Haftanın Olgusu-199 (14 Temmuz 2025)

Haftanın Olgusu

Editör
Dr. Burçak Çakır Peköz
Sağlık Bilimleri Üniversitesi Adana Şehir Eğitim ve Araştırma Hastanesi
Radyoloji Anabilim Dalı
14 Temmuz 2025
ÖyküYanıtlarBulgularAyırıcı TanıTanıTartışmaKaynaklar
18 yaş, E
Uyku hali, baş ağrısı, baş dönmesi

Asistan Dr. Damla SUNGUR
Prof. Dr. Yeliz PEKÇEVİK
SBÜ İzmir Tıp Fakültesi İzmir Şehir Hastanesi
Olgu için verilen yanıtlar
- Anevrizmal kemik kisti (10 kişi)
- Telenjiektazik osteosarkom (3 kişi)
- Süperior sagital sinüste dermoid kist (2 kişi)
- Langerhans hücreli histiyositoz (1 kişi)
- Serebral kavernöz malformasyonlar (1 kişi)
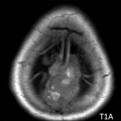
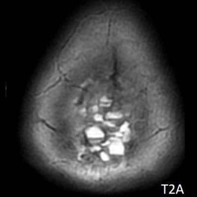
- A) Vertekste, orta hatta, multikistik, T2A sekanslarda yoğun içerikli sıvı-sıvı seviyelenmesi (oklar) ve T1A sekanslarda hiperintens, SWI sekanslarda blooming artefaktı oluşturan, belirgin düşük ADC değerlerine sahip, kanama alanları içeren (oklar) kitlesel lezyon mevcuttur.
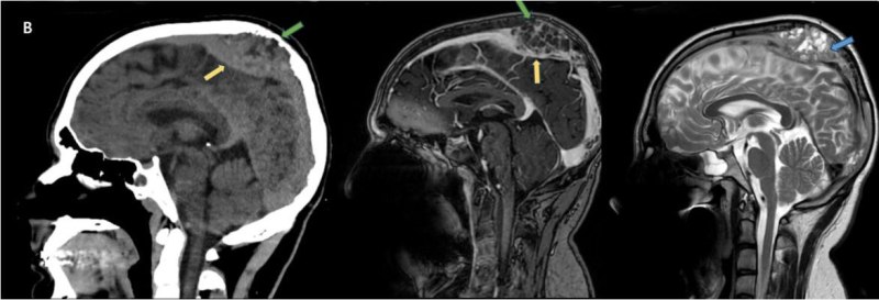
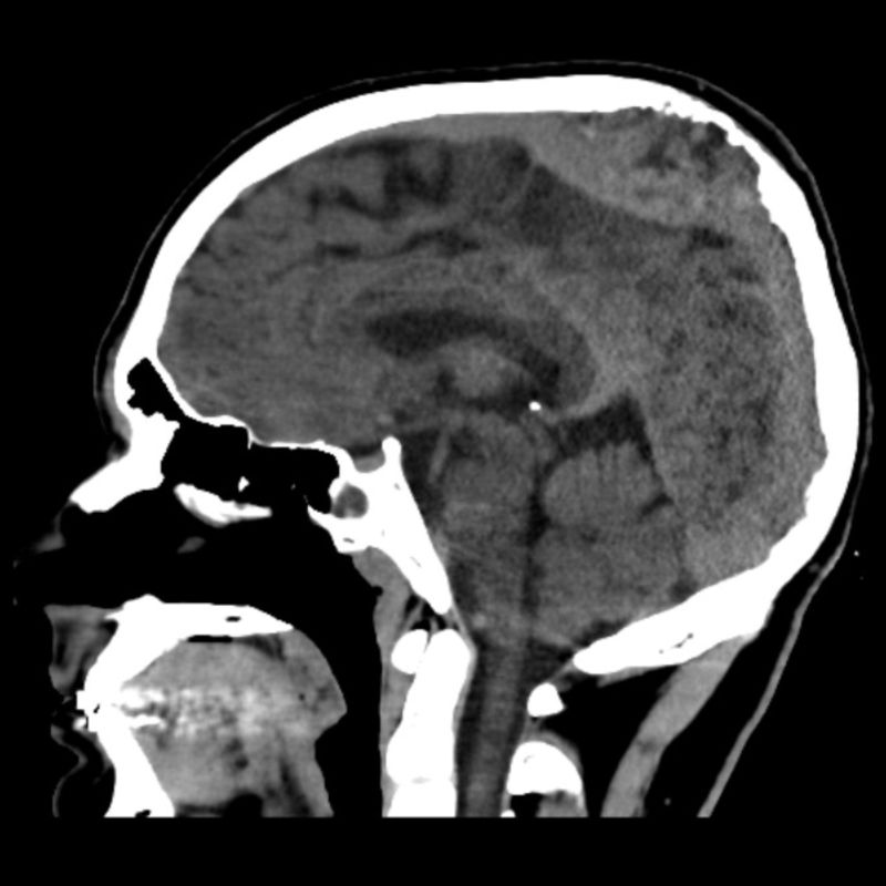
- B) Parietal kemik iç tabulada erozyon (oklar), süperior sagital sinüste inferiora yer değiştime ve invazyon (oklar) ve lezyonda heterojen kontrastlanma izlenmektedir.
- Anevrizmal kemik kisti
- Hemanjioperisitom
- Dev hücreli tümör
- Metastaz
- Anjiosarkom
Anjiosarkom
Anjiosarkom
- Anjiosarkomlar vücudun herhangi bir yerinde gelişebilen yüksek grade’li (WHO Grade 3) agresif vasküler endotel neoplazmlardır. Prognozları kötüdür. En sık uzun kemikleri, kostaları ve pelvisi tutarlar. Ekstrakraniyal anjiosarkomlar için bilinen risk faktörleri, radyasyon tedavisi, arsenik maruziyeti, travma öyküsüdür.
- Kranium primer anjiosarkomu kranial kemiklerin mezenkimal komponentlerinden köken alırlar. Bilinen risk faktörü bulunmamaktadır. Meninks ve beyin parankiminin etkilenmesiyle total cerrahi rezeksiyonun zorlaşır. Diploik mesafenin zengin vasküler ağı nedeniyle erken evrede akciğer ve diğer kemiklere metastazlar görülebilir. Prognozu en kötü anjiosarkomlardır. Erkek popülasyonda 2 kat sık görülür.
- Kraniyumda izlenen anjiosarkomlar primer tümör veya uzak ekstrakraniyal anjiosarkomun metastazı olabilir.
- En sık bulgu etkilenen alanda şişliktir. Meninksler ve beyin parankimine invazyon, komşu yapılara bası ile çeşitli klinik semptomlara neden olabilir. Yamada ve ark. subdural hematoma neden olan epiteloid anjiosarkom olgusu bildirmiştir.
- Tedavide geniş cerrahi eksizyon ve adjuvan RT uygulanır.
- Operasyon sırasında kanamayı azaltmak için, preoperatif selektif arteriyal embolizasyon uygulanabilir.
- Paklitaksel ve bevacizumab bazı vakalarda başarılı olmuştur.
Görüntüleme Bulguları
- Direkt grafide kalvaryumda yumuşak doku konponenti olan, iyi sınırlı, ekspansil, litik lezyon izlenir. En sık tutulan kemik frontal kemiktir.
- MR görüntülemede genellikle T1 ağırlıklı görüntülerde gri cevher ile izointens, T2 ağırlıklı görüntülerde hiperintens, heterojen kontrast tutulumu gösteren kitlesel lezyon izlenir. Nekrotik, hemorajik, kistik alanlar içerebilir. Kanamaya bağlı sıvı-svı seviyeleri izlenebilir.
- İntrakraniyal uzanımı bulunan lezyonlarda dural kalınlık artışı ve komşu parankimde perilezyoner ödem izlenebilir.
- Olgumuzda tanı histopatolojik olarak desteklenmiştir.
- Chugh AP, Gandhoke CS, Mohite AG, Khedkar BV. Primary angiosarcoma of the skull: A rare case report. Surg Neurol Int. 2014 Jun 11;5:92. doi: 10.4103/2152-7806.134365.
- Khan IS, Thakur JD, Ahmed O, Shorter CD, Thomas-Ogunniyl J, Kim MT, Jeroudi MA, Guthikonda B. Primary calvarial angiosarcoma: A case report and review of the literature. Surg Neurol Int. 2012;3:134. doi: 10.4103/2152-7806.102952. Epub 2012 Oct 29.
- Yamada Y, Inamasu J, Moriya S, Oguri D, Hasegawa M, Abe M, Hirose Y. Subdural hematoma caused by epithelioid angiosarcoma originating from the skull. Head Neck Pathol. 2013 Jun;7(2):159-62. doi: 10.1007/s12105-012-0389-9. Epub 2012 Jul 29.

