Haftanın Olgusu-215 (3 Kasım 2025)

Haftanın Olgusu

Editör
Dr. Burçak Çakır Peköz
Sağlık Bilimleri Üniversitesi Adana Şehir Eğitim ve Araştırma Hastanesi
Radyoloji Anabilim Dalı
3 Kasım 2025
ÖyküYanıtlarBulgularAyırıcı TanıTanıTartışmaKaynaklar
12 yaş, E
Yutma güçlüğü, tremor

Ast. Dr. Zelihanur İLHAN
Doç. Dr. Hediye Pınar GÜNBEY
SBÜ Kartal Dr. Lütfi Kırdar Şehir Hastanesi
Radyoloji Kliniği
Olgu için verilen yanıtlar
- Leukoencephalopathy with brainstem and spinal cord involvement and lactate elevation (9 kişi)
- Metakromatik lökodistrofi (5 kişi)
- Krabbe hastalığı (2 kişi)
- Wilson hastalığı (2 kişi)
- Persistan trigeminal arter (1 kişi)
- Leigh sendromu (1 kişi)
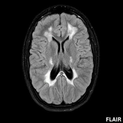
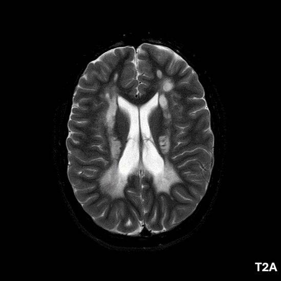
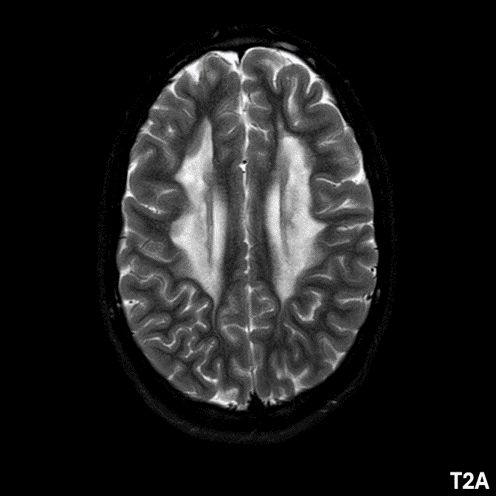
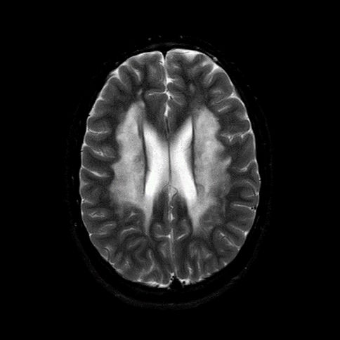
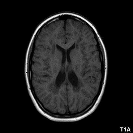
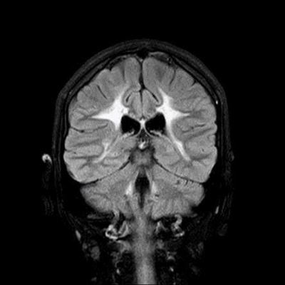
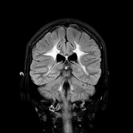
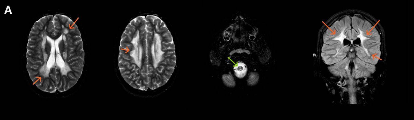
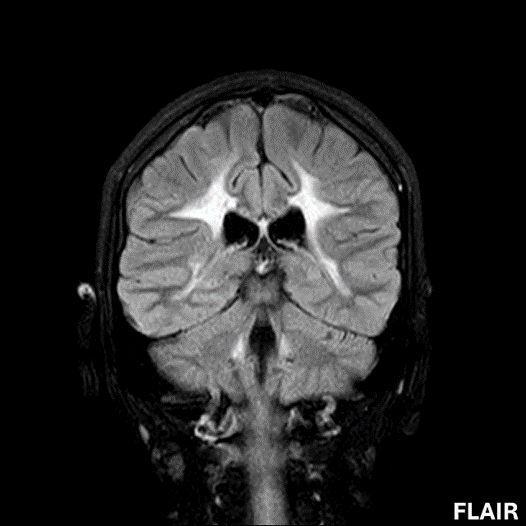
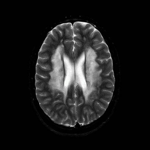
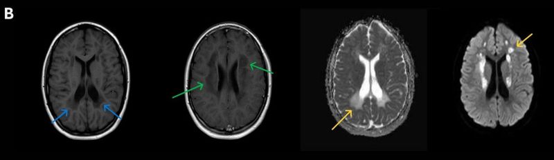
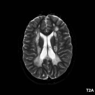
- A) Aksiyel T2A ve koronal T2A sekanslarda sentrum semiovale, korona radiata ve bazal ganglionlar düzeyinde bilateral frontoparietal derin periventriküler beyaz cevherde birleşme eğilimi gösteren hiperintens gliotik sinyal değişiklikleri (oklar) ve aksiyel T2A serilerde servikal spinal kordda posterior kolonda, lateral kesimlerde sinyal artımları (oklar) izlendi.
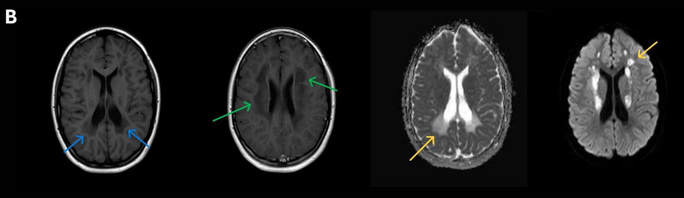
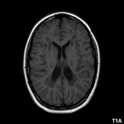
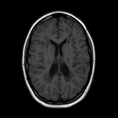
- B) Kontrastsız T1A serilerde tarifli alanlarda hipointens (oklar) görünüm izlendi. Kontrastlı T1A serilerde bu düzeyde (oklar) kontrastlanma artışı izlenmedi. Diffüzyon ağırlıklı serilerde belirgin diffüzyon kısıtlaması (oklar) görülmedi.
- HBSL (Hypomyelination with brainstem and spinal cord involvement and leg spasticity)
- LBSL (Leukoencephalopathy with brainstem and spinal cord involvement and lactate elevation) Beyin sapı ve omurilik tutulumu ile birlikte laktat artışı gösteren lökoensefalopati
Beyin sapı ve omurilik tutulumu ile birlikte laktat artışı gösteren lökoensefalopati: LBSL (Leukoencephalopathy with brainstem and spinal cord involvement and lactate elevation)
LBSL
- Beyin sapı ve omurilik tutulumu ile laktat artışı gösteren lökoensefalopati (LBSL), yavaş ilerleyen piramidal, serebellar ve dorsal kolon disfonksiyonu ile karakterize, otozomal resesif kalıtılan DARS2 genindeki mutasyonlardan kaynaklanan nadir bir lökoensefalopatidir.
- Kesin prevalansı bilinmemektedir. Genellikle 2-6 yaş arasında semptomlar başlar; ancak erken infantil, antenatal ve juvenil başlangıçlı formlar da tanımlanmıştır. Klinik bulgular arasında yürüme bozukluğu ile seyreden serebellar ataksi, bacaklarda belirgin olan spastisite ve güçsüzlük, propriyosepsiyon kaybı mevcut olup bazı olgularda ek olarak epilepsi, periferik nöropati, konuşma bozukluğu, gelişimsel gecikme ve zihinsel gerilik görülebilir. Hastaların yaklaşık yarısı 18 yaşına gelmeden mobilite desteğine ihtiyaç duyar.
Görüntüleme Bulguları
- LBSL, karakteristik radyolojik özelliklere sahiptir. MRG’de tipik olarak bilateral ve simetrik beyaz cevher sinyal değişiklikleri görülürken, subkortikal U lifleri, internal kapsülün posterior kolları, trigeminal sinir traktları, serebellum, korpus kallozumun spleniumu, medulla oblongata ve omurilikteki dorsal kolonlar ile lateral kortikospinal traktlar genellikle korunur.
- Etkilenen bölgelerde T1’de hipointens, T2/FLAIR’da hiperintens sinyal değişiklikleri izlenir. DWI’de lezyonların periferinde kısıtlı difüzyon görülebilir. MRS’de beyaz cevherde laktat artışı saptanabilir, ancak bu her hastada mevcut değildir.
- LBSL tanısında majör kriterler; subkortikal U lifleri korunmuş serebral beyaz cevher, servikal düzey dahil omurilik dorsal kolonları ve lateral kortikospinal traktlar, medulla oblongata piramitleri veya medial lemniskus dekusasyonu tutulumu iken; minör kriterler korpus kallozum spleniumu, internal kapsül posterior kolu, superior ve inferior serebellar pedinküller, trigeminal sinir traktları, mezensefalik trigeminal yollar, medulla oblongata anterior spinosebellar traktları ve serebellar beyaz cevherdeki sinyal değişiklikleridir.
- LBSL, otozomal resesif geçiş gösteren ve DARS2 genindeki mutasyonlardan kaynaklanan bir hastalıktır. Bizim hastamızda yapılan genetik analizde DARS2 geninde patojenik varyant saptanmış olup, klinik ve radyolojik bulgularla uyumlu olarak LBSL tanısı kesinleşmiştir.
- van Berge L, Hamilton EM, Linnankivi T, Uziel G, Steenweg ME, Isohanni P, Wolf NI, Krägeloh-Mann I, Brautaset NJ, Andrews PI, de Jong BA, al Ghamdi M, van Wieringen WN, Tannous BA, Hulleman E, Würdinger T, van Berkel CG, Polder E, Abbink TE, Struys EA, Scheper GC, van der Knaap MS. Leukoencephalopathy with brainstem and spinal cord involvement and lactate elevation: clinical and genetic characterization and target for therapy. (2014) Brain : a journal of neurology. 137 (Pt 4): 1019-29. doi:10.1093/brain/awu026
- Scheper GC, van der Klok T, van Andel RJ, van Berkel CG, Sissler M, Smet J, Muravina TI, Serkov SV, Uziel G, Bugiani M, Schiffmann R, Krägeloh-Mann I, Smeitink JA, Florentz C, Van Coster R, Pronk JC, van der Knaap MS. Mitochondrial aspartyl-tRNA synthetase deficiency causes leukoencephalopathy with brain stem and spinal cord involvement and lactate elevation. (2007) Nature genetics. 39 (4): 534-9. doi:10.1038/ng2013
- van der Knaap MS, van der Voorn P, Barkhof F, Van Coster R, Krägeloh-Mann I, Feigenbaum A, Blaser S, Vles JS, Rieckmann P, Pouwels PJ. A new leukoencephalopathy with brainstem and spinal cord involvement and high lactate. (2002) Annals of neurology. 53 (2): 252-8. doi:10.1002/ana.10456
- Steenweg ME, van Berge L, van Berkel CG, de Coo IF, Temple IK, Brockmann K, Mendonça CI, Vojta S, Kolk A, Peck D, Carr L, Uziel G, Feigenbaum A, Blaser S, Scheper GC, van der Knaap MS. Early-onset LBSL: how severe does it get?. (2012) Neuropediatrics. 43 (6): 332-8. doi:10.1055/s-0032-1329395
- Kassem H, Wafaie A, Abdelfattah S, Farid T. Leukoencephalopathy with brainstem and spinal cord involvement and lactate elevation (LBSL): assessment of the involved white matter tracts by MRI. (2014) European journal of radiology. 83 (1): 191-6.

