Ödüllü Olgu 58-4 (232)

Gelecek Haftanın Olgusu

Editörler
Dr. Özlem Alkan
Dr. Rahşan Göçmen
Dr. Nursel Yurttutan
Dr. Anıl Özgür
Dr. Burçak Çakır Peköz
Ayın
ÖDÜLLÜ OLGU
Kazananı
Ayın ödüllü olgu kazananı tercihine göre 2025 TNRD Yıllık Kongresi’ne ya da tercihe göre Türk Nöroradyoloji-Türk Pediatrik Nöroradyoloji Diploma kurslarından birine KAYIT HAKKI kazanmıştır.

Ahmet Bozer
İzmir Şehir Hastanesi

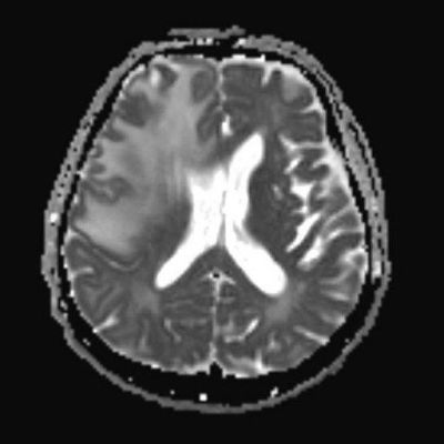
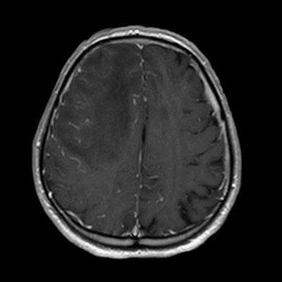
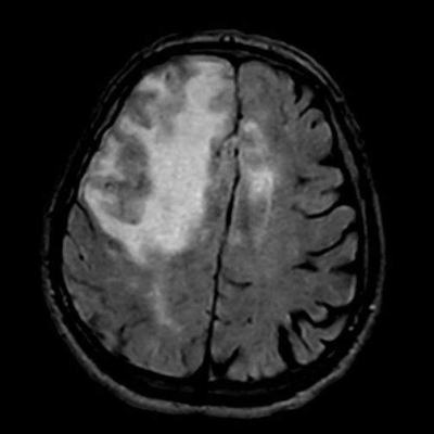
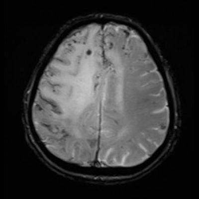
77 Y, E
1 aydır sol kol ve bacakta güçsüzlük, konfüzyon
Enfeksiyon markerları negatif

Prof. Dr. Şenay Demir Kekeç
Başkent Üniversitesi
Adana Doktor Turgut Noyan Uygulama ve Araştırma Merkezi
Radyoloji AD


Yüksek dereceli gliyal tümör
Diffüz infiltratif gliom (gliomatozis cerebri paterni)
Inflamatuar serebral amiloid anjiopati
inflamatuar serebral amiloid anjiopati
venöz enfarkt
İnflamatuar serebral amiloid anjiyopati
İnflamatuar amiloid anjiopati
Venöz enfarkt
Lenfoma
yüksek dereceli diffüz gliom
inflamatuar amiloid anjiopati
Progressif multifokal lökoensefalopati
İnflamatuar amiloid anjiopati
Lemfomatozis serebri
Glioblastoma (GBM)
İnflamatuar amiloid anjiopati
İnflamatuar serebral amiloid anjiopati
Serebral Amiloid Anjiyopatiye ile ilişkili inflamasyon (CAA-ri)
PRİMER SANTRAL SİNİR SİSTEMİ VASKULİTİ (PCNSV)
PRİMER SANTRAL SİNİR SİSTEMİ VASKULİTİ (PCNSV).
Serebral amiloid anjiopati.
Meningeoensefalit
İnflamatuar serebral amiloid anjiyopati
enflamatuar serebral amiloid anjiopati
mogad
Serebral amiloid anjiopati ilişkili inflamasyon