Ödüllü Olgu 51-4 (204)

Gelecek Haftanın Olgusu

Editör
Dr. Burçak Çakır Peköz
Sağlık Bilimleri Üniversitesi Adana Şehir Eğitim ve Araştırma Hastanesi
Radyoloji Anabilim Dalı
Ayın
ÖDÜLLÜ OLGU
Kazananı
Ayın ödüllü olgu kazananı tercihine göre 2025 TNRD Yıllık Kongresi’ne ya da tercihe göre Türk Nöroradyoloji-Türk Pediatrik Nöroradyoloji Diploma kurslarından birine KAYIT HAKKI kazanmıştır.

Zeynep Celile Elmacı Akın
Ondokuz Mayıs Üniversitesi

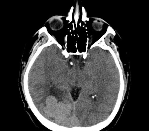
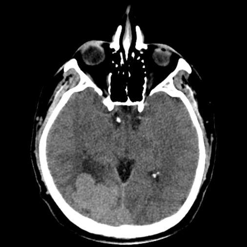
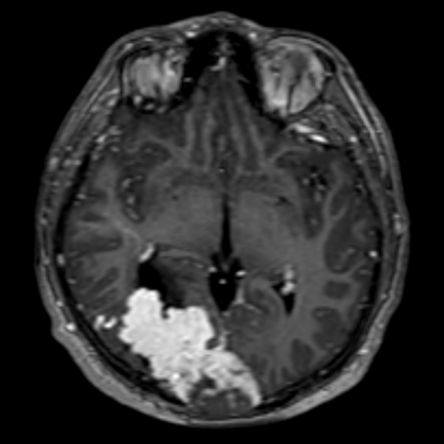
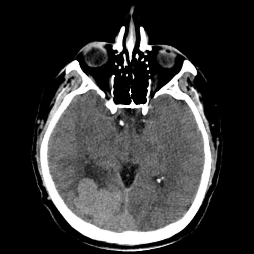
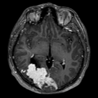
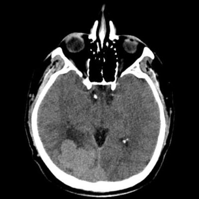
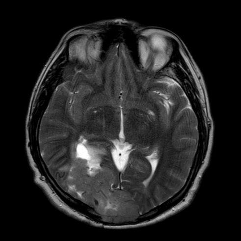
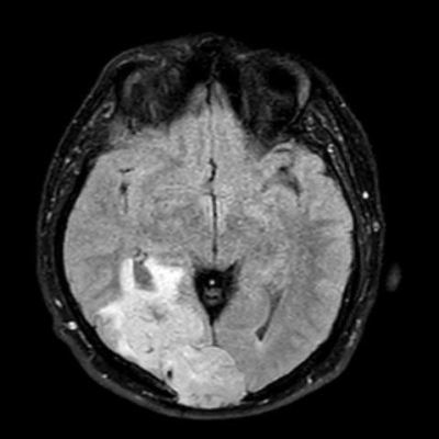
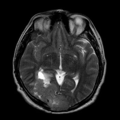
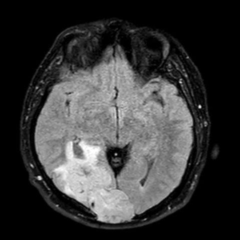
44 yaş, E
Baş ağrısı

Araş. Gör. Dr. Zeynep Özer Ulaş
Doç. Dr. Burçak Çakır Peköz
SBÜ, Adana Tıp Fakültesi, Adana Şehir Hastanesi


Lenfoma
Hemanjiyoperisitoma
Lenfoma
İnvaziv Menenjiom
İntraventricular menenjiom ayırıcı tanısı lenfoma
Soliter fibröz tümör
1.pleomorfik ksantoastrositom (PXA)
2.anaplastik astrositom
3.hivervasküler metastaz
1.pleomorfik ksantoastrositom (PXA),
2.anaplastik astrositom
3.hivervasküler metastaz
Lenfoma
Hemanjioperisitom
hemorajik glioblastoma multiforme (GBM, WHO Grade 4)
Koroid plexus karsinomu
lenfoma
soliter fibröz tümör
Anaplastik meningiom
Menengiom
Lenfoma