Ödüllü Olgu 61-1 (241)

Gelecek Haftanın Olgusu

Editörler
Dr. Özlem Alkan
Dr. Rahşan Göçmen
Dr. Nursel Yurttutan
Dr. Anıl Özgür
Dr. Burçak Çakır Peköz
Ayın
ÖDÜLLÜ OLGU
Kazananı
Ayın ödüllü olgu kazananı tercihine göre 2025 TNRD Yıllık Kongresi’ne ya da tercihe göre Türk Nöroradyoloji-Türk Pediatrik Nöroradyoloji Diploma kurslarından birine KAYIT HAKKI kazanmıştır.

Müge Oral
Yediepe Üniversitesi

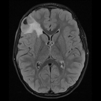
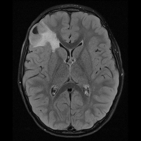
7 yaş, E
Nöbet

Dr. Ümit TÜZÜN
Neolife Tıp Merkezi


dnet
DNET
Disembriyoplastik nöroepiteliyal tümör (DNET)
DNET (Dysembryoplastic neuroepithelial tumor)
DNET
Pleomorfik ksantoastrositom
IDH mutant astrositom
Diffuse astrocytoma MYB or MYBL1 altered
Disembriyoplastik nöroepitelyal tümör (DNET)
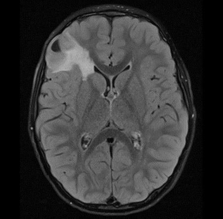
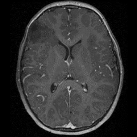
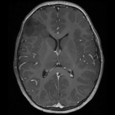
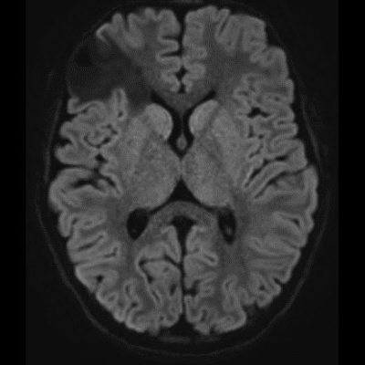
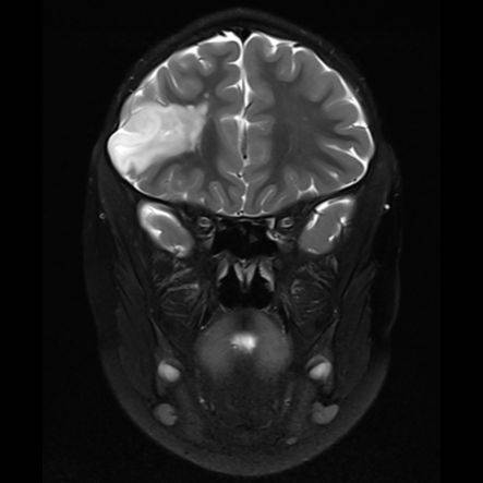
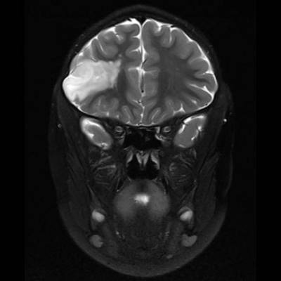
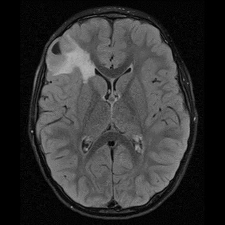
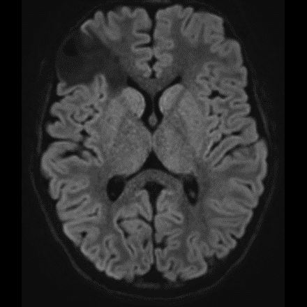
DNET:Özellikle erkek çocuk ve nöbet öyküsüyle gelen hasta kortikal yerleşim ve t1 ağırlıklı serilerde hipointens t2a ve flair serilerde ise hiperintens görülmesi bu tanıma uymaktadır. Hastaların 5’te birinde frontal lobda da tutulum olabilir. Lezyon çevresinde ödem ya da içerisinde kalsifik odak izlenmemiştir:
DNET:Özellikle erkek çocuk ve nöbet öyküsüyle gelen hasta kortikal yerleşim ve t1 ağırlıklı serilerde hipointens t2a ve flair serilerde ise hiperintens görülmesi bu tanıma uymaktadır. Hastaların 5’te birinde frontal lobda da tutulum olabilir. Lezyon çevresinde ödem ya da içerisinde kalsifik odak izlenmemiştir.
DNET
DNET
Dnet
DNET
DNET
DNET
DNET
DNET
Gangliogliyom gangliositom
Pleomorfik Ksantoastrositoma
Lipidize ganglioglioma
Disembriyoplastik nöroepiteliyal tömörler (DNET)
DNET
gangliogliom
DNET
FCD Tip 3B
Dysembryoplastic neuroepithelial tumor (DNET)