Ödüllü Olgu 51-2 (202)

Gelecek Haftanın Olgusu

Editör
Dr. Burçak Çakır Peköz
Sağlık Bilimleri Üniversitesi Adana Şehir Eğitim ve Araştırma Hastanesi
Radyoloji Anabilim Dalı
Ayın
ÖDÜLLÜ OLGU
Kazananı
Ayın ödüllü olgu kazananı tercihine göre 2025 TNRD Yıllık Kongresi’ne ya da tercihe göre Türk Nöroradyoloji-Türk Pediatrik Nöroradyoloji Diploma kurslarından birine KAYIT HAKKI kazanmıştır.

Zeynep Celile Elmacı Akın
Ondokuz Mayıs Üniversitesi

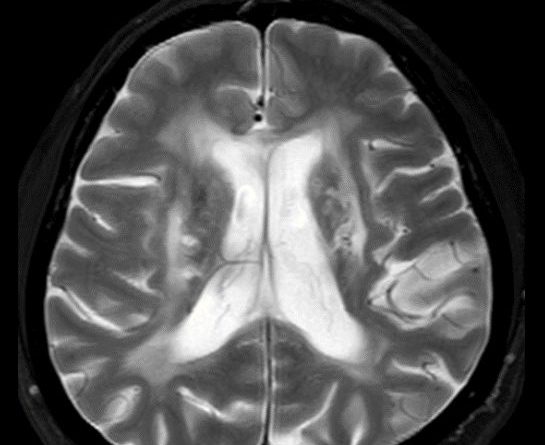
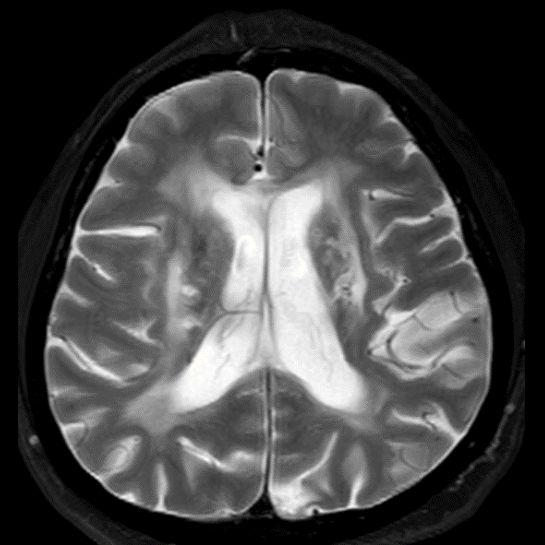
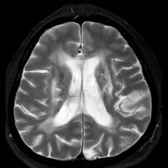
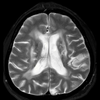
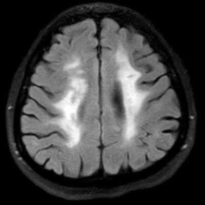
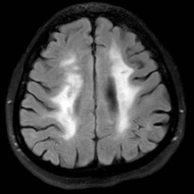
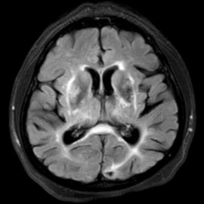
45 yaş, K
4 yıl önce akut sağ hemiparezi, konuşma bozukluğu ve dış merkezde serebellar iskemi tanısı ile ASA kullanımı öyküsü
Konuşma bozukluğu, yersiz gülme ve ağlama atakları, denge kaybı ve uyuşmaları devam ediyor

Doç. Dr. Bora Korkmazer
İstanbul Üniversitesi-Cerrahpaşa Cerrahpaşa Tıp Fakültesi
Radyoloji Anabilim Dalı


CADASIL
CADASIL SENDROMU
CADASIL
Serebellar tip Multisistem Atrofi
CADASIL
Cadasil
MELAS
Multisistem atrofi-serebellar tip