Haftanın Olgusu-196 (23 Haziran 2025)

Haftanın Olgusu

Editör
Dr. Burçak Çakır Peköz
Sağlık Bilimleri Üniversitesi Adana Şehir Eğitim ve Araştırma Hastanesi
Radyoloji Anabilim Dalı
23 Haziran 2025
ÖyküYanıtlarBulgularAyırıcı TanıTanıTartışmaKaynaklar
44 yaş, E
Kazanılmış immün yetmezlik hastası
Bilinç değişikliği

Doç. Dr. Kerim Aslan
Doç. Dr. Barış Genç
Ondokuz Mayıs Üniversitesi Tıp Fakültesi
Radyoloji Anabilim Dalı
Olgu için verilen yanıtlar
- Progresif multifokal lökoensefalopati (13 kişi)
- HIV ile ilişkili CD8+ ensefaliti (1 kişi)
- Toxoplazmozis (1 kişi)
- IRIS ile komplike olmuş progresif multifokal lökoensefalopati (1 kişi)
- HIV ensefalopati (1 kişi)
- Kriptokokal ensefalit (1 kişi)
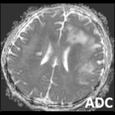
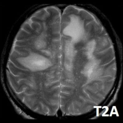
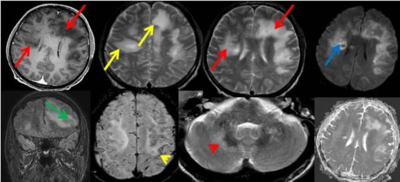
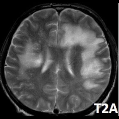
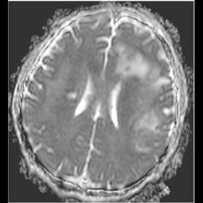
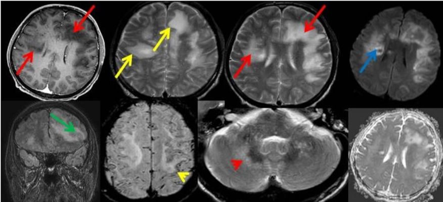
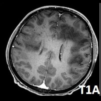
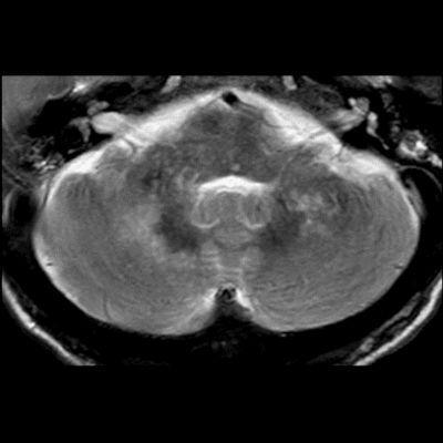
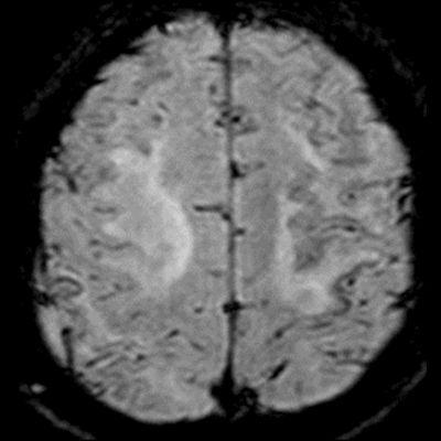
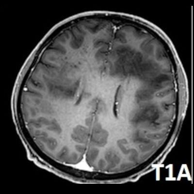
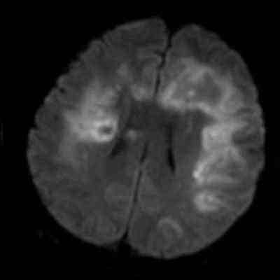
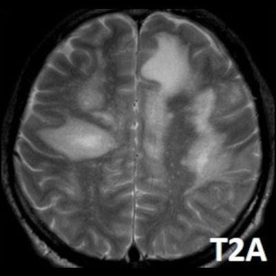
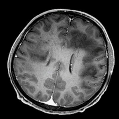
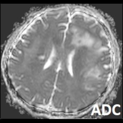
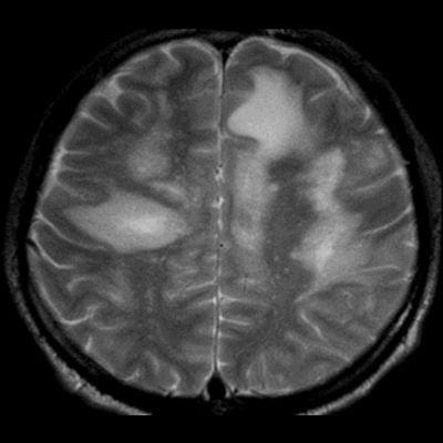
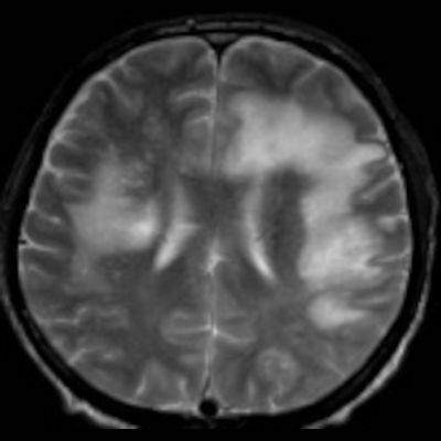
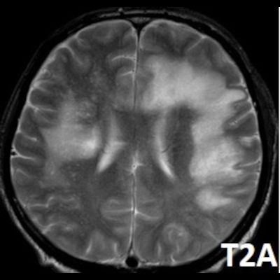
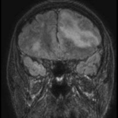
- Bilateral asimetrik subkortikal ve derin beyaz cevherde T1 ağırlıklı görüntülerde belirgin hipointens (oklar), T2A görüntülerde hiperintens (oklar), gri cevhere bakan kesimi düzgün (oklar), DAG’de hiperintens (ok) lezyonlar izlendi. Lezyonlarda T2/FLAIR uyumsuzluğu vardı (ok). Serebellar beyaz cevherde dentat nukleusu koruyan hilal işareti görüldü (ok başı). SWI sekansta sol motor kortekste hipointens kronik glioinflamatuar reaksiyon ile uyumlu sinyal değişikliği izlendi (ok başı).
- HIV/AIDS ensefalopatisi
- Posterior reversibl ensefalopati sendromu (PRES)
- Akut dissemine ensefalomyelit (ADEM)Progresif multifokal lökoensefalopati (PML)
Progresif multifokal lökoensefalopati (PML)
Progresif multifokal lökoensefalopati (PML)
- PML, genelde immünsuprese hastalarda görülen John Cunningham virüsünün (JCV) (genellikle reaktivasyon) neden olduğu oligodendrositleri tutan ilerleyici bir demiyelinizan hastalıktır.
- Çoğunlukla subkortikal beyaz cevherde ve U fiberlerde, asimetrik, genelde kitle etkisi yapmayan ve kontrastlanmayan demiyelinizan lezyonlar görülür. Korteks ve derin gri cevher tutulumu daha nadirdir.
- PML lezyonları, T1A görüntülerde belirgin hipointenstir. Gri cevhere bakan yüzleri keskin olup T2/FLAIR uyumsuzluğu önemli özelliğidir.
- PML lezyonlarında kronik olarak aktive olan glial hücreler ve mikroglia/makrofajlar sitoplazmalarında yüksek seviyelerde demir ve pigment içerebilir ve SWI da hipointens olarak görülür.
- Kesin bir tanı için, uyumlu klinik ve görüntüleme bulgularına ek olarak JCV için pozitif bir BOS PCR zorunludur.
- Olguda tipik görüntüleme bulgularına ek BOS incelemesinde JCV-PCR pozitif bulundu.
- Smith A, Smirniotopoulos J, Rushing E. From the Archives of the AFIP: Central Nervous SystemInfections Associated with Human Immunodeficiency VirusInfection: Radiologic-Pathologic Correlation. Radiographics. 2008;28:33-58
- Buckle C & Castillo M. Use of Diffusion-Weighted Imaging to Evaluate the Initial Response of Progressive Multifocal Leukoencephalopathy to Highly Active Antiretroviral Therapy: Early Experience. AJNR Am J Neuroradiol. 2010;31(6):1031-5.

