Haftanın Olgusu

Haftanın Olgusu-216 (10 Kasım 2025)

Haftanın Olgusu

Editör

Dr. Burçak Çakır Peköz
Sağlık Bilimleri Üniversitesi Adana Şehir Eğitim ve Araştırma Hastanesi
Radyoloji Anabilim Dalı

10 Kasım 2025

ÖyküYanıtlarBulgularAyırıcı TanıTanıTartışmaKaynaklar

31 yaş, E
HIV +, bilinç durum değişikliği

Ast. Dr. Zelihanur İLHAN
Doç. Dr. Hediye Pınar GÜNBEY
SBÜ Kartal Dr. Lütfi Kırdar Şehir Hastanesi​
Radyoloji Kliniği

Olgu için verilen yanıtlar

  1. Progresif multifokal lökoensefalopati (PML) (16 kişi)
  2. HIV ilişkili SSS lenfoması (2 kişi)
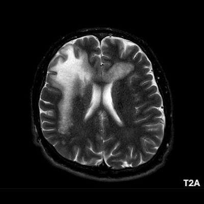
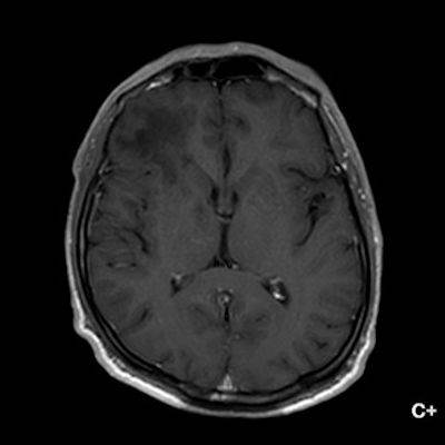
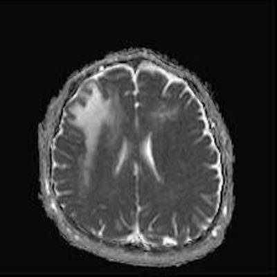
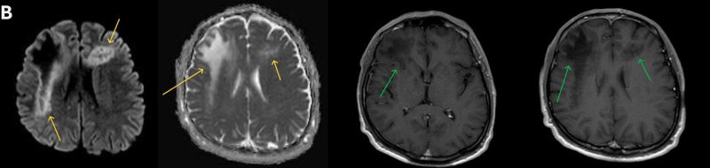
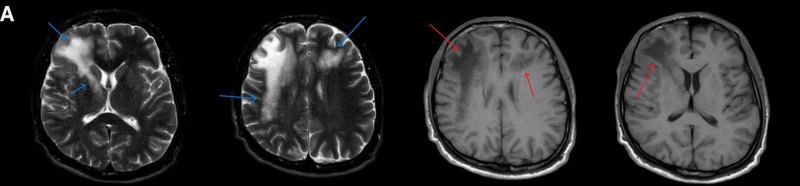
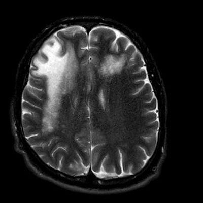
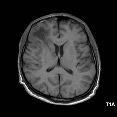
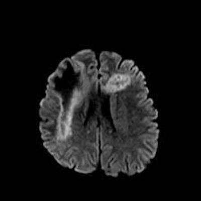
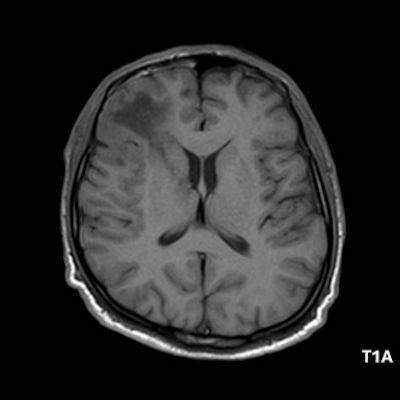
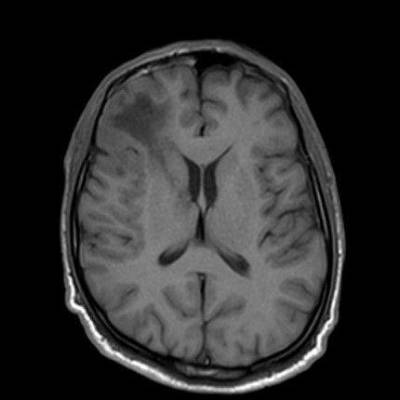
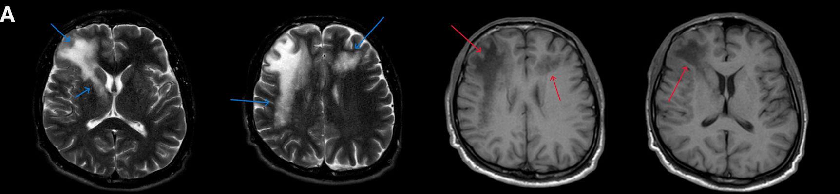
  1. A) Aksiyel T2A görüntülerde bilateral sağda belirgin frontoparietal subkortikal ve derin periventriküler beyaz cevherde subkortikal U fiberleri boyunca yerleşimli sinyal artımları (oklar) izlendi.  Tarifli alanlar aksiyel T1A serilerde hipointens görünümde (oklar) izlendi.
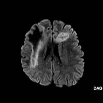
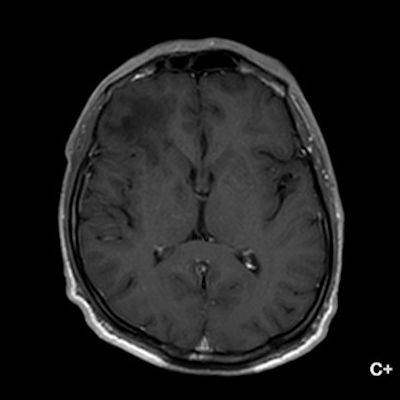
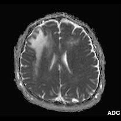
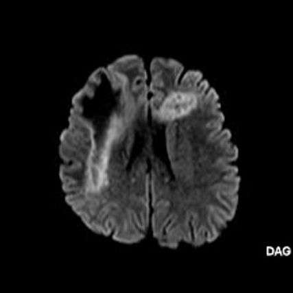
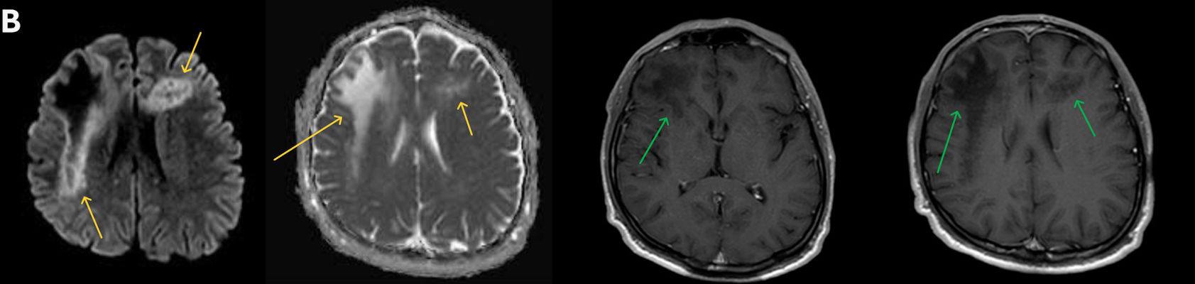
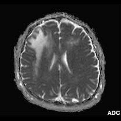
  2. B) Aksiyel diffüzyon ağırlıklı serilerde bilateral sağda belirgin frontoparietal subkortikal ve derin periventriküler beyaz cevherde periferal DAG hiperintens ADC hipointens, hafif diffüzyon kısıtlaması (oklar) eşlik etmektedir. IVKM sonrası kesitlerde tarifli alanlarda belirgin kontrast tutulumu (oklar) izlenmedi.
  3. C) Tanımlanan düzeylere yönelik yapılan Perfüzyon MR incelemede belirgin perfüzyon artışı saptanmadı. Bu düzeye yönelik yapılan TE 144 multi ve single voksel MRS incelemede Cho/Cr  oranlarında hafif artış, NAA oranlarında azalma mevcuttur. Yer yer laktat pikleri görüldü.
  1. HIV ile ilişkili progresif multifokal lökoensefalopati (HIV associated-PML)
  2. HIV/AIDS ensefalopatisi
  3. Akut dissemine ensefalomiyelit (ADEM)
  4. HIV/AIDS ilişkili SSS lenfoması

HIV ile ilişkili  progresif multifokal lökoensefalopati
(HIV associated-PML)

HIV ilişkili PML

  1. Progressive multifokal lökoensefalopati (PML), immün sistemi baskılanmış hastalarda JC virus reaktivasyonu sonucu oligodendrositlerin enfekte olmasıyla gelişen, ölümcül seyirli demiyelinizan bir beyin hastalığıdır. PML, klasik olarak HIV/AIDS ile ilişkili olmakla birlikte, immünosupresyonun diğer nedenleriyle de ortaya çıkabilir. HIV ile ilişkili olgularda, CD4 sayısının 50-100 hücre/μL seviyesine düştüğünde ortaya çıkar ve AIDS nedeniyle hayatını kaybeden hastaların otopsilerinde yaklaşık %5 oranında saptanır.
  2. PML hastaları çeşitli nörolojik semptomlarla başvurur. En sık görülen semptomlar arasında mental durum değişiklikleri, motor defisitler, ekstremite ve yürüme ataksisi, görsel semptomlar (diplopi, hemianopi) ve ileri evrelerde gri cevher tutulumu ile ilişkili olarak ortaya çıkabilen nöbetler yer alır.

Görüntüleme Bulguları

  1. PML’de MRG bulguları genellikle multifokal, asimetrik periventriküler ve subkortikal beyaz cevher tutulumu şeklindedir. Subkortikal U-fiberleri sıklıkla tutulur, özellikle parietooksipital bölgelerde belirgin lezyon eğilimi vardır.
  2. T1 ağırlıklı görüntülerde tutulan bölgeler hipointens, T2A’da ise hiperintens izlenir. Ana lezyon çevresinde çok sayıda noktasal (milkyway) sinyal artımları görülebilir. Ayrıca spleniumu çaprazlayan parietooksipital sinyal değişiklikleri (barbell bulgusu) ve dentat nukleusu koruyarak serebellar beyaz cevher tutulumu (shrimp bulgusu) da tanımlanmıştır.
  3. Kontrastlı incelemelerde genellikle kontrast tutulumu izlenmez. Diffüzyon görüntülemede özellikle lezyonun ilerleyen periferik alanlarında yamalar halinde diffüzyon kısıtlılığı izlenir. MR spektroskopide NAA azalması, laktat varlığı ve artmış kolin ve lipid düzeyleri görülür. MR perfüzyonda ise lezyonların ilerleyen kenarında perfüzyon artışı saptanabilir.
  4. Bizim hastamızda bilinen HIV enfeksiyonu mevcuttu ve yapılan kraniyal MR görüntülemede multifokal, asimetrik, periventriküler ve subkortikal beyaz cevherde yerleşimli, kitle etkisi göstermeyen ve kontrastlanmayan lezyonlar izlendi. Lezyonların subkortikal U-fiberleri tutması ve özellikle parieto-oksipital bölgelerde belirgin olması nedeniyle ön planda PML düşünüldü. Histopatolojik tetkik ile PML tanısı doğrulandı.
  • Iannetta M, Bellizzi A, Lo Menzo S, Anzivino E, D’Abramo A, Oliva A, D’Agostino C, d’Ettorre G, Pietropaolo V, Vullo V, Ciardi MR. HIV-associated progressive multifocal leukoencephalopathy: longitudinal study of JC virus non-coding control region rearrangements and host immunity. J Neurovirol. 2013 Jun;19(3):274-9. doi: 10.1007/s13365-013-0167-9. Epub 2013 May 29. PMID: 23715894; PMCID: PMC3695672.
  • Sharma SK, Soneja M, Ranjan S, Miglani S, Hari S, Sinha S, Wig N. Progressive multifocal leucoencephalopathy in HIV/AIDS: observational study from a tertiary care centre in northern India. Indian J Med Res. 2013;138(1):72-7. PMID: 24056558; PMCID: PMC3767257.
  • Iranzo A, Moreno A, Pujol J et al. Proton Magnetic Resonance Spectroscopy Pattern of Progressive Multifocal Leukoencephalopathy in AIDS. J Neurol Neurosurg Psychiatry. 1999;66(4):520 3. doi:10.1136/jnnp.66.4.520
  • Mark A & Atlas S. Progressive Multifocal Leukoencephalopathy in Patients with AIDS: Appearance on MR Images. Radiology. 1989;173(2):517-20. doi:10.1148/radiology.173.2.2798883.

Cahit Güçlü

TNRD