Haftanın Olgusu-210 (29 Eylül 2025)

Haftanın Olgusu

Editör
Dr. Burçak Çakır Peköz
Sağlık Bilimleri Üniversitesi Adana Şehir Eğitim ve Araştırma Hastanesi
Radyoloji Anabilim Dalı
29 Eylül 2025
ÖyküYanıtlarBulgularAyırıcı TanıTanıTartışmaKaynaklar
50 yaş, K
Bilinç bulanıklığı

Uzm. Dr. Umut Asfuroğlu
Ankara Etlik Şehir Hastanesi
Doç. Dr. Emetullah Cindil
Gazi Üniversitesi Tıp Fakültesi
Radyoloji Anabilim Dalı
Olgu için verilen yanıtlar
- Santral sinir sistemi lenfoması (11 kişi)
- Beyin metastazları (1 kişi)
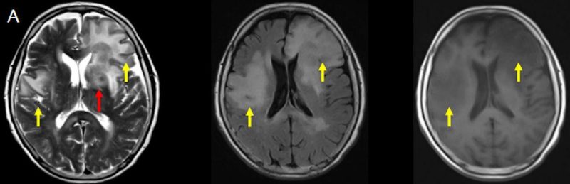
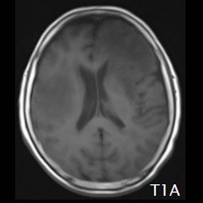
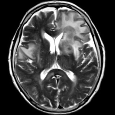
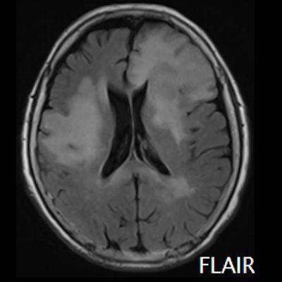
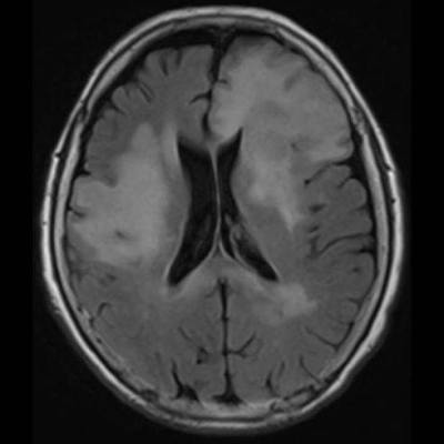
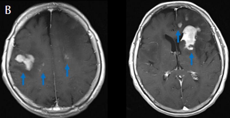
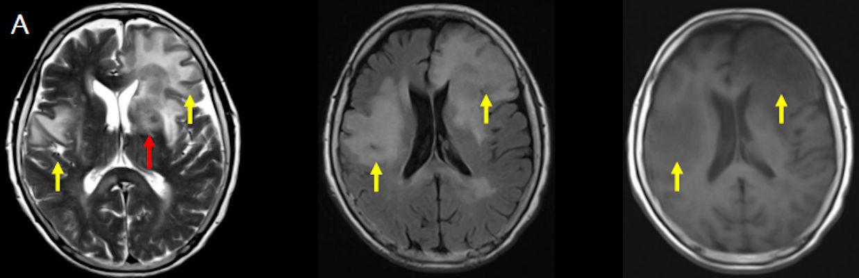
- (A) Her iki periventriküler beyaz cevherde aksiyel T2A, FLAIR serilerde hiperintens, T1A hipointens geniş ödem alanları (oklar) izlenmektedir. Sol frontalde T2A’da hipointens kitle lezyonuna (ok) dikkat ediniz.
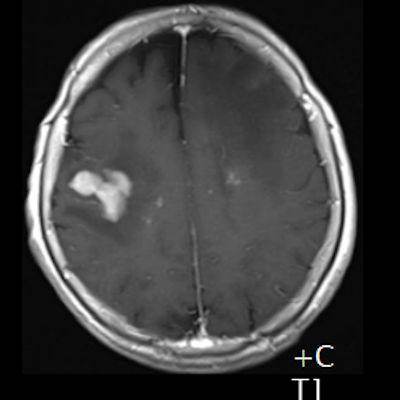
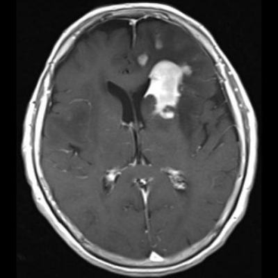
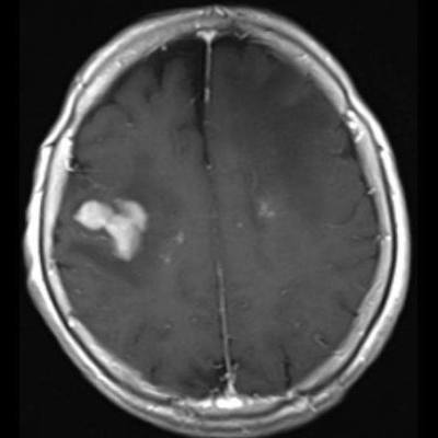
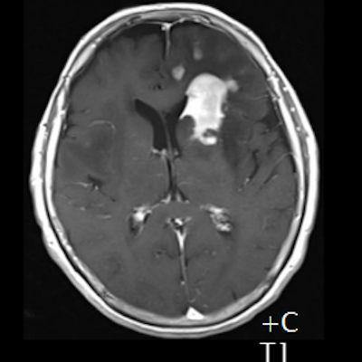
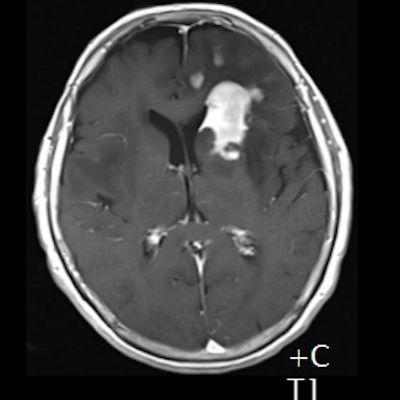
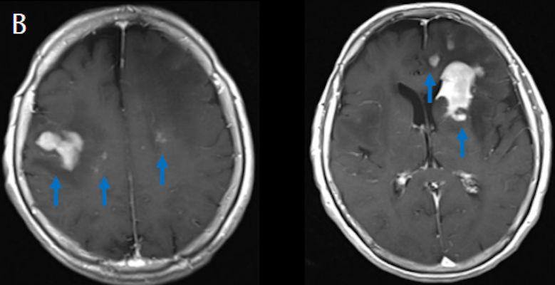
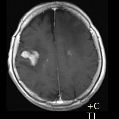
- (B) Aksiyel postkontrast T1A görüntülerde büyüğü sol frontalde kontrastlanma gösteren multipl kitle lezyonları (oklar) izlenmektedir.
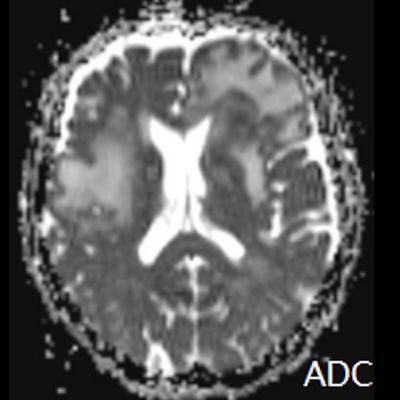
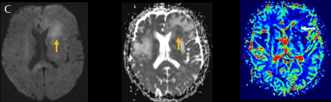
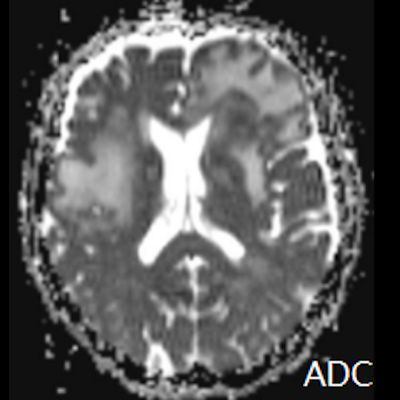
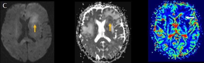
- (C) Difüzyon ağırlıklı görüntülerde sol frontaldeki kitle lezyonunda difüzyon kısıtlama bulgusu (oklar) mevcut olup perfüzyon MRG’de rCBV haritasında belirgin perfüzyon artışı izlenmemektedir (ok).
- Glioblastom
- SSS primer diffüz büyük B hücreli lenfoma (DBBHL)
- Sekonder SSS lenfoma
- Serebral toksoplazmozis
- Serebral abse
- Metastaz
SSS primer difüz büyük B hücreli lenfoma (DBBHL)
SSS primer difüz büyük B hücreli lenfoma (DBBHL)
- SSS lenfomaları, gliomlardan sonra erişkinlerde en sık görülen primer beyin tümörüdür.
- Primer SSS lenfomalarının çoğu diffüz büyük B hücreli lenfomalardır (DBBHL). Bu tümörler kemoterapi ve radyoterapiye oldukça duyarlı olsalar da nüks oranları yüksektir.
- Primer SSS lenfoması, sistemik tutulum belirtisi olmaksızın beyni, spinal kordu, leptomeninksleri veya vitreoretinal boşluğu etkileyen nadir bir ekstranodal lenfomatöz hastalıktır.
- Primer SSS lenfoması, hem immünkompetan hem de immükompremize bireylerde ortaya çıkabilir ve etiyoloji, prezentasyon ve davranış açısından farklılıklar gösterebilir.
- HIV/AIDS olguları veya transplantasyon sonrası olgular gibi immünkompremize olgular, Epstein-Barr virüsüyle ilişkili primer SSS lenfoması açısından daha yüksek risk altındadır.
- Her yaşta görülebilmekle birlikte, ortalama görülme yaşı 56 -61’dir.
- Sekonder SSS lenfomaları sıklıkla leptomeningeal tutulum ile prezente olurken; primer SSS lenfomalarında genellikle soliter veya multipl parankimal kitleler izlenir.
- Tanı genellikle kontrast tutan beyin lezyonlarının biyopsisi, vitröz biyopsisi veya beyin omurilik sıvısı örneklemesi yoluyla konur.
- Olguda tanı sol frontalde kontrast tutan lezyondan yapılan beyin biyopsisi ile konulmuştur.
Görüntüleme Bulguları
- Genellikle supratentoriyal alanda, bazal ganglion, periventriküler beyaz cevher, orta hat ve korpus kallozum vb. yerleşme eğiliminde tek veya multipl kitleler şeklinde görülür.
- Kitleler çoğunlukla solid ve homojendir.
- MRG’de, lenfomalar tipik olarak T2A sekanslarda hipointens olup DAG’de belirgin difüzyon kısıtlanması gösterirler.
- T2 sinyali belirgin düşük olgularda b=1000 görüntülerde hipointens görünüm izlenebilir ve T2 kararması (T2 black-out) etkisi olarak adlandırılan bu durum yanlış yorumlamalara yol açabilir. Bu nedenle gerçek difüzyon kısıtlamasını değerlendirmede ADC haritaları daha güvenilirdir.
- Perfüzyon MRG’de düşük-orta düzey CBV değerleri izlenir. Lenfomalarda düşük CBV değerleri, kötü prognoz göstergesidir.
- MR spektroskopide kolin/kreatin oranında artış, N-asetil aspartat (NAA) pikinin azalması ve laktat ve lipid pikleri varlığı görülür.
- Schaff, Lauren R., and Christian Grommes. “Primary central nervous system lymphoma.” Blood, The Journal of the American Society of Hematology 140.9 (2022): 971-979.
- Pons-Escoda A, Naval-Baudin P, Velasco R, Vidal N, Majós C. Imaging of lymphomas involving the CNS: an update-review of the full spectrum of disease with an emphasis on the World Health Organization classifications of CNS tumors 2021 and hematolymphoid tumors 2022. American Journal of Neuroradiology. 2023;44(4):358-66.
- Valles F, Perez-Valles C, Regalado S, Barajas R, Rubenstein J, Cha S. Combined diffusion and perfusion MR imaging as biomarkers of prognosis in immunocompetent patients with primary central nervous system lymphoma. American Journal of Neuroradiology. 2013;34(1):35-40.

