![]() |
Türk Tanısal ve Girişimsel Nöroradyoloji Derneği'ne HoşgeldinizTNRD 1 Ocak 1991 yılında kurulmuş profesyonel bir dernektir |
Yaklaşan Etkinlikler

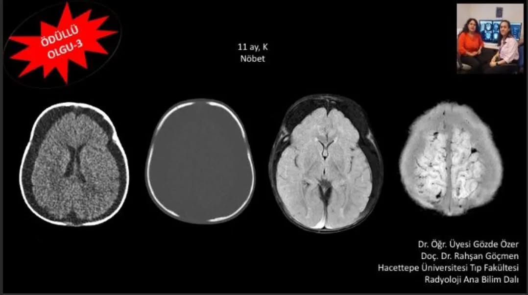
📣📣📣Haftanın ödüllü olgu sorusu yayınlandı.
Yanıtlarınızı www.tnrd.org.tr adresinden bekliyoruz.
2 gün ago









