Haftanın Olgusu-203 (11 Ağustos 2025)

Haftanın Olgusu

Editör
Dr. Burçak Çakır Peköz
Sağlık Bilimleri Üniversitesi Adana Şehir Eğitim ve Araştırma Hastanesi
Radyoloji Anabilim Dalı
11 Ağustos 2025
ÖyküYanıtlarBulgularAyırıcı TanıTanıTartışmaKaynaklar
29 yaş, K
Baş ağrısı

Araş. Gör. Dr. Furkan KAVAK
Doç. Dr. Mehmet ONAY
Gaziantep Şehir Hastanesi
Radyoloji Anabilim Dalı
Olgu için verilen yanıtlar
- AVM (2 kişi)
- Lipomatöz menenjiom (1 kişi)
- Heterotopik adipoz doku içeren AVM, eşlik eden açık şizensefali, polimikrogri (1 kişi)
- Şizensefali kleftinde kompleks gelişimsel malformasyon (1 kişi)
- Anjiolipom (1 kişi)
- Dermoid kist ve posteriorunda rüptür ile uyumlu olabilecek T1 hiperintensiteler (1 kişi)
- Kortikal yerleşimli muhtemelen tromboze sakküler anevrizma (1 kişi)
- Kavernom (1 kişi)
- Moya moya (1 kişi)
- A) Aksiyel kontrastsız BT’de lezyon yağ dansitesinde (-81HU) (kalın ok) izlenmekte olup lezyon etrafındaki korteks kalın görünümdedir (ince ok).
- B) Aksiyel T2A MRG’de korteks displastik görünümde olup polimikrogri dikkati çekmektedir (ince ok). Sulkus içerisinde ise sinyal void alanları içeren heterojen lezyon (kalın ok) izlenmektedir.
- C) Polimikrogrik korteksle çevrili lezyon T1A’da hiperintens (ok) görünümdedir.
- D) TOF MR anjiografi ham görüntüde lezyon içinde kalan MCA branşında genişleme izlenmektedir (ok).
- E) Yağ baskılı kontrastlı T1A görüntüde lezyonun periferinde sinyalin baskılandığı ve lezyon içerisindeki MCA branşı dışında kontrastlanma göstermediği (ok) dikkati çekmektedir.
- F) TOF MRA koronal MIP görüntüsünde sağ MCA’nın simetriğine göre daha dik seyirli olduğu (oklar) , ve fokal genişleme gösterdiği izlenmektedir.
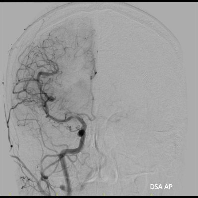
- G) AP, oblik ve lateral DSA görüntülerinde lezyon lokalizasyonunda MCA belirgin (oklar) görünümde olup erken venöz dolum izlenmedi.
- H) Lateral, ters oblik, oblik ve AP 3D DSA görüntülerinde dilate arteriyel vasküler anomali (oklar) izleniyor. Erken venöz dönüş yok.
- Arteriovenöz malformasyon
- Arteriovenöz fistül
- Kavernom
- Hematom
- Lipom, polimikrogri ve vasküler anomali birlikteliği
Lipom, polimikrogri ve vasküler anomali birlikteliği
Tartışma
- Polimikrogri (PMG), intrakranial lipom ve vasküler anormallikler bazen birlikte görülebilir.
- Bu üç durum (PMG, lipom ve vasküler anomali), özellikle lokalize iseler, ortak bir embriyolojik kökene sahip olabilir. Embriyogenez sırasında erken vasküler beslenmenin veya mezenkimal farklılaşmanın bozulması, aşağıdakiler de dahil olmak üzere bir dizi malformasyona neden olabilir:
- Kortikal malformasyonlar (PMG)
- Yağ rezorpsiyonunun başarısızlığı (lipom)
- Anormal vasküler yeniden şekillenme
- İntrakraniyal lipomlar neoplazm veya gerçek hamartomlar olmayıp, menings primitivanın (leptomeninkslerin ve vasküler yapıların mezenkimal öncüsü) yanlış farklılaşmasından kaynaklanır. Aynı ilkel mezenkim; vasküler düz kas ve endotel yapıları ile korteksin destekleyici dokularının oluşumunda da etkilidir.
- Bu nedenle, eş zamanlı PMG ve vasküler malformasyon, erken gebelikte (muhtemelen 10-12 haftadan önce) tek bir embriyolojik hasardan kaynaklanabilir.
- Literatür, PMG’nin lipomlar ve vasküler anormalliklerle birlikte ortaya çıktığını ve bunun genellikle şunlardan kaynaklandığını desteklemektedir:
- Kortikal göç sırasında perfüzyonla ilişkili yaralanma
- Komşu lipomdan kaynaklanan mekanik bozulma
- Olası ortak mezenkimal-ektodermal bozulma
- Özellikle perisilvian korteksteki PMG, epilepsi ile güçlü bir şekilde ilişkilidir ve bu durum Silvian lipomlarında da görülür.
Görüntüleme Bulguları:
- Lipom:
- BT’de düşük dansiteli kontrastlanmayan lezyon (−40 ila −100 HU)
- MRG‘de tüm serilerde yağ dokusu ile izointens sinyal özelliği gösterir.
- Polimikrogri
- MR görüntülemede kortikal yüzeyde çok sayıda küçük, anormal kıvrım ile karakterizedir.
- Korteks genellikle kalınlaşmış, girintili-çıkıntılı ve düzensiz görünür.
- Sulkuslar normalden sığdır veya silinmiştir.
- Korteks ile beyaz cevher sınırı net seçilemez
- T1 ağırlıklı görüntülerde (yüksek çözünürlüklü 3D MPRAGE) kortikal kalınlık ve giral düzensizlik daha iyi değerlendirilir.
- Olgumuzda vasküler anomali tanısı DSA ile konulmuştur.
- Kumar, K. K., Toland, A., Fischbein, N., Morrell, M., Heit, J. J., Born, D. E., & Steinberg, G. K. (2023). Vascular anomaly, lipoma, and polymicrogyria associated with schizencephaly: developmental and diagnostic insights. Illustrative case. Journal of Neurosurgery: Case Lessons, 5(21), CASE2388.
- Karamon KS, Sobstyl M, Rylski M, Wieczorek K. Sylvian fissure lipoma associated with fusiform aneurysm in the middle cerebral artery trifurcation: A case report and literature review. Surg Neurol Int. 2023 Jul 28;14:268. doi: 10.25259/SNI_362_2023. PMID: 37560567; PMCID: PMC10408629.
- Saatci I, Aslan C, Renda Y, Besim A. Parietal lipoma associated with cortical dysplasia and abnormal vasculature: case report and review of the literature. AJNR Am J Neuroradiol. 2000 Oct;21(9):1718-21. PMID: 11039355; PMCID: PMC8174867.
- Baskan O, Geyik S. Frontal lobe lipoma associated with cortical dysplasia and abnormal vasculature. Neuroradiol J. 2014 Dec;27(6):671-5. doi: 10.15274/NRJ-2014-10082. Epub 2014 Dec 1. PMID: 25489889; PMCID: PMC4291796.

