Haftanın Olgusu-221 (15 Aralık 2025)

Haftanın Olgusu

Editör
Dr. Burçak Çakır Peköz
Sağlık Bilimleri Üniversitesi Adana Şehir Eğitim ve Araştırma Hastanesi
Radyoloji Anabilim Dalı
15 Aralık 2025
ÖyküYanıtlarBulgularAyırıcı TanıTanıTartışmaKaynaklar
48 yaş, E
Burun tıkanıklığı ve epistaksis

Prof. Dr. Düzgün Yıldırım
Dr. Mustafa Hürmüzlü
Acıbadem Kozyatağı Hastanesi
Radyoloji Anabilim Dalı
Olgu için verilen yanıtlar
- Olfaktör nöroblastom (estezionöroblastom) (5 kişi)
- Inverted papillom (5 kişi)
- Anjiofibrom (3 kişi)
- Nazal septal kondromiksoma (1 kişi)
- Sinonazal melanoma (1 kişi)
- Mukosel (1 kişi)
- Piyojenik granülom (1 kişi)
- Sinonazal SCC (1 kişi)
- BOS rinoresi (1 kişi)
- Fungal sinüzit (1 kişi)
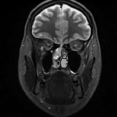
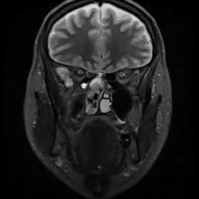
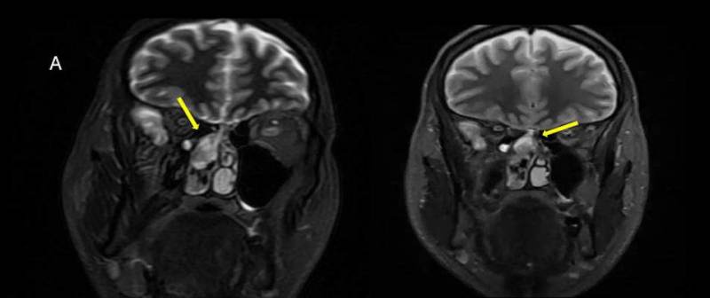
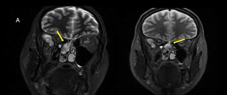
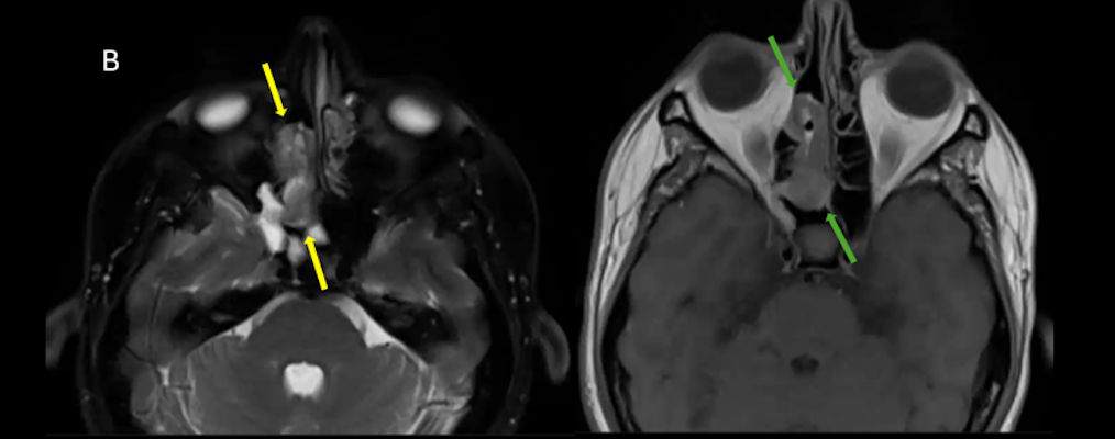
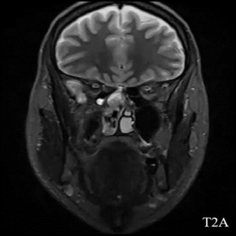
- A) Koronal T2A görntüde sağ süperior nazal kavite içerisinde hafif ekpansil karakterde, keskin sınırlı, nisbeten lobüle konturlu heterojen ara sinyal intensitye sahip yumşak doku lezyonu izleniyor (oklar).
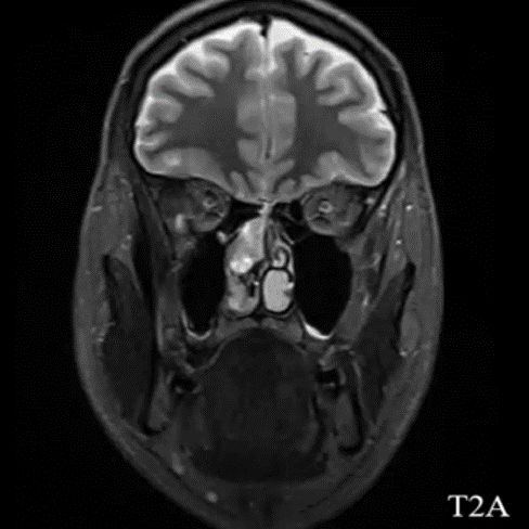
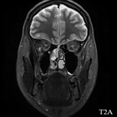
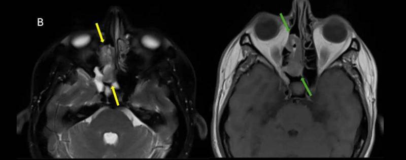
- B) Aksiyel T2A (oklar) ve T1A (oklar) görüntülerde lezyonun süperior nazal kavitede ve ara sinyal intensitede olduğu izleniyor.
- Sinonazal karsinom
- Estezionöroblastom
- Melanom metastazı
Estezionöroblastom
Estezionöroblastom
- Estezionöroblastom (olfaktör nöroblastom), nazal kavitenin üst kısmındaki olfaktör nöroepitelyumdan köken alan, nadir görülen malign bir nöroektodermal tümördür. Genellikle lamina cribrosa komşuluğunda gelişir ve etmoid sinüsler, orbita ve anterior kraniyal fossaya lokal invazyon gösterebilir. En sık semptomlar tek taraflı nazal obstrüksiyon, epistaksis ve anosmi olup ilerleyen olgularda görme bozuklukları ve kraniyal sinir tutulumu gelişebilir.
Görütüleme bulguları
- Estezionöroblastom görüntülemede tipik olarak nazal kavite tavanında, lamina cribrosa düzeyinden köken alan, etmoid sinüsler, orbita ve anterior kraniyal fossaya yayılım gösterebilen lobüle, agresif karakterli bir yumuşak doku kitlesi olarak izlenir ve sıklıkla komşu kemik yapılarda destrüksiyona neden olur. MR’da lezyon genellikle T1-ağırlıklı serilerde izo/hipointens, T2-ağırlıklı serilerde hiperintens sinyal özelliği gösterir ve kontrast sonrası heterojen güçlü kontrastlanma izlenir. İntrakraniyal uzanım varlığında tümör ile frontal lob parankimi arasında izlenen peritümöral periferik kistik değişiklikler, estezionöroblastom için literatürde tanımlanmış ayırt edici ve spesifik bir MR bulgusudur.
- Bununla birlikte görüntüleme bulguları her olguda tipik olmayabilir ve diğer sinonazal malignitelerle örtüşebilir. Bizim olgumuzda MR bulguları tipik özellikleri yansıtmamış olup, kesin tanı postoperatif histopatolojik inceleme ile estezionöroblastom olarak konulmuştur.
- Joshi RR, et al. MRI characteristics of olfactory neuroblastoma with emphasis on intracranial extension and peritumoral cysts. Neuroradiology. 2021;63(5):741–749
- Yousaf S, et al. Imaging of olfactory neuroblastoma (esthesioneuroblastoma). Clin Radiol. 2020;75(1):1–11

