Haftanın Olgusu-222 (22 Aralık 2025)

Haftanın Olgusu

Editör
Dr. Burçak Çakır Peköz
Sağlık Bilimleri Üniversitesi Adana Şehir Eğitim ve Araştırma Hastanesi
Radyoloji Anabilim Dalı
22 Aralık 2025
ÖyküYanıtlarBulgularAyırıcı TanıTanıTartışmaKaynaklar
45 yaş, K
Burun tıkanıklığı ve akıntı

Prof. Dr. Düzgün Yıldırım
Dr. Mustafa Hürmüzlü
Acıbadem Kozyatağı Hastanesi
Radyoloji Anabilim Dalı
Olgu için verilen yanıtlar
- Inverted papillom (11 kişi)
- Sinonazal anjiyomatöz polipozis (1 kişi)
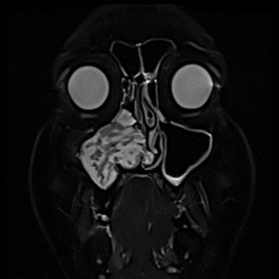
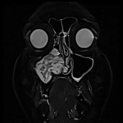
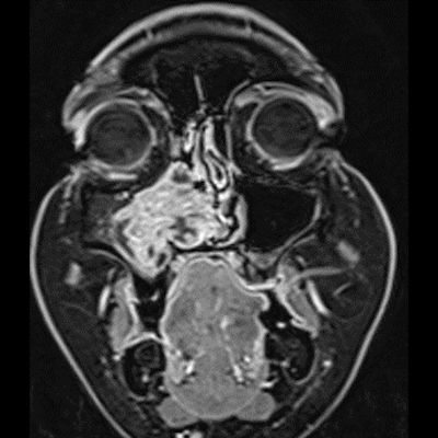
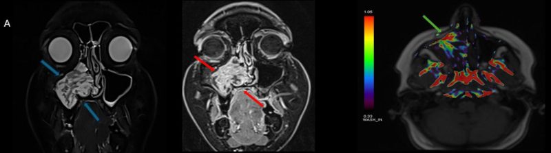
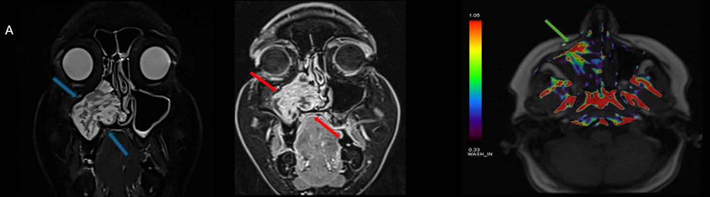
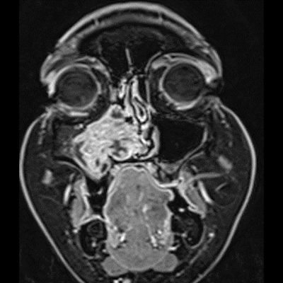
- A) Koronal T2 ağırlıklı görüntülerde sol maksiller sinüs lümenini dolduran, belirgin ‘convoluted’ (karmaşık-kıvrımlı) serebriform patern sergileyen lezyon (oklar), kontrastlı seride heterojen ve yoğun kontrastlanma göstermektedir (oklar). Perfüzyon incelemesinde pedinkülünde perfüzyon artışı gösterdiği, diğer kontrastlanan segmentlerin nispeten hipoperfüze olduğu görülmektedir (ok).
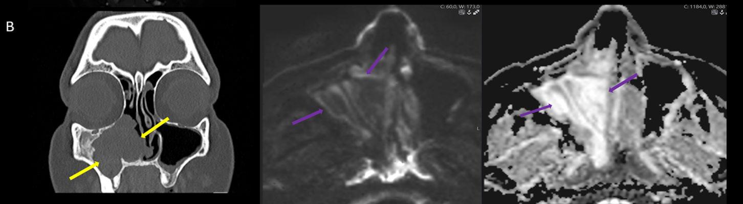
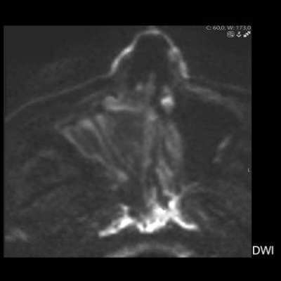
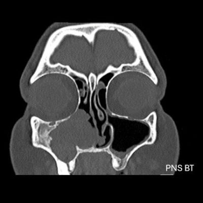
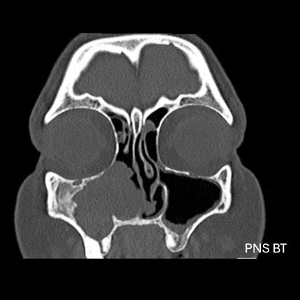
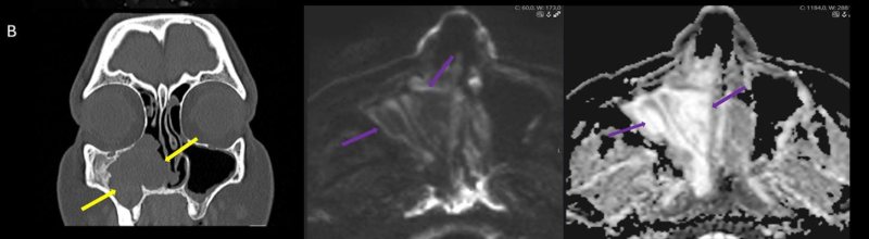
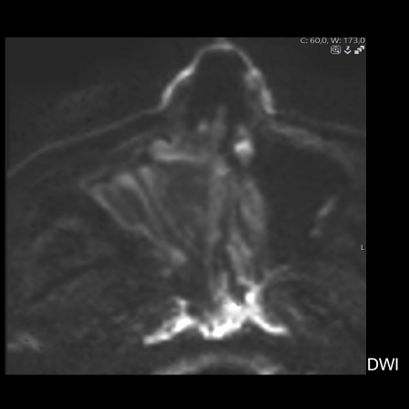
- B) BT incelemesinde maksiller sinüsün duvarları özellikle lateralde daha belirgin olmak üzere reaksiyonel kalınlaştığı izleniyor (oklar). DWI ve ADC haritasında lezyonda belirgin bir kısıtlılık görülmemektedir (oklar).
- Inverted papillom
- Antrokoanal polip
- Mukosel
Inverted papillom
Inverted papillom
- Inverted papilloma (Schneiderian inverted papilloma), sinonazal mukozanın benign ancak lokal agresif, nüks potansiyeli yüksek ve malign transformasyon (özellikle skuamöz hücreli karsinom) ile ilişkilendirilebilen epitelyal bir tümörüdür. Histopatolojik olarak, respiratuar epitelin stromaya doğru endofitik invajinasyonu ile karakterizedir. En sık lateral nazal duvar ve maksiller sinüs kaynaklı olup, tek taraflı nazal obstrüksiyon ve sinüzite benzer klinik presentation ile karşımıza çıkar
Radyolojik bulgular
- En sık lateral nazal duvar ve maksiller sinüs orijinlidir.
- Tümörün köken aldığı bölgede fokal hiperostoz görülebilir. Sinüs duvarlarında erozyon olabilir ancak bu genellikle tümör basısına veya eşlik eden inflamasyona sekonderdir, direkt invazyon kesin değildir. Kalsifikasyon beklenen bir bulgu değildir (olursa atipi veya malign transformasyon akla getirilmeli)
- MR incelemesinde sinonazal inverted papilloma tipik olarak T2 ve post-kontrast T1 serilerde ‘convoluted’ serebriform paternde heterojen sinyal ve kontrastlanma gösteren, pedinküler orijininde daha belirgin perfüzyon artışı sergileyen, genellikle difüzyon kısıtlaması izlenmeyen ve komşu sinüs duvarlarında ekspansiyona bağlı remodelinge yol açabilen benign ancak lokal agresif karakterde bir yumuşak doku kitlesi olarak izlenir.
- Olgumuzda tanı histopatolojik olarak desteklenmiştir.
- Ojiri H, Ujita M, Tada S, et al. Potentially distinctive features of sinonasal inverted papilloma on MR imaging. AJR Am J Roentgenol. 2000;175(2):465-468
- Maroldi R, Farina D, Palvarini L, et al. Inverted papilloma: radiologic findings with histopathologic correlations. Radiographics. 2004;24(3):739-752
- Jeon TY, Kim HJ, Chung SK, et al. Sinonasal inverted papilloma: value of convoluted cerebriform pattern on MR imaging. AJNR Am J Neuroradiol. 2008;29(8):1556-1560

