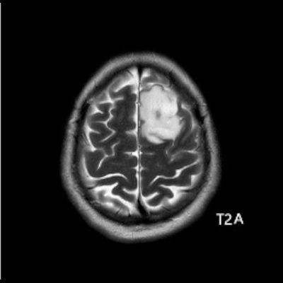
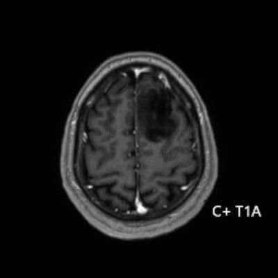
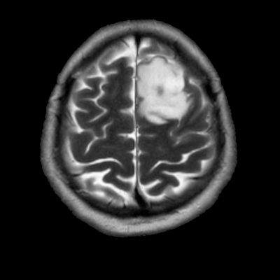
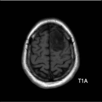
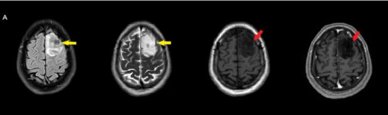
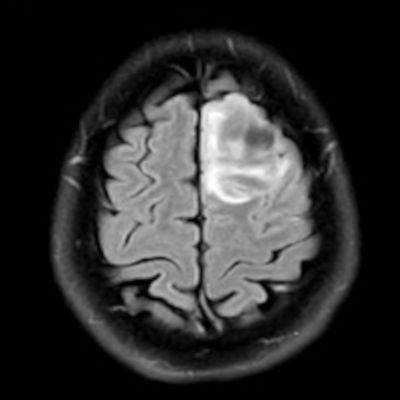
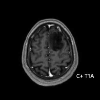
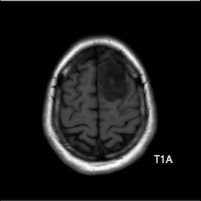
- Sol frontal kortikal-subkortikal yerleşimli aksiyel T2A görüntüde hiperintens sinyal özelliği gösteren (oklar) ve FLAIR görüntüde sinyali ağırlıklı olarak baskılanan (oklar) kitlesel lezyon izleniyor. Lezyon T1A görüntüde hipointens olup post-kontrast T1A görüntüde bu düzeyde patolojik kontrastlanma izlenmiyor (oklar).
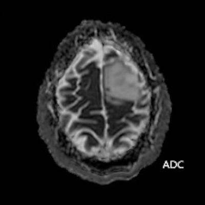
- ADC görüntülerde lezyonda sinyal artışları ile karakterize difüzyon artışı (ok) izleniyor. Bu alana yönelik yapılan multivoksel MR spektroskopi incelemesinde (ok) kolin pikinde artış ve NAA pikinde azalma izleniyor. Cho/Cr oranı 1.76 ölçülüyor.
- IDH mutant astrositom
- Oligodendrogliom
- DNET
- Venöz enfarkt
- Ensefalit
IDH mutant astrositom (grade 2)
IDH mutant astrositom
- IDH-mutant astrositomlar, izositrat dehidrogenaz (IDH) geninde mutasyon taşıyan, diffüz büyüme özelliği gösteren infiltratif glial tümörlerdir. 2021 WHO Sınıflaması ile birlikte, bu tümörlerin sadece histolojik değil, moleküler özellikleri de sınıflamaya dahil edilerek tanısal yaklaşımda bir paradigma değişikliği yaşanmıştır. Özellikle IDH mutasyonunun varlığı, prognoz üzerinde olumlu etkisi olan bir biyobelirteç olarak kabul edilmekte, IDH-mutant tümörler IDH-wildtype glioblastomlardan ayrılmaktadır.
- IDH-mutant astrositomların tanı yaşı, IDH-wildtype gliomlara göre belirgin şekilde daha düşüktür. Median yaş genellikle 36–38 yıl civarındadır.
- Genel olarak, astrositik gliomlar erkeklerde kadınlara göre yaklaşık %40–50 oranında daha sık görülmektedir.
- IDH-mutant astrositomlarda en sık görülen semptomlar, tümörün lokalizasyonuna, büyüme hızına ve grade’ine bağlı olarak değişse de, hastaların büyük kısmında ortak bazı klinik belirtiler öne çıkar. En sık görülen semptom nöbettir. Baş ağrısı, fokal nörolojik defisitler, kognitif ve davranışsal değişiklikler görülebilir.
- Genellikle serebral hemisferlerde, özellikle frontal lobda yerleşir. Derin gri cevher yapılarından çok beyaz cevherde izlenir.Yaygın infiltratif karakterdedir.
Görüntüleme Bulguları:
- Lezyonların karakterizasyonunda ilk tercih edilen yöntem MR görüntülemedir. BT’de lezyonlar çoğunlukla izodens veya hipodens olarak görülür.
- MR görüntülemede:
- T1AG’de genellikle hipointens, T2AG’de ise genellikle homojen hiperintens görünümde ve kitle etkisi hafif-orta düzeydedir.Ödem genellikle eşlik etmez ya da minimal düzeydedir.
- FLAIR’de T2’ye benzer şekilde hiperintens görünür. Ancak T2–FLAIR mismatch bulgusu, bu tümör tipi için oldukça karakteristiktir.
- Grade 2 ve 3 tümörlerde çoğunlukla kontrast tutulumu yoktur veya minimal düzeydedir. Grade 4 IDH-mutant astrositomlarda, nekroz veya mikrovasküler proliferasyon varsa heterojen kontrast tutulum gözlenebilir. Kontrast tutulumu her zaman malignite derecesini yansıtmayabilir; bu nedenle biyopsi ve moleküler analiz mutlaka gereklidir.
- DAG’de düşük ADC değerleri varsa bu daha yüksek mitotik aktiviteyi gösterebilir (grade 3–4).
- MR spektroskopide tipik olarak yüksek kolin piki, düşük NAA piki, yüksek kolin/kreatin oranı görülür.
- Miyo-inositol / kreatin oranında artış görülebilir.
- T2–FLAIR mismatch bulgusu, T2AG’de homojen hiperintensite ile FLAIR görüntüde santral sinyal baskılanmasının ve çevrede hiperintens halka görünümünün bulunduğu bir fenomendir. Bu bulgu, özellikle IDH-mutant, 1p/19q kodelesyonu olmayan astrositomları tanımlamada oldukça özgül bir biomarker olarak literatürde vurgulanmıştır. Ayırıcı tanıda akla gelmesi gereken oligodendrogliomlarda T2/FLAIR mismatch bulgusu genellikle görülmez.
- Olgumuzda T2-FLAIR mismatch bulgusu mevcut olup, opere edilmiş ve tanısı histopatolojik olarak konulmuştur.
- Kang KM, Song J, Choi Y, Park C, Park JE, Kim HS, Park SH, Park CK, Choi SH. MRI Scoring Systems for Predicting Isocitrate Dehydrogenase Mutation and Chromosome 1p/19q Codeletion in Adult-type Diffuse Glioma Lacking Contrast Enhancement. Radiology. 2024 May;311(2):e233120. doi: 10.1148/radiol.233120. PMID: 38713025.
- Goyal A, Yolcu YU, Goyal A, Kerezoudis P, Brown DA, Graffeo CS, Goncalves S, Burns TC, Parney IF. The T2-FLAIR-mismatch sign as an imaging biomarker for IDH and 1p/19q status in diffuse low-grade gliomas: a systematic review with a Bayesian approach to evaluation of diagnostic test performance. Neurosurg Focus. 2019 Dec 1;47(6):E13. doi: 10.3171/2019.9.FOCUS19660. Erratum in: Neurosurg Focus. 2020 May 1;48(5):E10. doi: 10.3171/2020.3.FOCUS19660a. PMID: 31786548.
- Park SI, Suh CH, Guenette JP, Huang RY, Kim HS. The T2-FLAIR mismatch sign as a predictor of IDH-mutant, 1p/19q-noncodeleted lower-grade gliomas: a systematic review and diagnostic meta-analysis. Eur Radiol. 2021 Jul;31(7):5289-5299. doi: 10.1007/s00330-020-07467-4. Epub 2021 Jan 6. PMID: 33409784.
- Kickingereder P, Bonekamp D, Nowosielski M, Kratz A, Sill M, Burth S, Wick A, Eidel O, Schlemmer HP, Radbruch A, Debus J, Herold-Mende C, Unterberg A, Jones D, Pfister S, Wick W, von Deimling A, Bendszus M, Capper D. Radiogenomics of Glioblastoma: Machine Learning-based Classification of Molecular Characteristics by Using Multiparametric and Multiregional MR Imaging Features. Radiology. 2016 Dec;281(3):907-918. doi: 10.1148/radiol.2016161382. Epub 2016 Sep 16. PMID: 27636026.
- WHO Classification of Tumours Editorial Board. (2021). CNS Tumours, 5th ed. IARC
- Kasap DNG, Mora NGN, Blömer DA, Akkurt BH, Heindel WL, Mannil M, Musigmann M. Comparison of MRI Sequences to Predict IDH Mutation Status in Gliomas Using Radiomics-Based Machine Learning. Biomedicines. 2024 Mar 25;12(4):725. doi: 10.3390/biomedicines12040725. PMID: 38672080; PMCID: PMC11048271.

