Ödüllü Olgu 31-3

Gelecek Haftanın Olgusu

Editör
Dr. Nursel Yurttutan
Kahramanmaraş Sütçü İmam Üniversitesi, Tıp Fakültesi, Radyoloji Anabilim Dalı
Kahramanmaraş
Ayın
ÖDÜLLÜ OLGU
Kazananları


Tahsin Benlice
Başakşehir Çam ve Sakura Şehir Hastanesi
Merve Başdemirci
Karabük Eğitim ve Araştırma Hastanesi

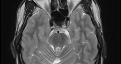
31 yaş, K, adölesan dönemde başlayan myoklonik nöbet
Güncel mikst tip nöbet

Dr. Ekrem Anıl Sarı
Dr. Nuri Karabay
DEÜ Tıp Fakültesi
Radyoloji Anabilim Dalı


Closed lip schencephaly
Closed lip schizencephaly
(Kapalı dudak) şizensefali
Solda kortikal kalınlaşma, fokal kortikal displazi
Şizensefali
Closed lip şizensefali ve kortikal kalınlaşma-polimikrogiri
Closed lip şizensefali- polimikrogri
Fokal kortikal displazi ve polimikrogri
Sol perisilvian sendrom
Solda kortikal kalınlaşma, fokal kortikal displazi
polimikrogri
Perisylvian sendrom