Ödüllü Olgu 55-2 (218)

Gelecek Haftanın Olgusu

Editör
Dr. Burçak Çakır Peköz
Sağlık Bilimleri Üniversitesi Adana Şehir Eğitim ve Araştırma Hastanesi
Radyoloji Anabilim Dalı
Ayın
ÖDÜLLÜ OLGU
Kazananı
Ayın ödüllü olgu kazananı tercihine göre 2025 TNRD Yıllık Kongresi’ne ya da tercihe göre Türk Nöroradyoloji-Türk Pediatrik Nöroradyoloji Diploma kurslarından birine KAYIT HAKKI kazanmıştır.

Ümit Tüzün
Neolife Tıp Merkezi

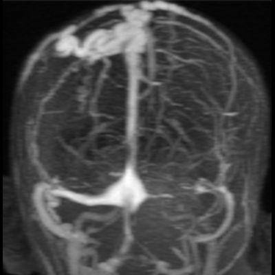
10 yaş, E
Vertekste ele gelen şişlik

Dr. Öğretim Üyesi Serdar Balsak
Prof. Dr. Alpay Alkan
Asistan Dr. Zeynep Dönmez
Bezmialem Vakıf Üniversitesi Radyoloji ABD


Sinüs Pericranii
sinüs percarinii
sinüs perikranii
Sinüs perikranii
Scalp arteriovenous malformation (cirsoid aneurysm)
scalp arteriovenous malformation(cirsoid aneurysm)
Sinus pericranii
Sinüs pericranii
Sinüs pericrani
Sinüs perikranii
sinüs perikrani
Atretik parietal sefalosel
Sinua percranii
Sinus percranii
sinus pericranii
Sinus perikranii
Sinus pericrani .
Sinus pericranii
Subgaleal BOS kaçağı/fistülü
Sinus perikranii
Sinus pericranii
Sinüs pericranii, kranial venöz anomali
Sinüs perikrani
Sinüs pericranii
SİNÜS PERİKRANİİ
sinüs pericrani
Süperior sagittal sinüse drene olan Arteriovenöz malformasyon
Sinus pericranii
Sinus pericranii