Haftanın Olgusu-198 (7 Temmuz 2025)

Haftanın Olgusu

Editör
Dr. Burçak Çakır Peköz
Sağlık Bilimleri Üniversitesi Adana Şehir Eğitim ve Araştırma Hastanesi
Radyoloji Anabilim Dalı
7 Temmuz 2025
ÖyküYanıtlarBulgularAyırıcı TanıTanıTartışmaKaynaklar
42 yaş, E
1 yıldır, son 3 ayda şiddeti artan oksipital bölgede baş ağrısı

Asistan Dr. Mehmet SİMSAR
Prof. Dr. Yeliz PEKÇEVİK
SBÜ İzmir Tıp Fakültesi İzmir Şehir Hastanesi
Olgu için verilen yanıtlar
- Parsiyel tromboze PICA anevrizması/ tromboze PICA anevrizması/ tromboze anevrizma (6 kişi)
- CAPNON (3 kişi)
- Kavernom (2 kişi)
- Teratom
- Subependimom
- Kavernöz hemanjiom
- Menenjiom
- Malign melanom
- Vasküler malformasyon
- SAK
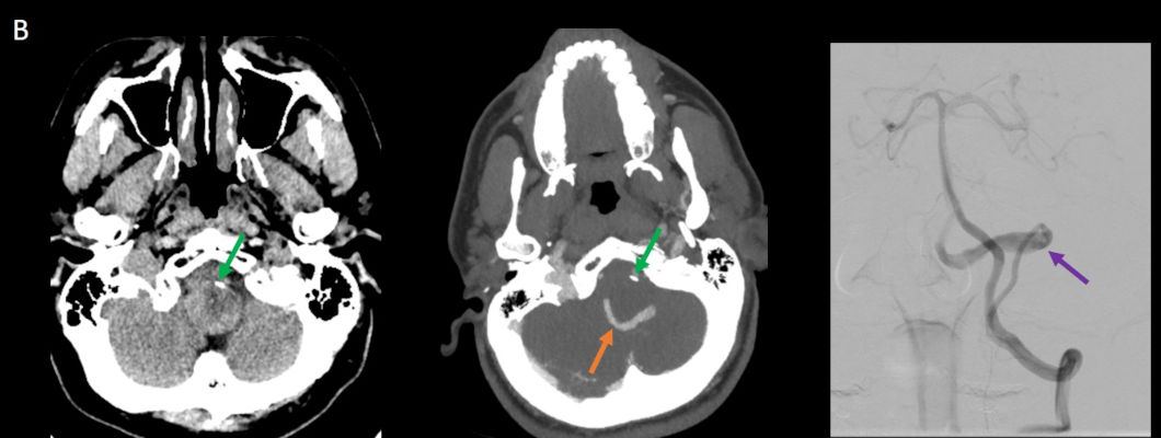
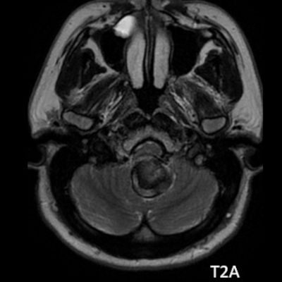
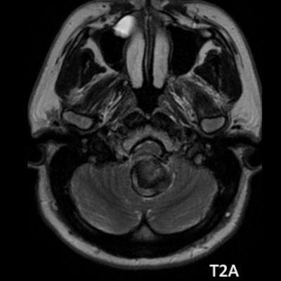
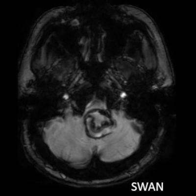
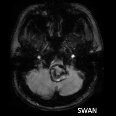
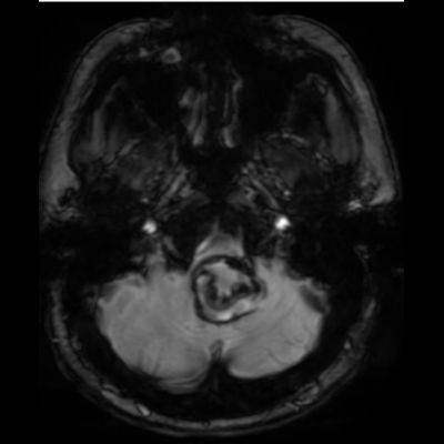
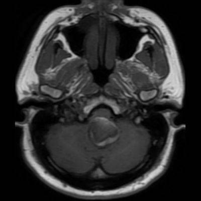
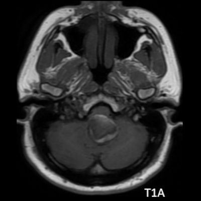
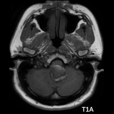
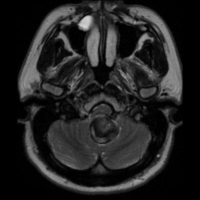
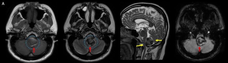
- A. Posterior fossada, T2A, T1A görüntü ve SWAN sekanslarda, 3.5 cm boyutta, düzgün sınırlı, T1A hiperintens, T2A hipointens heterojen iç yapıda kitlesel lezyon izleniyor (çember). Lezyonun serebellum ve kraniyoservikal bileşkeye bası etkisi mevcuttur (ok). Lezyon periferinde T1A, T2A ve SWAN görüntülerde hiperintens tubuler yapı bulunmaktadır (ok). Bu yapı intralezyonel “yılanvari eksantrik vasküler’’ yapıdır.
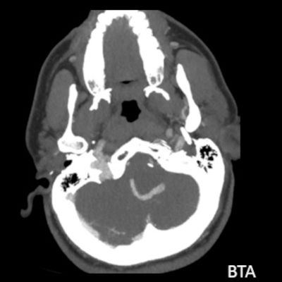
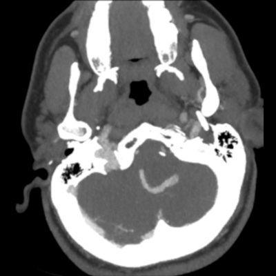
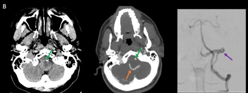
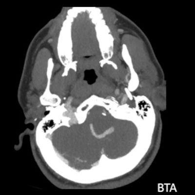
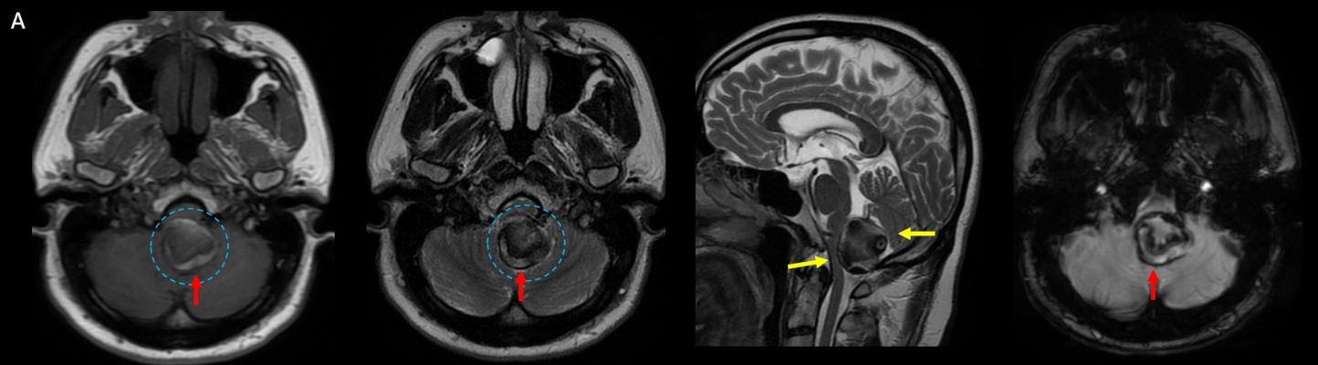
- B. Kontrastsız BT incelemede heterojen dansitede, perferinde kaba kalsifikasyon gösteren kitle lezyonu (ok), BT anjiografi MIP aksiyal kesitte yılan gibi eksantrik bir açık damar görülmektedir (ok). Sağ posterior inferior serebellar arterden (PICA) doluş gösteren tortiyoze dilate vasküler yapı (ok) DSA’ da demonstre edilmiş.
- Serpantin anevrizma
- Kavernöz malformasyon (kavernom)
- Vasküler tümörler
- Metastaz
PICA serpantin anevrizma
Serpantin anevrizmalar
- Serpantin anevrizma, intrakraniyal anevrizmanın nadir bir alt tipi olup tipik bir görünüme sahiptir.
- Genç erkek hastalarda daha sık görülür.
- Vakaların yaklaşık %50’sinde orta serebral arteri etkiler.
- Kısmen tromboze olmuş dev intrakraniyal anevrizmadan (≥ 25 mm) oluşur ve içinden açık, serpantin şeklinde bir damar kanalı geçer. Bu damar kanalının bir giriş ve bir çıkış noktası vardır, bu da çıkış noktası olmayan dev anevrizmadan ayrımını sağlar.
- Ayrı giriş ve çıkış yollarının varlığı ile birlikte beyin parankimini de beslemesi ayırt edici özelliğidir.
- Klinik özellikler genellikle kısmen tromboze olmuş dev anevrizmanın lokal kitle etkisine bağlıdır ve bu nedenle etkilenen bölgeye göre değişir. Hastaların yaklaşık %28’i rüptüre anevrizma ve subaraknoid kanama ile başvurur.
Görüntüleme Bulguları
- BT
- Heterojen yoğunlukta, yuvarlak veya oval kitle lezyonları olarak görülür.
- Kısmen tromboze oldukları için, lezyon içinde farklı evrelerde kan ürünleri izlenebilir.
- BT anjiyografi (BTA) ile anevrizma içindeki patent, serpantin damar kanalı ve anevrizmanın besleyici damarları daha net bir şekilde görüntülenebilir.
- Kitle etkisi ve çevre dokularda ödem de BT’de görülebilen bulgulardandır.
- MR
- Kısmen tromboze olmuş dev serebral anevrizma, kan ürünlerinin değişken yaşına bağlı olarak MRG’de heterojen bir sinyale sahiptir.
- T1 kısmen tromboze anevrizmada genellikle hiperintens odaklarla heterojen
- T2 kısmen tromboze anevrizmada genellikle hipointens odaklarla heterojen, serpantin anevrizma içi damar kanalında akım boşlukları, bitişik parankimde vazojenik ödem görülebilir.
- T2 ve SWAN genellikle santral-çevresel duyarlılık artefaktları görülür.
- MRA serpantin anevrizma içi damar kanalı iyi gösterir.
- DSA
- Serpantin anevrizmaların tanısında altın standart olarak kabul edilir.
- Anevrizmanın şeklini, giriş ve çıkış noktalarınıen net şekilde gösterir.
- DSA’da anevrizma içindeki tortuöz damar kanalının morfolojisi, bir simite (“pretzel işareti”) benzetilmiştir. Bu bulgu, anevrizmanın dinamik yapısını ve içindeki kan akışınıgörselleştirmek için kritik bir bulgudur.
- S.G. Kandemirli, S. Cekirge, I. Oran, I. Saatci, O. Kizilkilic, C. Cinar, C. Islak, N. KocerIntracranial Serpentine Aneurysms: Spontaneous Changes of Angiographic Filling Pattern American Journal of Neuroradiology Sep 2018, 39 (9) 1662-1668; DOI: 10.3174/ajnr.A5746
- Romano A, Moltoni G, Piazza A, Trasimeni G, Miscusi M, Palizzi S, Romano A, Raco A, Bozzao A. Giant serpentine aneurysm: Neuroradiological and neurosurgical management in a left-handed patient. Radiol Case Rep. 2023 Oct 4;18(12):4384-4388. doi: 10.1016/j.radcr.2023.09.014. PMID: 37840892; PMCID: PMC10569986.
- Wen L, Huang Y, Song Z, Wang C. Neuro-Image of a Ring-Liked Sign in Serpentine Aneurysm. Ann Neurol. 2024 Dec;96(6):1135-1136. doi: 10.1002/ana.27048. Epub 2024 Aug 8. PMID: 39115152.

