Ödüllü Olgu 29-3

Gelecek Haftanın Olgusu

Editör
Dr. Nursel Yurttutan
Kahramanmaraş Sütçü İmam Üniversitesi, Tıp Fakültesi, Radyoloji Anabilim Dalı
Kahramanmaraş
Ayın
ÖDÜLLÜ OLGU
Kazananları


Hasan Jamammadov
Prof. Dr. Süleyman Yalçın Şehir Hastanesi
Deniz Apalan
Sivas Cumhuriyet Üniversitesi

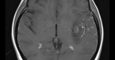
43 yaş, erkek
Nöbet öyküsü

Prof. Dr. Mehmet H. Atalar
Dr. Öğr. Üyesi Nisa Başpınar
Sivas Cumhuriyet Üniversitesi Tıp Fakültesi
Radyoloji Anabilim Dalı


FCD tip 2
Fokal kortikal displazi (Tip II)
Fcd (tip2)
fokal kortikal displazi-sol frontal lob
Fokal kortikal displazi tip 2 (transmantle sign)