Ödüllü Olgu 60-1 (237)

Gelecek Haftanın Olgusu

Editörler
Dr. Özlem Alkan
Dr. Rahşan Göçmen
Dr. Nursel Yurttutan
Dr. Anıl Özgür
Dr. Burçak Çakır Peköz
Ayın
ÖDÜLLÜ OLGU
Kazananı
Ayın ödüllü olgu kazananı tercihine göre 2025 TNRD Yıllık Kongresi’ne ya da tercihe göre Türk Nöroradyoloji-Türk Pediatrik Nöroradyoloji Diploma kurslarından birine KAYIT HAKKI kazanmıştır.

Ayşenur Bolukçu
Hacettepe Üniversitesi

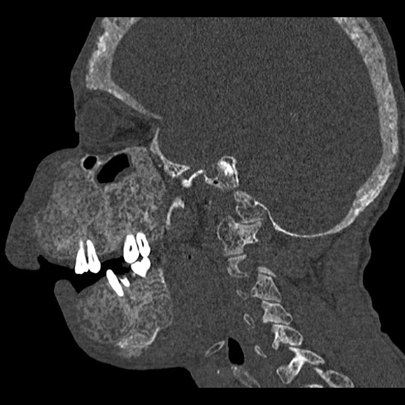
29 yaş, Erkek
Yüzde belirgin şişlik

Arş. Gör. Dr. Roni Kazazi
Doç. Dr. Şafak Parlak Sağol
Hacettepe Üniversitesi Hastaneleri
Radyoloji Anabilim Dalı


Fibröz displazi
Cherubism
leontiasis ossea
Juvenil nazofaringeal anjiofibrom
Cherubism
Leontiasis Ossea
leontiasis ossea
Ameloblastom
ESTHESIONEUROBLASTOMA
Kraniofasiyal fibröz displazi
leontiasis ossea
FİBRÖZ DİSPLAZİ
Brown tümör
Mc cune albright fibröz displazi
Leontiasis ossea
cheuribizm
Rosai-Dorfman hastalığı
Brown tümör
Kraniyofasiyal fibröz displazi
Uremic Leontiasis Ossea
brown tumor
Fibröz displazi
fibröz displazi
Juvenil nasofaringeal anjiofibrom
Maksiller fibröz displazi