Ödüllü Olgu

Ödüllü Olgu 50-4 (200)

Gelecek Haftanın Olgusu

Editör

Dr. Burçak Çakır Peköz
Sağlık Bilimleri Üniversitesi Adana Şehir Eğitim ve Araştırma Hastanesi
Radyoloji Anabilim Dalı

Ayın
ÖDÜLLÜ OLGU
Kazananları

Ayın ödüllü olgu kazananları tercihlerine göre 2025 TNRD Yıllık Kongresi’ne ya da tercihe göre Türk Nöroradyoloji – Türk Pediatrik Nöroradyoloji Diploma kurslarından birine KAYIT HAKKI kazanmıştır.

Ömer Çetin
İstanbul Medeniyet Üniversitesi

Burcu Kübra Arslan
Yozgat Şehir Hastanesi

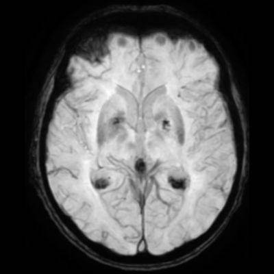
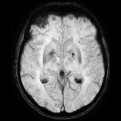
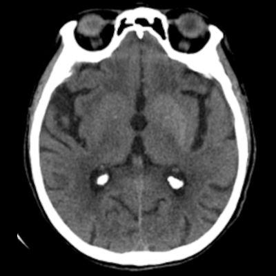
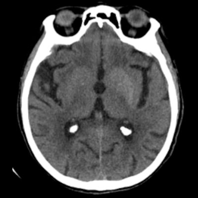
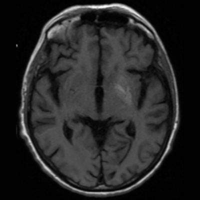
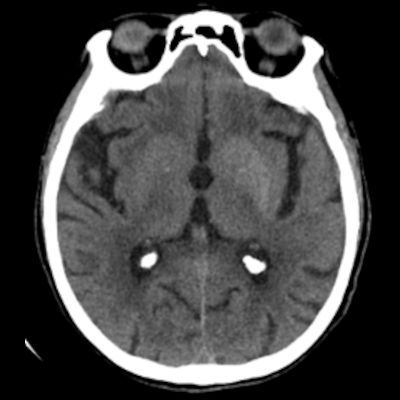
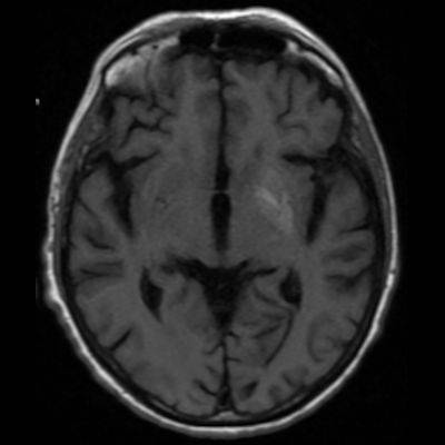
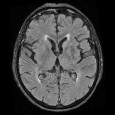
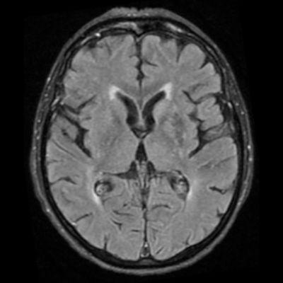
75 yaş, K
Sağ üst kolda atım şeklinde hareket

Asistan Dr. Damla SUNGUR
Prof. Dr. Yeliz PEKÇEVİK
SBÜ, İzmir Tıp Fakültesi, İzmir Şehir Hastanesi

Tanınız nedir?

Cahit Güçlü

TNRD

14 thoughts on “Ödüllü Olgu 50-4 (200)

  • Ülkünur Fikriye Özdemir

    Nonketotik hiperglisemik hemikore

  • mehmet salih karaca

    Non ketotic hiperglisemik hemikorea

  • Elif Pelinsu Ekici

    Non ketotik hiperglisemi

  • Fahrettin Yusuf Altıntaş

    Wilson Hastalığı

  • sema aksoy

    Hemikorea hemiballismus

  • Uğurcan Balyemez

    Hiperglisemik veya hiperosmolar hadiseye bağlı sol putaminal tutulum.

  • Aslı Dilara Büyüktoka

    Kortikobazal dejenerasyon

  • Murat Şahin

    Lgı1 autoantibody faciobrachial dystonic seizures (FBDS)

  • Aslı Dilara Büyüktoka

    Diyabetik striatopati

  • Esra Yıldırım

    Nonketotik hiperglisemi

  • Zeynep Celile Elmacı Akın

    Non-ketotik hiperglisemiye bağlı hemikore-hemibalizm

  • Hilal Ardalı Çakır

    Diyabetik striatopati

  • BÜLENT YILDIZ

    non-ketotic hyperglycemic hemichorea

  • UMIT TUZUN

    Nonketotik hiperglisemik hemikore

Bir yanıt yazın